モニター様ご紹介
30代女性 前歯2本のホワイトスポットがずっと昔から気になり、悩んでいた。ほを削らないで済む方法があると知り、当院にご相談くださいました。
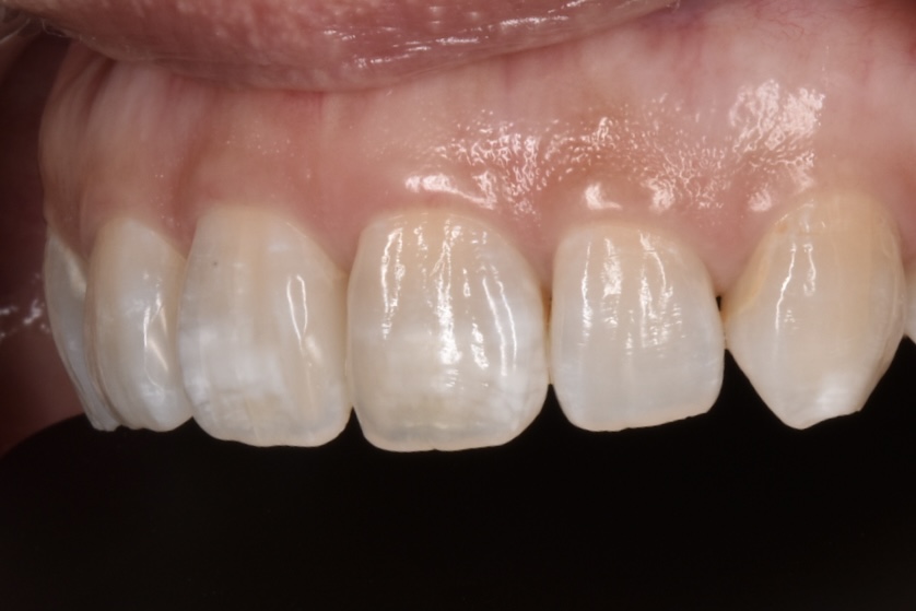
治療前
前歯2本に白いシミが確認できます。
また左の前歯はよく見るとやや黄色味がかっていますので、アイコン治療だけでは改善が難しいタイプになります。*このためアイコン治療を受けて頂く前にホワイトニングをしていただいています。



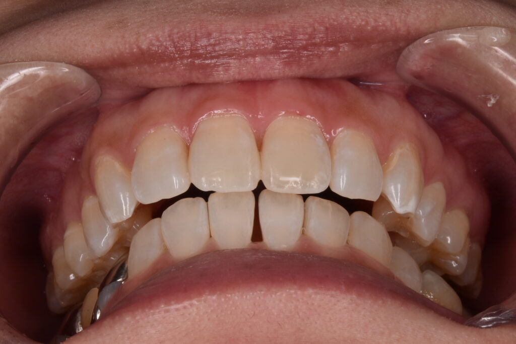
アイコン治療後
前歯2本のアイコン治療直後になります。当院ではしっかりした診断のもと経験豊富な歯科医師(院長)が直接治療します。看護師や衛生士任せな治療ではございません。



アイコン治療によるデメリット
- 効果は個人差・個歯差があります。*40歳以上の方のホワイトスポットは特に難易度が高く複数回必要になることがあります。
- 逆に目立つようになることがあります。当院ではこのうようなケースも対応できます。他院修正なども含めてご相談ください
- 着色リスク・変色リスク
- 後戻りなど
治療回数と費用
基本的にアイコン治療は1回です。(2回目以降は半額)1歯36000円(税別)
ホームホワイトニング10回セット 25,000円(税別)
当院へのお問い合わせ
名古屋市瑞穂区瑞穂通5丁目1 仁さくらクリニックビル3階 052-746-0313





