目次
モニター様ご紹介
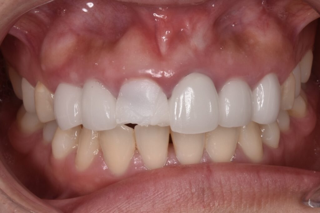
20代女性 20代前半の頃大阪にある有名審美歯科で前歯6本のセラミック矯正治療を受けた。強い痛みはないが、歯茎は赤黒く腫れていて真ん中で割れて、すでに連結してあるセラミックが脱落している状態です。とご相談くださいました。
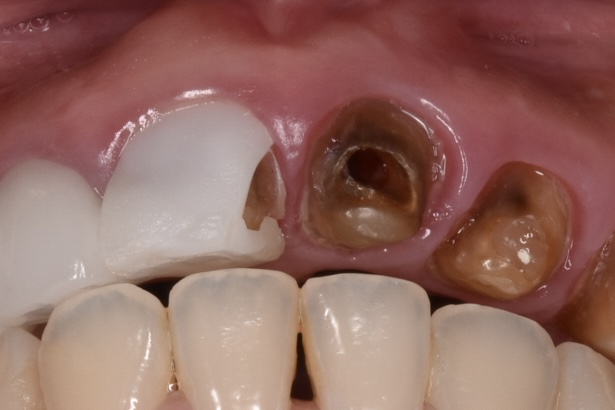
初診時の状態
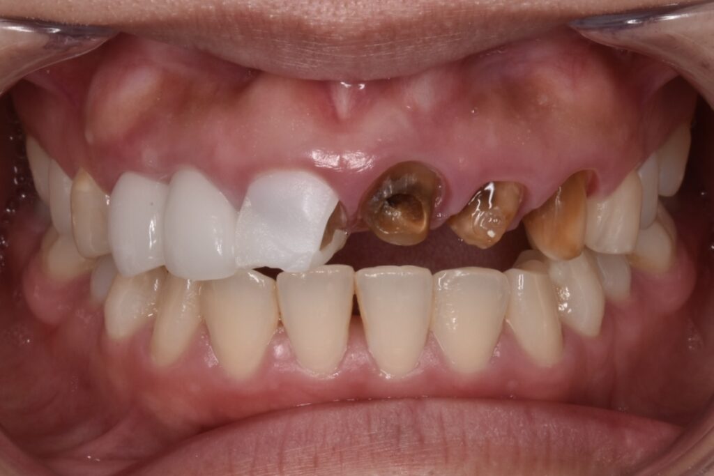
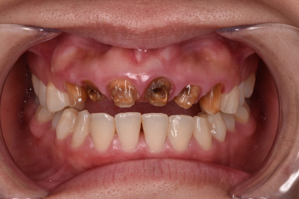
白い6連結のセラミックがありますが、右側のセラミックの前歯は破折しています。(写真左)また6連結の中央でジルコニアのフレームごと破折していることも確認できます。(写真中央)左の前歯は神経処置がされておらず穴だけ開いた状態でした。(神経治療途中?)土台6本全てが茶色から黒色に変色している事が周囲の天然歯と比べてもわかります。



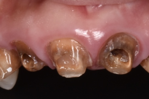
穴だけ開いた歯の状態



神経処置が未処置のまま放置?の歯です。実は下のCTの写真でわかる様に歯の変形があります。ご本人様にお伺いしたところ昔前歯を強打した経験があるとの事でしたが、当時は受診せず経過を診ていたそうです。セラミック治療した歯科ではこの変形した歯について何も伝えられなかったと。。。
ここからは私の推測ですが、、、神経の管の中にビタペックス(消毒効果のある根管充填材)の様なものが確認出来ました。神経治療をトライしてレッジを作ってしまい治療できなかったのでビタペックスを根充材として入れてレジンで蓋をしたのだろうと思います。
この歯については当院でもかなり時間をかけて慎重にマイクロスコープ下で治療のトライをしましたが根の先までは到達出来ませんでした。(これについてもちゃんと治療前に説明しています。今後の治療方針も事前に説明しており、経過が悪ければ歯根端切除や抜歯→インプラントかブリッジか入れ歯の補綴になる事ご了承済です)


