目次
モニター様ご紹介
50代女性 他院でセラミック矯正をして仮歯まで進んだが、仮歯の色や形もご希望に合わず説明も2転3転し不信感が募って来たとのことで当院にご相談くださいました。
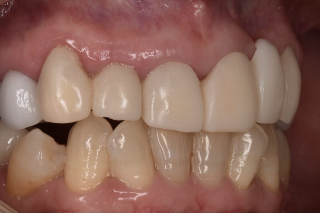
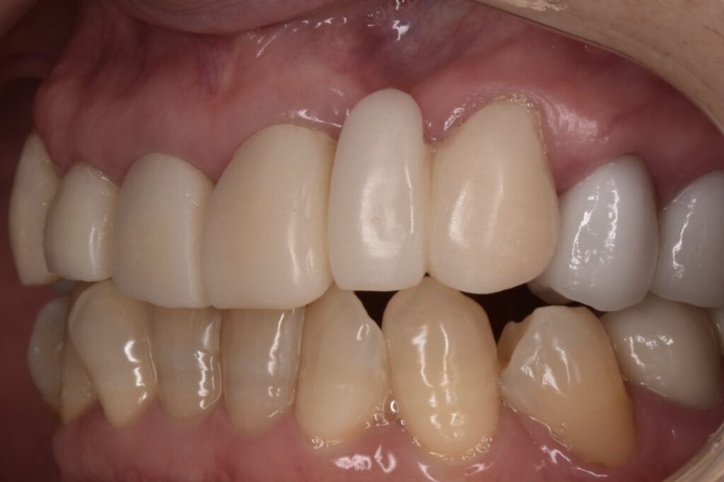
初診時の状態
リップから見える歯の部分が黄色く、リップを排除してみると左側の側切歯が長く、バランスが悪いのがわかります。前歯の歯茎ラインも違い全体としての歯のバランスが整っていないように思います。



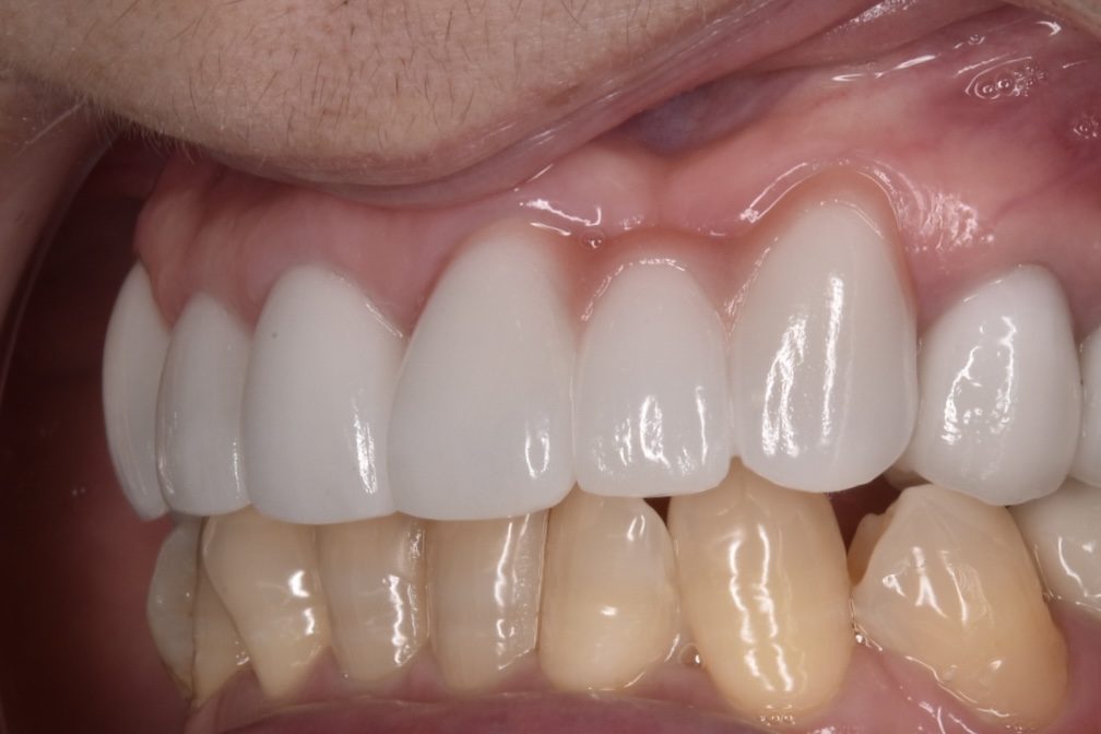
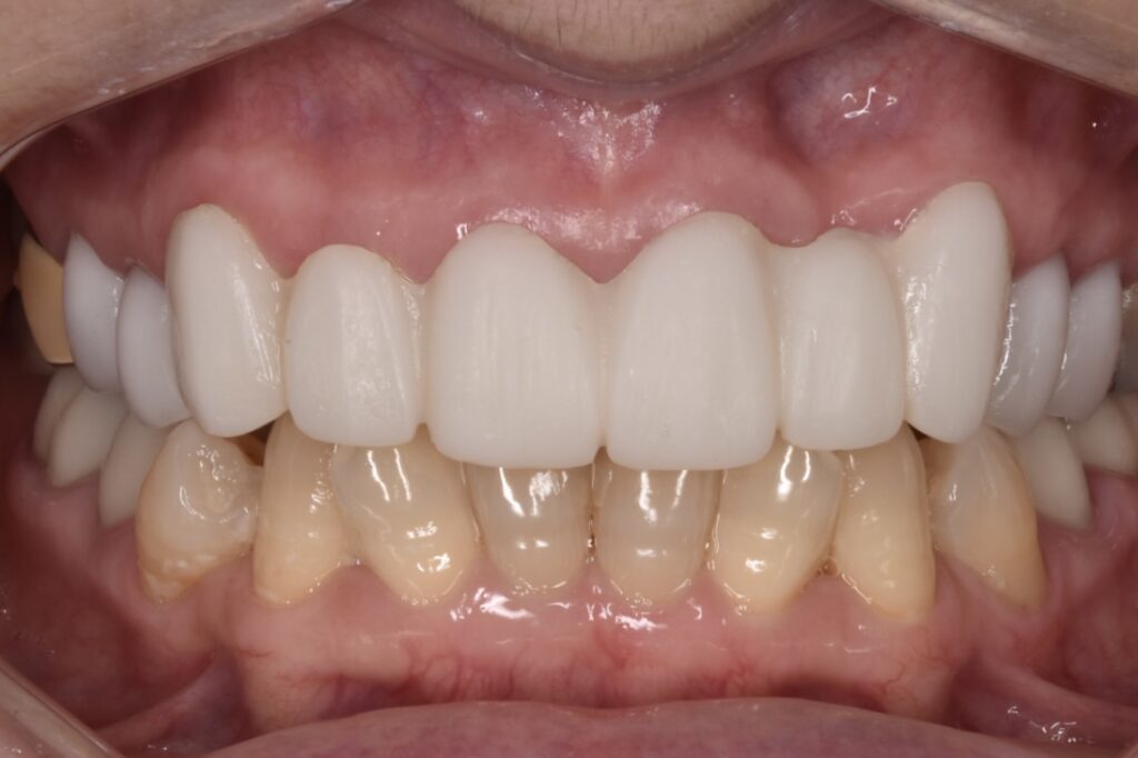
