目次
モニター様ご紹介
30代男性 ご夫婦で通院してくださっている方です。今回は以前保険治療で奥歯の虫歯治療をした歯の2次虫歯のため綺麗にしっかり治療したいとの事で、自由診療枠で治療させて頂ける事になりました。ダイレクトボンディングで治療するため、通院の必要はなく1回で終了です。
治療前と治療後
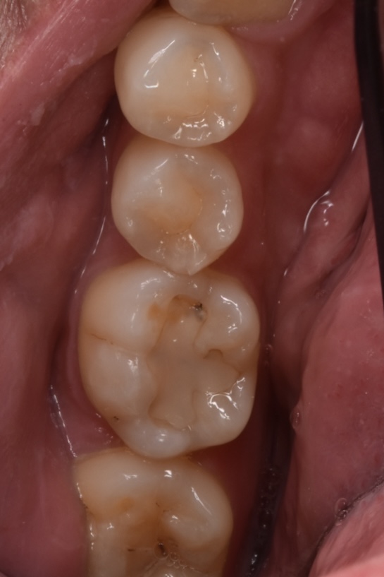
左下の第一大臼歯の治療です。何年も前の他院保険治療による虫歯治療の虫歯の再発です。レジンと歯の隙間が茶色でくっきりとわかります


治療プロセス(自由診療のみ適応しているものもあります)



虫歯を自由診療で治す利点・欠点
メリット
- 自由診療のため、治療にかける時間に縛られず丁寧な治療が受けられる
- 時間に余裕かあるため、手間を惜しまず最も良いとされる手順で治療を受けられる
- 材料も歯科医師の裁量で最良のものを選択できる
- 結果2次虫歯になりにくい傾向にあるので利点は多い
- ラバーダムをするため治療中水がお口の中に入ってこないので楽
デメリット
- 費用が医院によって様々
- 治療のクオリティは歯科医師によって変わる
- 一回の治療時間が比較的長い
費用と通院回数
ダイレクトボンディング1歯55,000円税別モニター様価格 正規料金60,000円税別
通院回数 治療時の1回のみ *初診と治療日が別の日になることがあります。
質より目先の費用とスピードを重視する方は保険治療の選択を
自由診療の治療のため費用は高い傾向にあります。一方保険診療は診療報酬が国によって決められているためどこで治療を受けても似た様な費用感です。またその費用感のため治療に掛けられる時間も労力も限度があります。「早く・安い」に重きを置く場合には最適解と言えます。
当院へのお問い合わせ
名古屋市瑞穂区瑞穂通5−1 仁さくらクリニックビル3階 052-746-0313
メールでのお問い合わせ・ご予約はこちらから
監修者情報

歯科医師 井沢一樹
国立鹿児島大学歯学部首席卒業
公立春日井小牧看護専門学校卒業
名古屋大学医学部附属病院歯科口腔外科 聖霊病院歯科口腔外科 湘南歯科クリニック 心斎橋院・名古屋院
ひめみやさくら歯科矯正歯科 開院




