モニター様ご紹介
20代女性 上の前歯に大きな隙間がありこの隙間を埋めたいとご希望です。当院に相談していただく前に歯科医院で何件か相談したが、全て矯正を勧められて費用や期間で諦めかけていたところ、ダイレクトボンディングという方法があるのをネットで見つけて当院にご相談くださいました。
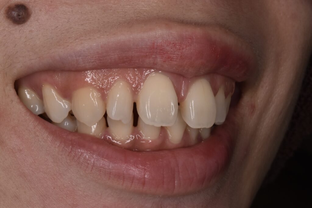
ダイレクトボンディング前
生まれつき歯が小さく、全体的に隙間のある空隙歯列(くうげきしれつ)であることがわかります。



ワックスアップモデルを作製してイメージを共有
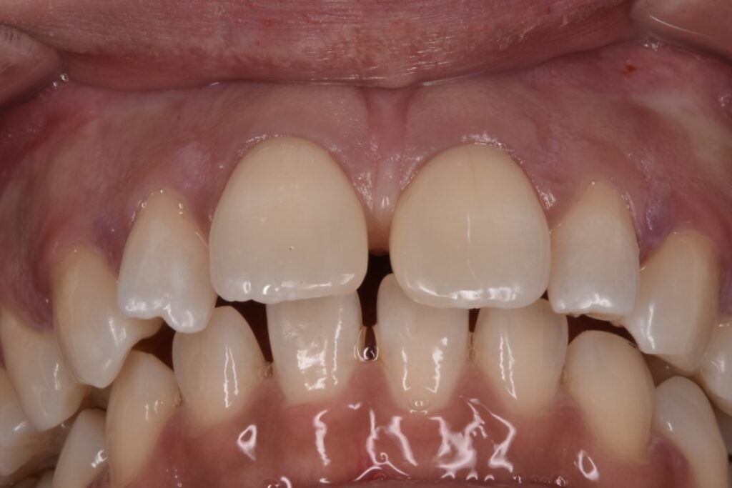
最初の状態の型取りをさせて頂き、前歯の隙を全て埋めるパターンと、敢えて少し残すパターンをお作りしてみて頂きました。
全て埋めて歯の形を作ると、前歯だけが大きく目立つようになるため、お客様と相談して敢えて少し空隙を残すことになりました。
どのような歯になるのか事前にシミュレーションすることで、イメージの違いなど術後トラブルなど避けることも出来ますし、事前にイメージを共有することでお客様のゴールも明確になります。当院では必ずこちらのワックスアップモデルを作製し、ご覧いただいてから本契約をします。最初に大きなお金は必要ありません。
*ワックスアップモデル作成には別途10,000円(税別)かかります。


ダイレクトボンディング後
出来るだけ本人様の歯の色や周囲の歯の形に馴染むように作っています。2本の施術で約2時間かかります。





通院回数と費用
通院回数は2回
費用はワックスアップ費用10,000円(税別)
ダイレクトボンディング1歯モニター様価格55,000円(税別)
当院へのお問い合わせ
名古屋市瑞穂区瑞穂通5−1 仁さくらクリニック3階 052-746-0313
院長紹介
歯科医師と看護師の2つのライセンスを持つ異色のドクターです。お一人お一人に丁寧に時間をかけて説明や施術を行います。

国立鹿児島大学歯学部首席卒業
公立春日井小牧看護専門学校卒業
日本口腔外科学会 日本口腔インプラント学会所属





