目次
前回までの投稿はこちらから
モニター様紹介
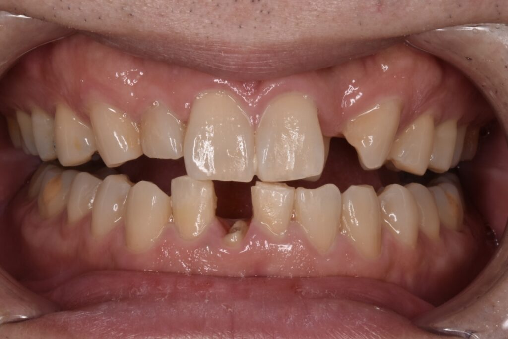
50代男性 東京で治療した差し歯が取れたとご相談くださいました。今回は歯が折れていたためにそのままでは治療できず、残っている歯を2ミリほど引っ張り出してもう一度ご自身の歯で生活を送って頂きたいと思い意図的挺出をご提案しその治療結果になります。
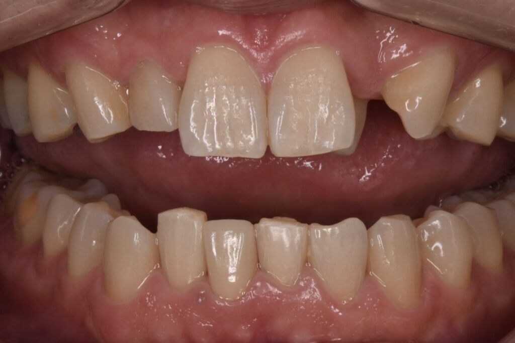
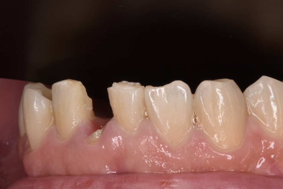
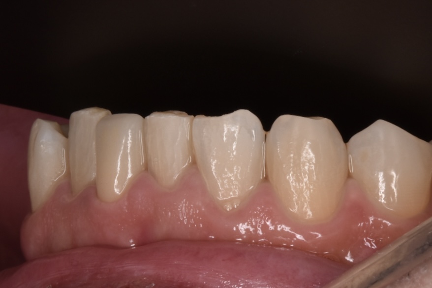
治療前後




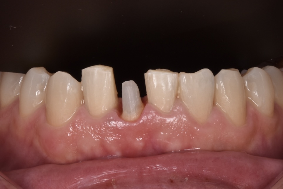
治療経過
途中で折れている歯を矯正用のゴムを用いて牽引し、約2ヶ月で目標まで来たので、土台を建てて型取りを行いました。それから約2週間でセラミックの歯が入っています。



通院回数と費用
通院回数 4回
意図的挺出の治療開始からセラミックセットまでにかかった回数です。期間は約3ヶ月です
治療総額 269,000円(税別)
意図的挺出モニター様 86,000円 さくらセラミックモニター様130,000円 ファイバーポスト費用15,000等かかります。(費用は全て税別)
治療のメリット
自分の歯で過ごすことができるのが最大のメリット
治療のデメリット
セラミックや歯の破折、セラミックの脱離等あります。
当院について

名古屋市瑞穂区瑞穂通5−1 3階
052−746−0313




