目次
モニター様ご紹介
ホワイトニングでホワイトスポットは改善できる?
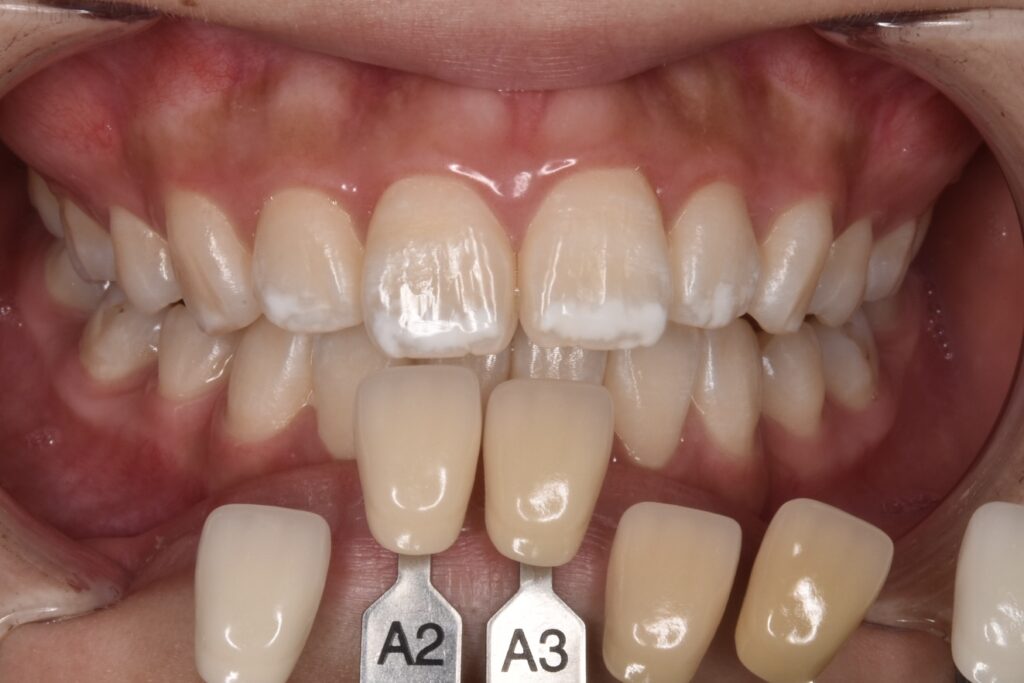
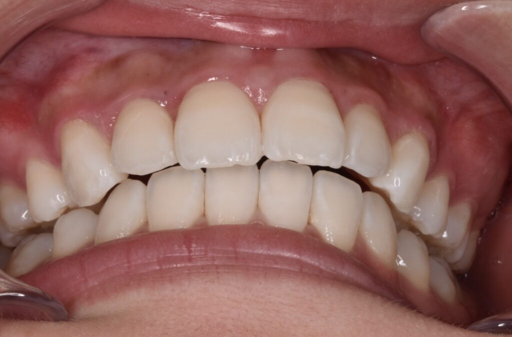
10代女性、ご家族と共に上の前歯6本のホワイトスポットについてご相談でご来院くださいました。当初はホワイトニングのみでホワイトスポットの改善を行いたいとご希望でしたが、ホワイトニングのみではご自身の歯の部分も白くなりますが、ホワイトスポットの部分はもっと白くなっていくため、かえって目立つようになる場合が非常に多いことをご理解頂き、ホワイトニングとアイコンの両方の治療にご納得いただきました。
*ホワイトスポットが小さく薄い場合、長期のホワイトニングで目立たなくなることは希にありますがかなり少数の方に限られます。
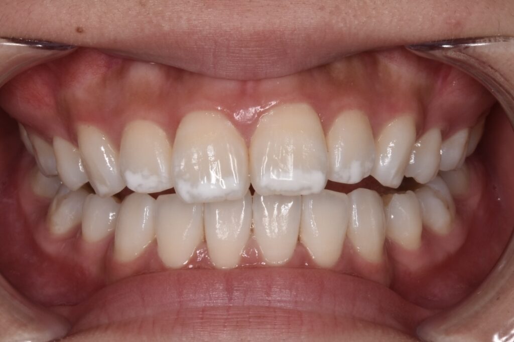
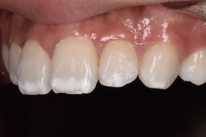
