モニター様ご紹介
20代男性、前歯のすきっ歯を改善ご希望で、矯正とセラミックでの矯正治療と悩まれた結果セラミックでの矯正を強くご希望されました。
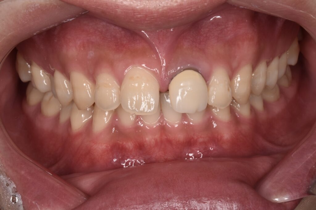
治療前
左の前歯がすでに保険治療で黄色い被せ物になっています。また前ばの隙間歯3−4ミリほとあり、さまざまなシミュレーションをさせていただいた結果、前歯6本でのセラミック治療をご希望されました。また前歯の黒ずみも気にされていて、同時に改善希望です。



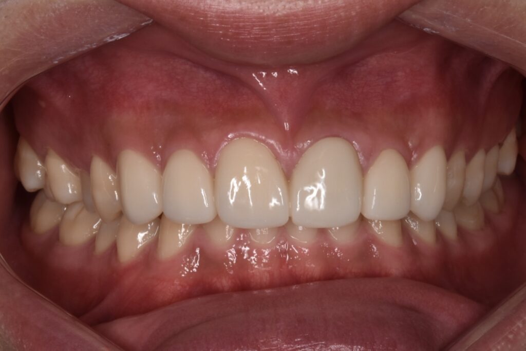
治療後
すきっ歯と歯ぐきの黒ずみの両方を改善させていただきました。噛み合わせの状態によってセラミックはご本人様と相談の結果全部連結しています。前から見てもパッと見て連結してある様には見えないです。セラミックの土台となっているご自身の歯は全て神経温存(*保険治療されていた歯はすでに神経治療されています。)



治療回数と費用
治療回数
治療に要した回数は2回です。通院は全部で4回ほどしていただいています。理由は当初は矯正治療を計画していたからです。
費用(税別表記)
色彩セラミックプラン 1歯110,000モニター様価格 仮歯5,000円などがかかります
当院へのご相談・ご依頼
名古屋市瑞穂区瑞穂通5−1 仁さくらクリニックビル3階
052-746-0313
監修者情報

国立鹿児島大学歯学部首席卒業
公立春日井小牧看護専門学校卒業
国立名古屋大学医学部附属病院歯科口腔外科 聖霊病院歯科口腔外科 湘南歯科クリニック 心斎橋院・名古屋院
ひめみやさくら歯科矯正歯科 開院





