目次
モニター様ご紹介
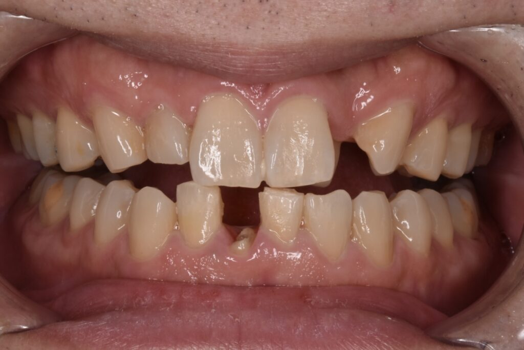
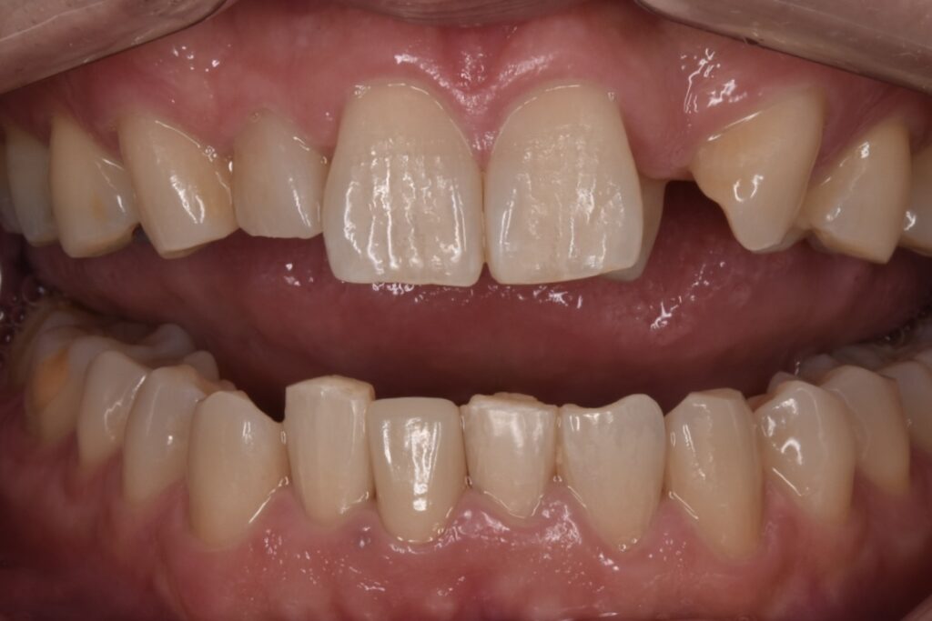
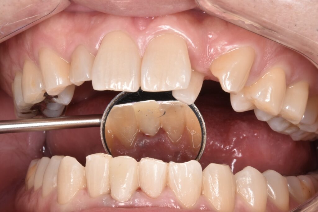
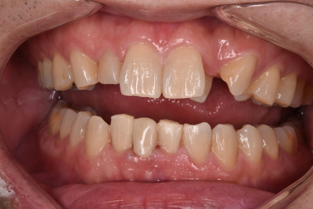
50代男性 下の前歯が東京の歯科で一年ほど前に作られた差し歯で、今回はそれが取れてしまったとご相談いただきました。検査の結果、歯が土台ごと折れていました。折れている場所が歯茎の中の方で折れていて、歯槽骨ギリギリの場所です。




こちらが初診時のレントゲン写真です。歯が水平的に破折していて歯の一部が骨のトップに差し掛かっていることがわかります。
写真の青字:骨のライン
写真ピンク字:歯の断端
お客様の思い
歯が破折していることに大変ショック受けられていました。丁寧にお話を伺い費用をかけてでもご自身の歯をもう一度使えるなら自分の歯でできるだけ過ごしたいと仰ってくださいました。
お客様の思いを受けた上での当院からのご提案
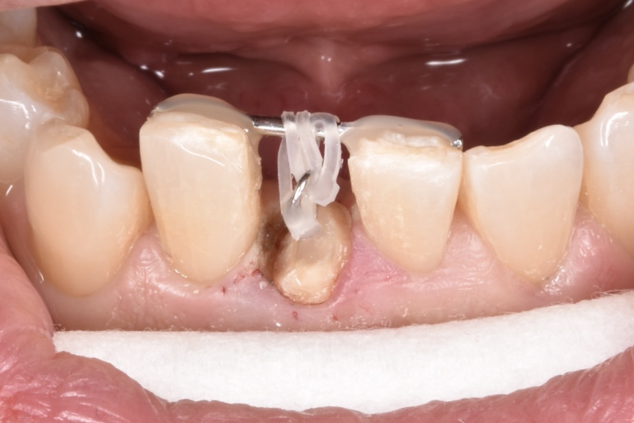
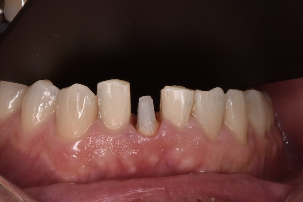
意図的挺出その後セラミック治療
歯が折れてしまっている現状では、このままセラミックをやりかえても予後が悪く長持ちしない点をお伝えしました。そこでご自身の歯を上に引っ張り出して骨からの距離を出してからセラミックで修復する意図的挺出(いとてきていしゅつ)をご提案させて頂きました。