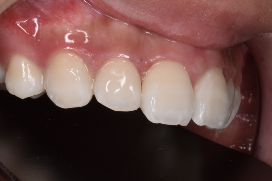
ホワイトニング前後の様子
ご本人様のご希望でホームホワイトニングを2クール(10回x2)をした前後の写真です。全体的に黄色味ががった感じでしたが、ホワイトニングごはトーンが上がり白さが出ています。
*ホワイトニングをしてもホワイトスポットが改善することは基本的にはありません。むしろ逆でホワイトスポットがある場合ホワイトニングすると白浮しますが、その後にアイコン治療するためにはその状態が望ましいです。(アイコンが浸透しやすくなるための治療の下準備といえます)


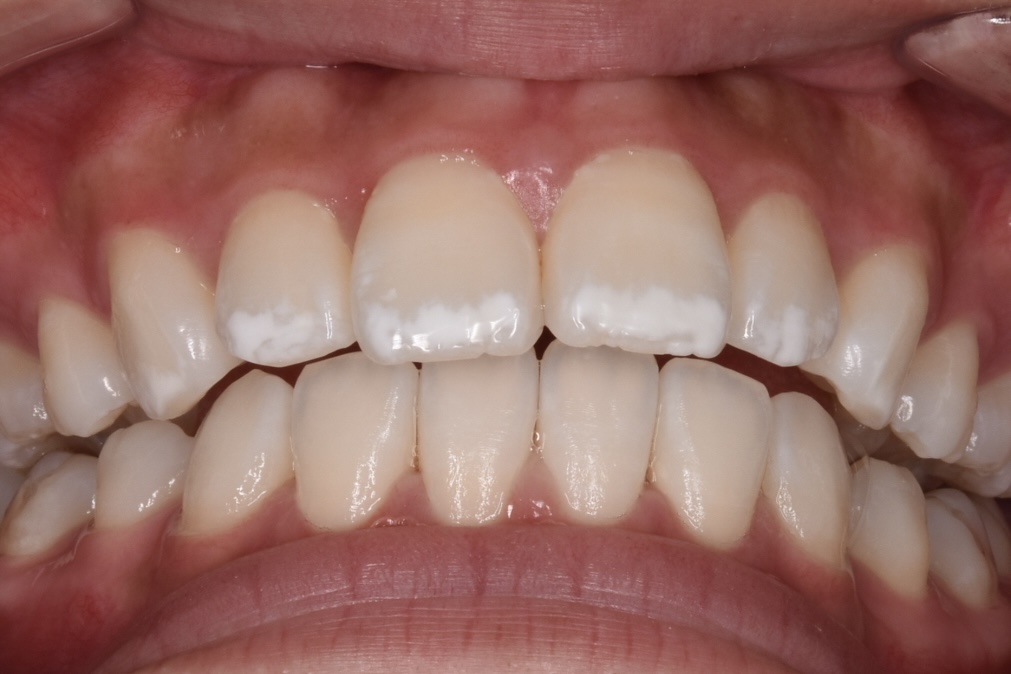
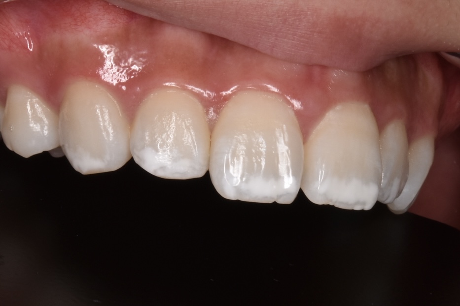
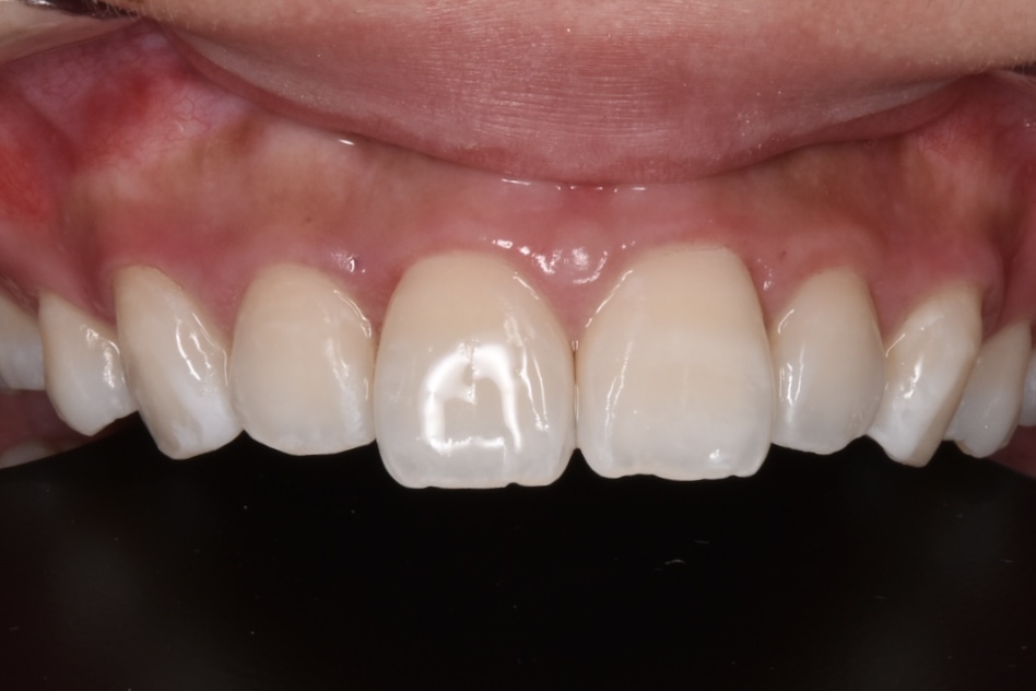
アイコン治療前後
治療開始後約1時間で改善出来ました。ホワイニングをかなりしっかりして下さったおかげでかなり浸透が早かったと言えます。


