モニター様ご紹介
20代女性 滋賀県よりご来院下さいました。主訴は出っ歯感と叢生(乱杭歯:ガタ付きのある歯列 そうせいやらんぐいばと言われます)の改善です。ただ100点の矯正を目指したいわけではなく前歯を中心に改善したいといご希望です。
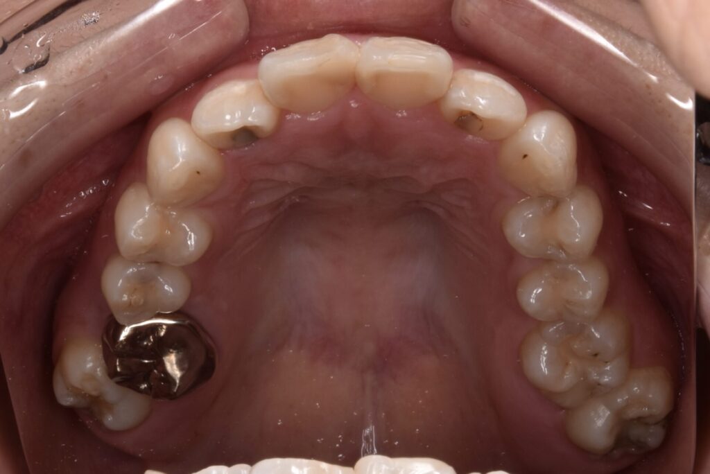
矯正前
前歯の突出感と下の歯の叢生が目立ちます。





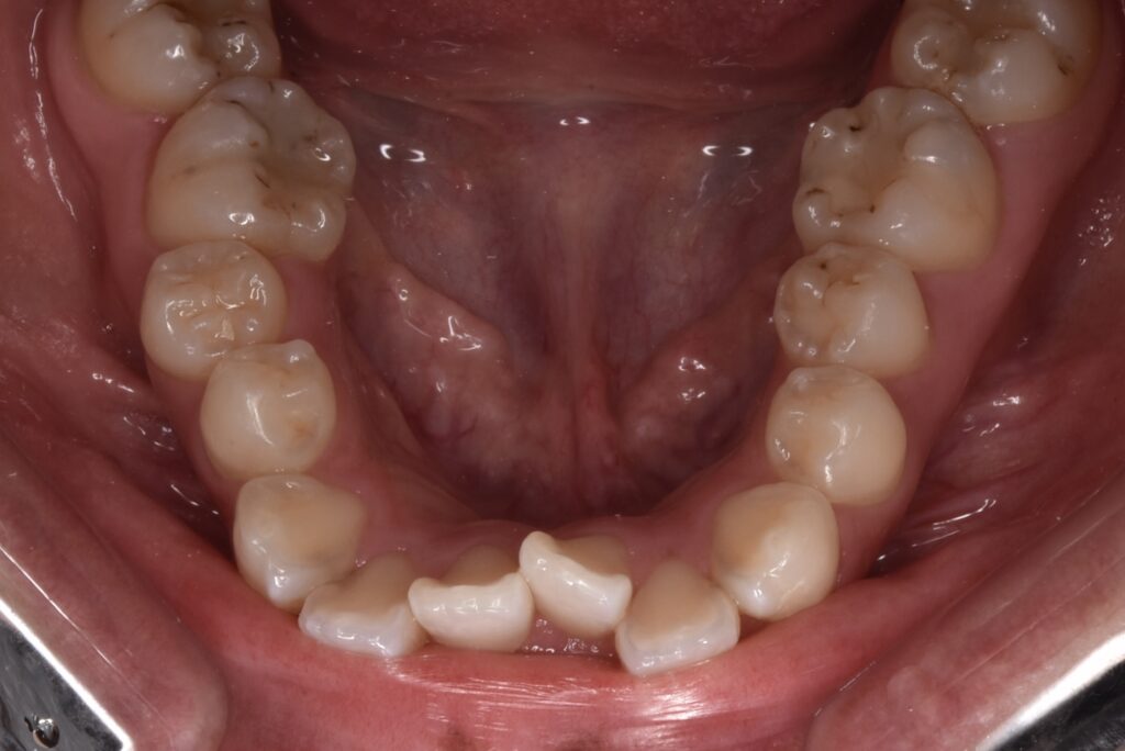
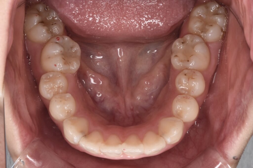
矯正後
矯正はインビザライン モデレートで行っています。追加アライナーなし 途中妊娠出産のため来院間隔が空いています。





インビザライン矯正のメリット・デメリット
メリット
- 着脱式で衛生的
- クリアな色なので目立ちにくい
- 画面上で歯の動きやゴールが確認できる
- ワイヤー矯正に比べて痛みが少ないとされている
- ワイヤーなど矯正器具で頬の粘膜や舌を怪我することがない
- 金属がないのでアレルギーの心配がない
- 自分で交換できる
- 矯正と一緒にホワイトニングできる
デメリット
- 付けていないと矯正できない
- 適応にならないケースがある*外科矯正の術前術後矯正など
- 外食時などで忘れたり、無くしたりすることがある
- 破損する場合がある
- 結果が装着時間・装着具合によって左右されるためイメージ通りにならない可能性がある
- 臼歯部離開などマウスピース矯正特有の副反応が見られることがある
当院へのお問い合わせ
名古屋市瑞穂区瑞穂通5ー1 仁さくらクリニックビル3階 052-746-0313