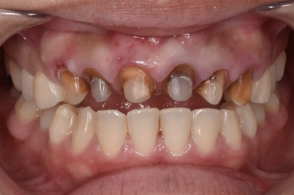
神経治療から土台の立て直しそして仮歯へ
前歯の歯ぐきの高さがチグハグだったため、歯肉整形をさせて頂きました。歯ぐきの位置を整え綺麗に見えるようにしています。
仮歯は歯の位置が変わらないように連結で製作しています。



今回のモニター様のケースは歯ぐきが腫れていて土台が小さく1歯ずつにラバーダムがかけられない状態でした。このため全体をいつのエリアとして見れるようスプリットダムという方法でラバーダムをかけています。
濃い紫色のものはシリコンの噛み合わせを記録するための型取り材料です。40秒ほどで固まり撥水性なのでこちらを使用しています。
これからセラミック矯正を考えている方へ
セラミックの治療が悪いわけではありません。ですが治療を提供する歯科医師の評価は事前にすべきだと思います。貴女の歯科医師選択基準はなんですか? 有名?大手?安さ?だから安心ですか?
セラミックはあくまでご自身の歯の上に作られるものです。その土台の治療を蔑ろにする治療を提供している歯科医のもとでは治療を受けるべきではないと考えます。
以下のような点で歯科医師選択を考えてみてください
- 神経治療時にラバーダムを使用しているか否か 使用しない場合神経の管を通って骨ないに膿の袋を形成して失敗の可能性が非常に高くなります。
- 最後まで自分で治療しているか?本留めが衛生士のところは最後まで責任を持っていないと思います。
- 事前にセラミックのイメージを共有してから治療に取り掛かるか 自分の歯を削るのにどんな歯になるか見ないで決めるのってある意味危険では?と思います。(ワックスアップモデルを見てから決めても遅くないと思います)
- メリット・デメリットもしっかり話してくれるか
- 最低限拡大鏡を使用し、時にはマイクロスコープの使用もしているかどうか、裸眼での治療は絶対選ばない方が良いと思います。
参考になれば幸いです。
当院院長はセラミックのやり直し治療専門を謳っています
当院院長のセラミック治療経験は3,000ケース以上、その多くが古い被せ物や前医・他院セラミックのやり直しケースです。
セラミックのやり直し治療はかなり難易度が高くなる傾向が強いです。一度ダメージを負った歯を治療するのでリスクが伴います。「今までは大丈夫だった」≠ 「これからも大丈夫」2つはイコールではないのです。神経のない歯は割れやすく、中で膿んでいればさらに事態は深刻です。保険治療の銀歯やりかえも同様です。虫歯で怪我をした歯を治療するのですから、痛みが出る場合もあります。神経を取らないといけなくなる場合もあります。
だから、ちゃんと術前に診察をしてしっかり説明をしてくれる、できれば費用もちゃんと歯科医師が説明してくれる所が良いと思います。
当院について
名古屋市瑞穂区瑞穂通5−1 仁さくらクリニックビル3階 052-746-0313
こちらのモニター様の治療費について(税別)
さくらジルコニアプラン 1歯140,000円 感染根管治療(セラミック併用前歯)1歯22,000円 Core築成費用1歯15,000円 仮歯1歯5,000円
*これらの費用は2025/12/30のものです。価格は予告なく改定される事があります
監修者情報

国立鹿児島大学歯学部 首席卒業
公立春日井小牧看護専門学校卒業
歯科医師と看護師のダブルライセンス
名古屋大学医学部附属病院 聖霊病院 湘南歯科クリニックを経て当院開院




