
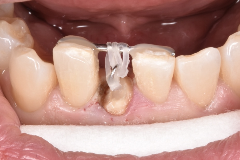
モニター様ご紹介 50代男性、1年半前に関東の歯科医院で保険診療で差し歯をやりかえされたそうです。今回その差し歯が取れたとのことで当院にご相談くださいました。診察の結果、土台となるファイバーコアがご自身の歯ごと根本から折れていて、顎の骨ギリギリのところでした。ご本人様とも相談し、今回は自由診療の治療で自分の歯をできるだけ残し、使っていく方針で固まりました。 …

モニター様ご紹介 10代男子 物心ついた時からずっと気になっていた前歯の白いしみ(ホワイトスポット)の改善をはを削らずに行いたいと当院にご相談くださいました。 治療前 前歯2本の下半分くらいにホワイトスポットが認められます。白く濃いものが目立っています。*事前にホームホワイトニングを10回していただいております。このためホワイトスポットがくっきり目立っていま …

モニター様ご紹介 20代女性 前歯2本のホワイトスポットの改善を主訴に当院にご来院くださいました。歯の根本部分からサイドにかけて広がるタイプで、あまり多くない印象のホワイトスポットです。ホワイトスポット改善の前にホワイトニングはしていただいております ホワイトスポット治療前 ホワイトスポット治療後約6ヶ月 ホワイトスポット治療の後、アイコンが取れてしまわない …

モニター様ご紹介 30代女性 ネット関係のお仕事のプロ。インターネットで検索し当院で治療することを選んできてくださいました。 治療前・中・後を1枚の写真で 銀歯は特に痛みなどの症状はありませんでしたが、奥歯(写真で歯上から3つ目の歯)が割れてしまっているのと、銀歯の周りは黒く変色し、2次虫歯を強く疑う状況でした。写真の1番下の歯は他院で修復したレジンのやりか …

モニター様ご紹介 40代女性 他院でマウスピース矯正をされた後、当院で銀歯のやりかえをご相談くださいました。やりかえ希望は上の歯で5本、下の歯で1本です。 治療前後 費用と通院回数とデメリット 費用 セラミックインレー 55000円 税別 ジルコニアセラミックインレー 65000円 税別 通院回数 通院回数3回 ①初回治療で左上やりかえ開始 ②左上のセラミッ …
CLINIC
〒467-0806
愛知県名古屋市瑞穂区瑞穂通5-1
仁さくらクリニックビル3階
| 治療時間 | 月 | 火 | 水 | 木 | 金 | 土 | 日 | 祝 | |
| 10:00-19:00 | ● | ● | ● | × | ● | ● | × | × | |
※10:00-19:00の間休憩なし ※休み:木/日/祝