モニター様ご紹介
30代女性 右下の奥歯の治療を他院で受けたが、色々思うところがあり当院で治療をご希望されました。
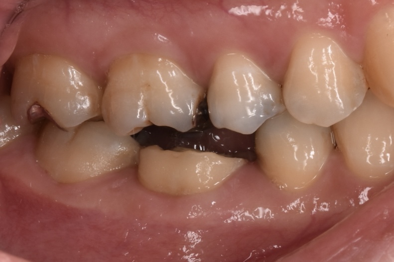
初診時の状態
右下の奥歯ですが、仮の蓋がしてある状態です。噛む面がかなり削られている状態です。舌側の歯の部分はほとんど歯ぐきの高さまで水平に真っ直ぐ削られています。ここまで削る必要があったのか疑問です。


治療後
神経治療と土台をたて形を作り、セラミッククラウンを装着しています。前後の銀歯もセラミックでやりかえています。第二大臼歯(写真では1番下の奥歯)はダイレクトボンディングをしています。上の銀歯もやりかえてセラミックにしています。


通院回数と費用(税別)
通院回数は3回 期間は約3週間
費用はジルコニアクラウン色彩プラン モニター様 110,000円
セラミック併用大臼歯感染根管処置 33,000円 コア築成費用15,000円 仮歯5,000円
当院へのお問い合わせ
名古屋市瑞穂区瑞穂通5−1 仁さくらクリニック3階 052-746-0313
院長紹介

国立鹿児島大学歯学部 首席卒業
口腔外科学会 口腔インプラント学会所属
歯科医師と看護師のダブルライセンス保有
セラミック症例3,000例を超える実績があり、中でもリピート治療や銀歯やりかえも数多く担当、前医や他院でのセラミック修正治療も多数経験。





