目次
モニター様ご紹介
20代女性 前歯に物心付いた時からあった白いシミが気になり、近所の歯科医院を受診したが削るほか方法がないと言われたり、削らない治療(アイコン治療)をしていないと言われたりしたとのことで、TikTokをご覧くださり当院を選んでくださいました。
歯を削らないでホワイトスポットを改善させる「アイコン」
アイコンとは

DMG社が開発した特殊な歯科用レジンです。ホワイトスポットの部分にレジンを流し込み白く見える部分の改善を図ります。
*ホワイトスポット治療に慣れた歯科医師でないと、ホワイトスポットが逆に目立つ様になります。当院では他院で失敗した方も対応しています。遠慮なくご相談ください。
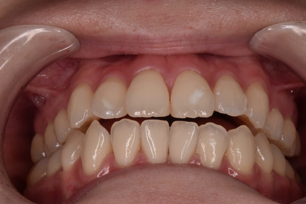
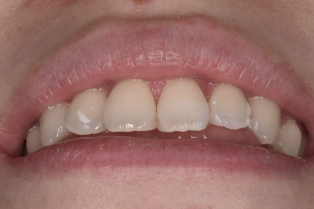
アイコン治療前
今回の治療希望部位は左の前歯1本です。左右側切歯にもありますが今回はご希望されていないため、1本でご契約頂きました。


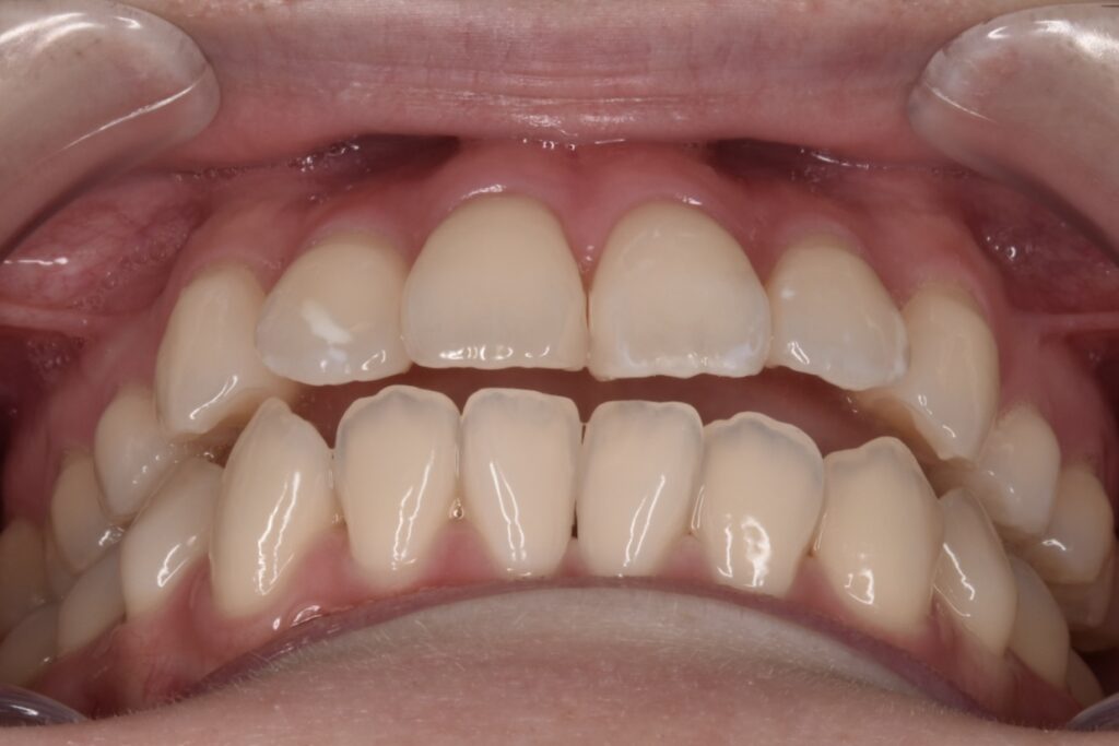
アイコン治療直後
左の切歯の中央付近にあったホワイトスポットがかなり改善しているのがわかります。治療には約90〜120分かかります。


アイコン治療前に10回 ホームホワイトニング

当院ではホワイトスポット治療の効果をより良いものにするためにホームホワイトニングキットの使用を強く推奨しています。過酸化水素が有効成分として含まれているため、通常のホームホワイトニング剤に比べてもアイコンとの相性が良いです。また事前の使用があるかないかでアイコンの効果に明らかに差が出ます。院長がこの理屈からちゃんと説明していますので、その説明を聞いた上でご判断下さい。
費用と通院回数
ホームホワイトニング
10回セットで税別25,000円
アイコン治療
1歯税別40,000円
モニター様料金 税別36,000円 モニター料金や正規料金は予告なく改定されることがあります。昨今の社会情勢から今後料金が上がる可能性が高いです。ご相談はお早めにお願いいたします。
当院へのお問い合わせ
名古屋市瑞穂区瑞穂通5−1 仁さくらクリニックビル3階 052-746-0313
院長紹介

歯科医師 井沢一樹
国立鹿児島大学歯学部首席卒業
公立春日井小牧看護専門学校卒業
名古屋大学医学部附属病院歯科口腔外科などを経て
ひめみやさくら歯科矯正歯科 開院