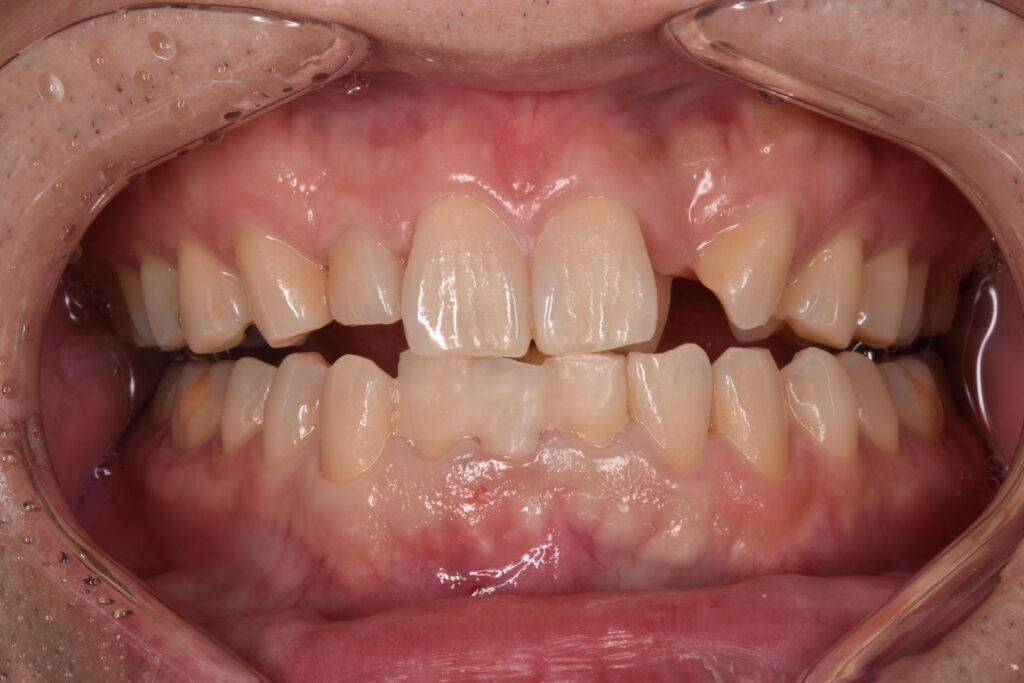
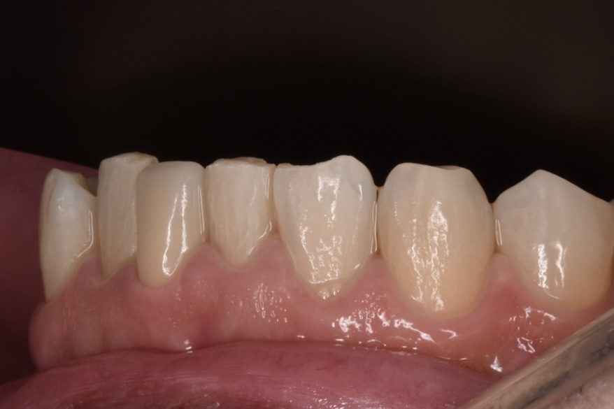
完成したセラミック
さくらジルコニアプランでのジルコニアセラミックです。歯の色はA3というシェードです。色見本が20色近くありますので、そちらから選択して頂きます。










治療費用と通院回数
費用 (税別表示)
意図的提出費用1歯100,000円 Core築成費用15,000 仮歯1歯5,000円 さくらジルコニア1歯150,000円
通院回数
通院回数4回 治療期間約2ヶ月
デメリット
- 挺出期間中の仮歯が破折・脱離する可能性があります
- セラミックや土台の脱離・破折の可能性があります
- 歯周組織の炎症の可能性があります
- 噛み合わせの変化・発音の変化等
- 歯の状態は部位によって挺出が出来ない事もあります。
- 挺出途中の歯が破折する場合もございます。この場合治療法の変更が必要になる場合もございます
- 提供しているものは医療サービスです、治療の効果や結果を100%保証することは出来ません
当院について
名古屋市瑞穂区瑞穂通5−13階 052-746-0313
院長紹介

国立鹿児島大学歯学部首席卒業
公立春日井小牧看護専門学校卒業
口腔外科学会 口腔インプラント学会所属