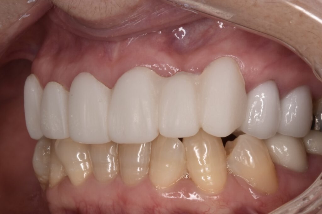
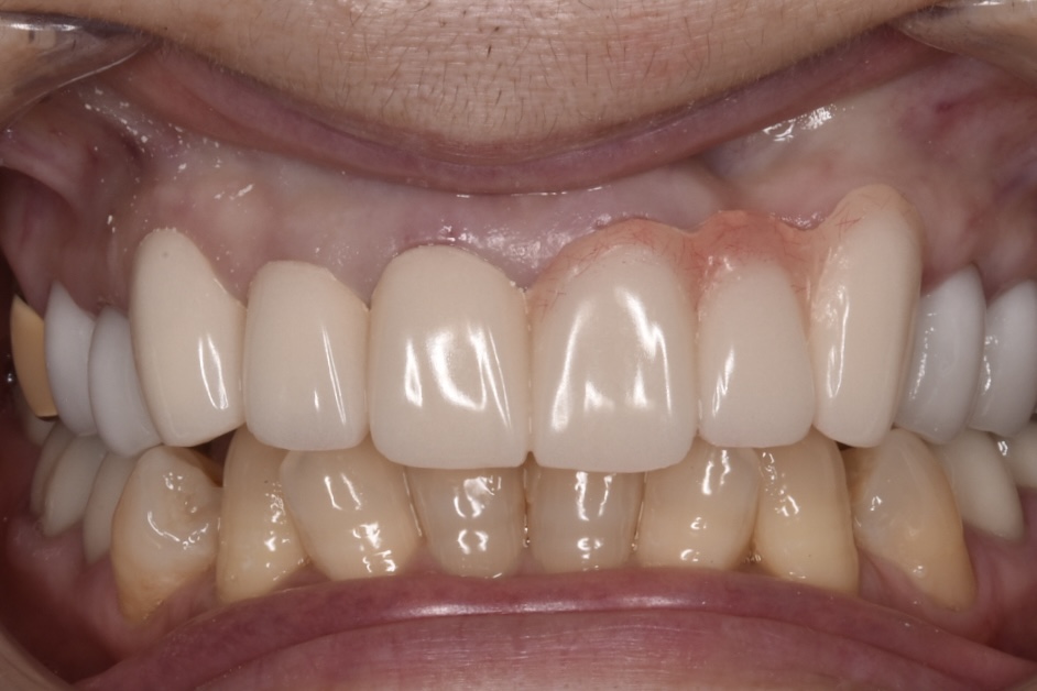
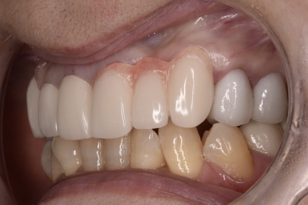
最終セラミックの状態
当院で治療をご契約頂き、匠セラミックプランで治療させて頂きました。セラミックの土台の治療からさせて頂いております。歯茎の色も健康的なピンク色でセラミックと歯茎が調和出来ています。
*匠セラミックの特徴はセラミックを作る専門の歯科技工士(この道30年のベテラン技工士です。DT:南澤英樹)が実際にお口の中を拝見し、セラミックの色を決めていきます。規格的な色味ではなく自然な感じや真っ白までご希望に合わせて作製します。また歯ぐき色のセラミックを付けられるもの特徴です。



費用と通院回数
匠セラミックの費用(税別)
匠セラミック1歯185000円(モニター様価格) 感染根管治療(前歯:セラミック併用)22,000円 コア15,000円 仮歯1歯5000円 プロビジョナルレストレーション用仮歯1歯10,000円
*価格は予告なく改定される場合があります。
通院回数
通院回数5回 治療期間約4ヶ月 仮歯にもピンク色のレジンをつけて2回目の仮歯を作成したため通院回数が2回増えています。






当院について
名古屋市瑞穂区瑞穂通5−1 仁さくらクリニックビル3階
052-746-0313
当院院長について

歯科医師 井沢かずき
国立鹿児島大学歯学部 首席卒業
名古屋大学医学部附属病院 歯科口腔外科 聖霊病院 歯科口腔外科 湘南歯科クリニック
ひめみやさくら矯正歯科開院





