相談者様ご紹介
30代男性 前歯の隙間(すきっ歯)の改善を求めて当院にご相談くださいました。矯正やセラミックなどではなく、費用を抑え短期間でかつ侵襲の少ない治療法として、ダイレクトボンディングをご提案させて頂きました。
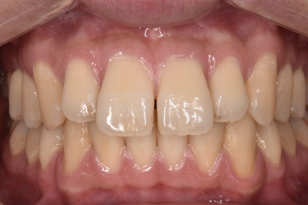
治療前
前歯の真ん中のに僅かにスペースがあります。その間に歯茎が線状に見えていますが、ここの歯茎はとても繊維質で硬く歯を寄せてもクッションのように弾かれてしまい、単に矯正をしてもすぐ後戻りしてくるタイプです。このようなタイプのすきっ歯にはダイレクトボンディングはとてもおすすめです。


治療後
天然の歯のように色を作りながら仕上げて行きます。真ん中もピッタリです。もちろんフロスも通ります。
*稀に保険でダイレクトボンディング様にされているのを見る事がありますが本来、健康保険は適応外の治療です。虫歯と病名をつけてされているのかもしれませんが、精度が悪く逆に不衛生になり虫歯や歯周炎の原因になり兼ねません。適切に治療を受けてください。


ダイレクトボンディングのデメリット・費用・通院回数
デメリット
ダイレクトボンディングに使用しているものは歯科用のレジンです。表面を特殊なジェルでコーティングして完全硬化させますが、着色や脱離の可能性はございます。またかみ合わせ等により破折する可能性もございます。
費用(税別)
ダイレクトボンディン1歯60,000円
ダイレクトボンディング用Waxup模型 10,000円
通院回数
2回 ①初診カウンセリング ②ダイレクトボンディング施術
当院について
審美歯科に精通するだけでなくその精度にもこだわって治療する院長です。美容外科勤務や歯科医師になってからも大学の建築学科に所属した経験もある異彩の院長です。

名古屋市瑞穂区瑞穂通5−1 3階
院長 井沢一樹
歯科医師・看護師