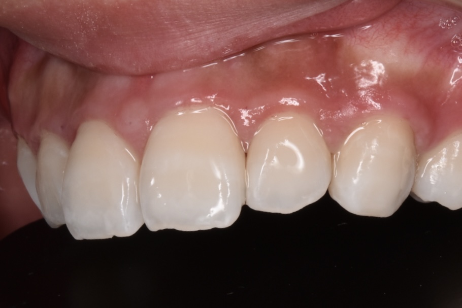
その他の写真ギャラリー












治療費用とデメリット
治療費用(税別)
アイコン1歯40,000円モニター様価格 正規料金45,000円
デメリット
- 後戻り
- 着色等起こす可能性
- 複数回必要になる可能性があります 当院で施術の場合2回目以降は半額で施術させて頂きます(初回治療後より1ヶ月以内に限ります)
ホワイトスポット専門外来
随時専門外来でご相談を受け付けています。初回カウンセリングは30分から1時間程度です。
お電話 052−746−0313
メールでのご相談・ご予約
当院院長について

- 鹿児島大学歯学部 首席卒業
- 名古屋大学医学部附属病院 歯科口腔外科で口腔外科と麻酔科ローテーション
- 聖霊病院歯科口腔外科勤務
- 湘南歯科クリニック心斎橋院・名古屋院勤務
ひめみやさくら歯科矯正歯科会員
- 口腔外科学会
- 口腔インプラント学会



