目次
モニター様紹介
20代女性 頬っぺたの肉をよく噛んでしまうとのことで当院にご相談くださいました。美容外科ではなく歯科口腔外科での当院を選択したのは、ちゃんとしたクリニックで手術を受けたいということでした。
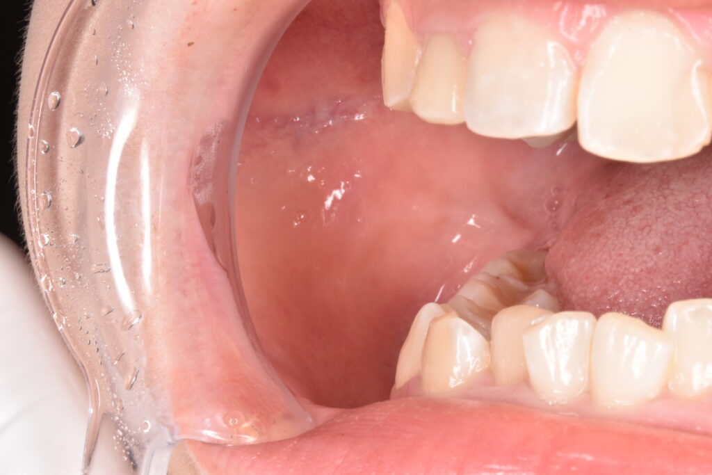
バッカルファット除去前
お顔だけでなく、口腔内の診察、歯列の関係性、頭蓋骨や下顎骨の関係性を審査します。
*美容外科看護師だった頃ここまで診察していた美容クリニックはありませんでしたので、歯科医院でのバッカルファットの除去手術を検討するのは良いかと思います。






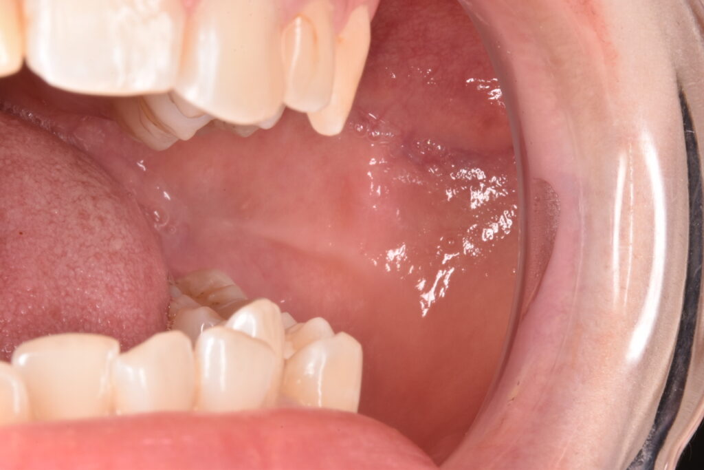
バッカルファット除去後2週間
内出血もなく腫れもほとんど気にならないと仰っていました。また術前は週に1回は頬の肉を噛んでいたが今は1回も噛まなくなったし顔の輪郭も少し細くなった程度であまり変わらず希望通りと仰ってくださいました。



バッカルファット除去手術について
当院では基本的に笑気麻酔下で手術を行います。院長が元看護師ということもあり、手術に安全を第一に考え行いますこのため、心電図モニターや血中酸素モニターなど装着して行います。ご希望があれば静脈内鎮静も可能です。
バッカルファット除去手術のデメリット
- 将来的に頬がこけた感じになる可能性があります。
- 内出血の可能性があります。
- 極めて稀に顔面神経麻痺・唾液腺の損傷などの可能性があります。
- 術後は腫れます(麻酔液での腫れが大部分です)腫れは唇にも及びます
バッカルファット除去手術の費用(税別)
- 笑気・局所麻酔費用等 20,000円 フェイスバンドも含みます
- 手術費用 220,000円(モニター様価格)
当院について

名古屋市瑞穂区瑞穂通5−1 3階
052−746−0313

