モニター様ご紹介
50代女性 奥歯のジルコニアセラミックでの治療をご希望です。丁寧に治療してほしいとご相談くださいました。
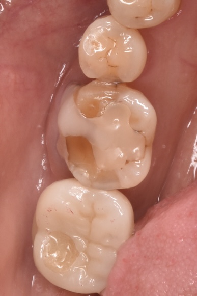
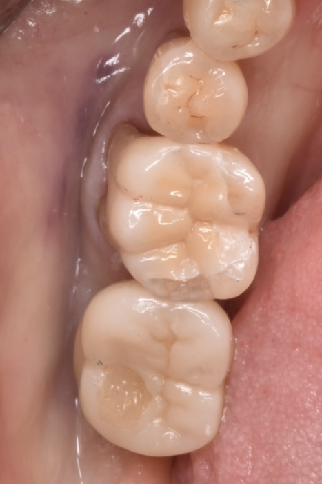
施術前と治療後
左下の奥歯のかけているセラミックと樹脂のコンビネーションをジルコニアアンレーで修復し、手前の歯はダイレクトボンディングで修復しています
かなり大きな虫歯になっていた歯ですがなんとか歯の神経も保存することが出来ました。


当院へのお問い合わせ
名古屋市瑞穂区瑞穂通5−1 仁さくらクリニックビル3階 052-746-0313
監修者情報

歯科医師 井沢一樹
国立鹿児島大学歯学部首席卒業
公立春日井小牧看護専門学校卒業
国立名古屋大学医学部附属病院歯科口腔外科 聖霊病院歯科口腔外科 湘南歯科クリニック心斎橋院 名古屋院
ひめみやさくら歯科矯正歯科開院





