歯茎のお痛みを訴えて受診をご希望されるケースが今月に入ってからよくお問い合わせを頂います。
歯茎の痛みにはいくつもある
- 歯周病や歯肉炎で歯茎が腫れて痛い
- 治療した歯(神経がない)の歯茎が痛い
- 治療した歯(神経がある)の歯茎が痛い
お治療済みで神経がない歯の歯茎が痛い
神経が無いのに歯茎が痛くなったり、体調や疲れが溜まった時に治療した歯の奥が違和感を感じたり、浮いた感じがする場合はこのように歯の根(歯根:しこん)の先に炎症が起きていて膿が溜まっている可能性もございます。また歯茎にニキビの様な出来物が出来たり治ったりしている場合はこの病気である可能性がございます。

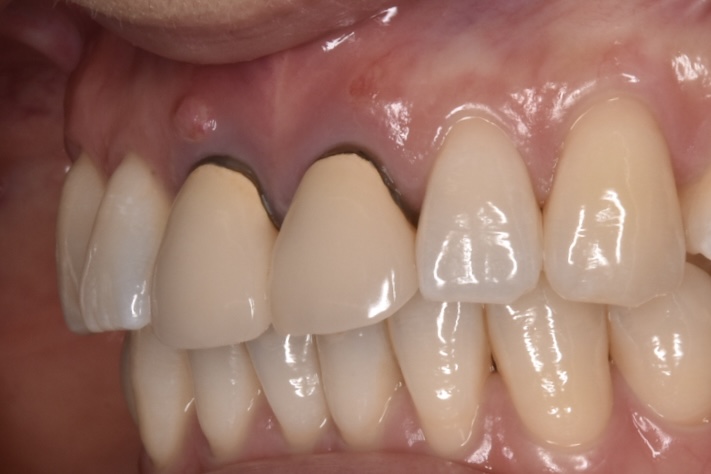
黄色い前歯の上の歯ぐきの部分にプクッとした腫れがあります
これが骨の中で膿んでいる証拠です。サイナストラクト(フィステル)と呼ばれます。
*歯根の先の炎症や歯が割れているときに見られます

根尖性歯周炎(こんせんせいししゅうえん)という状態です。歯の根の周りが黒く透けている様に見えますね。これは膿の袋がご自身の顎の骨を圧迫して骨が吸収されてしまった可能性が非常に高いです。
根尖性歯周炎の治療
この病気は神経治療をするときに感染することがほとんどです。その他の理由で感染することはかなり稀と思います。ですので神経の治療する際はラバーダムが必須になります。
手術する時、必ず消毒や覆布(ドレープやおいふといいます)をします。テレビで手術のシーンには必ず患者様に青や緑色の掛け物をして手術していますね。あれです。ラバーダムは医科で言うドレープの役割をしています。ただしラバーダムはコストも手間もかかります。保険治療で行うときは使用されないこともあるかもしれません。自費治療にも関わらずラバーダムをしない様な所では治療を受けること自体お勧めできません。

前歯の治療時のラバーダム防湿の一例です。
当院ではセラミック矯正をするときは必ずラバーダムを用いてお治療させて頂きます。
*何かの事情でラバーダムが出来ない場合も御座います。例)お鼻で呼吸ができない。全部の歯がすでにセラミックで当院にあるクランプが掛けられない。またはラバーダムを拒否される場合など。



エビデンスに基づいてしっかりした治療を
当院ではニッケルチタンのローターリーファイル、マイクロスコープ、Bio-Cシーラーを用いてお治療させてただきます。*保険治療では使用できない部位や材料もあります。ご了承くださいます様お願いいたします。
監修者情報

歯科医師 井沢一樹
国立鹿児島大学歯学部 首席卒業
名古屋大学医学部附属病院 歯科口腔外科
聖霊病院 歯科口腔外科
湘南歯科クリニック 心斎橋院 名古屋院
ひめみやさくら歯科矯正歯科 開院




