目次
40代女性 当院への受診動機 もう失敗したくないという強い思い
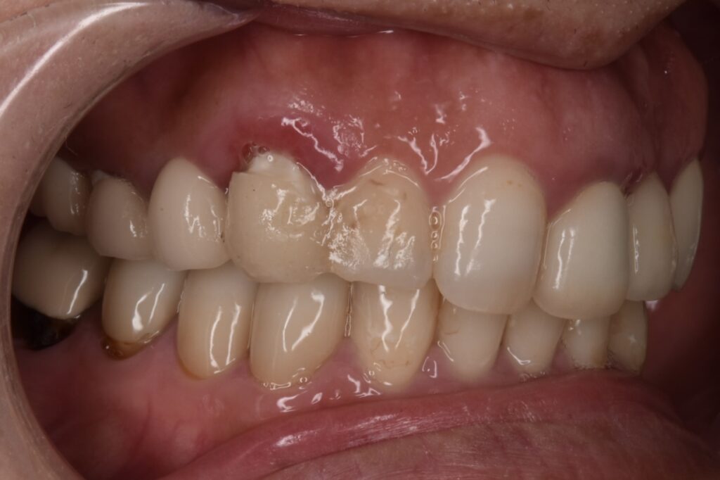
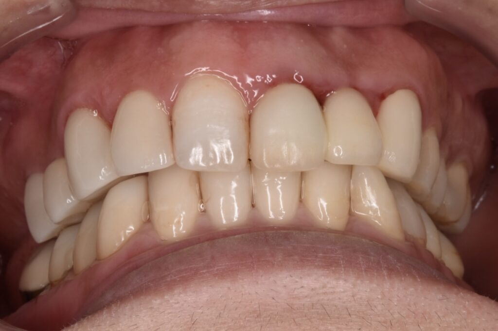
40代女性 他院でセラミックのブリッジ治療をしていて本留めされたが納得できず当院にご来院くださいました。 歯茎は赤く腫れており、セラミックは犬歯で割れています。またそれを繋ぎ止めるかのように前の側切歯と仮蓋の材料で止められ、後ろの土台からは外れていました。
「噛んだ時の違和感や歯ぐきの腫れなど気にされもう失敗したくないからちゃんとしたところで治療したかった。ひめみやさくら歯科矯正歯科さんはChatgptに相談したら出て来ました」とお言葉いただきました。
ご来院時(Before)
セラミックと歯ぐきの間に白く液状のものがありますが膿です。膿が出るほど歯ぐきは炎症していますし、痛みも伴います。
治療前の検査よりセラミックの破折はもちろんですが、土台も折れている状態で、早急な治療が必要であるとお伝えしましたが直ぐには始められず、少し悩まれてからの治療となりました。当院では初診で1時間以上お時間を費やし検査を行い現状の説明と改善の方法をご説明差し上げます。ご納得頂いてからの治療になりますので悩んで頂いて構いません。
当院では、他院での治療に納得がいかない方のご相談を多く頂きます。





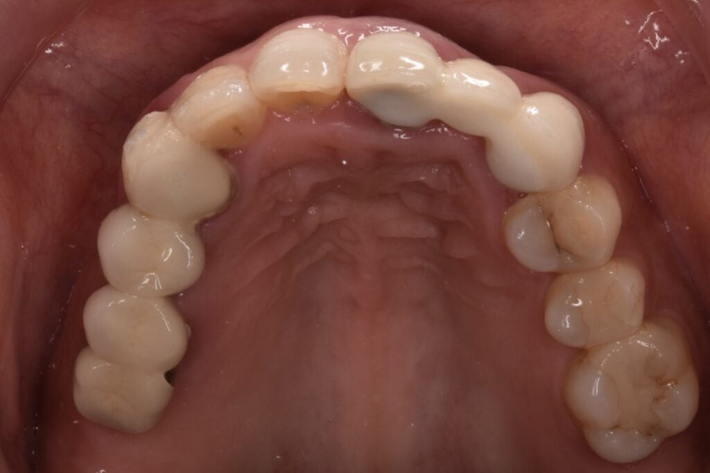
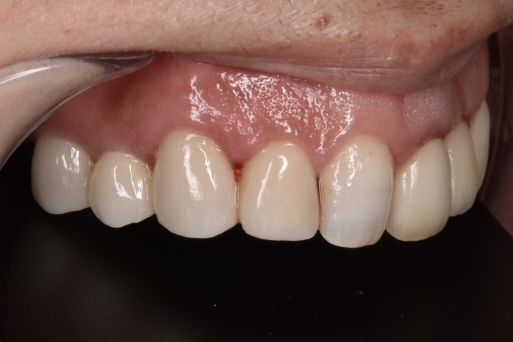
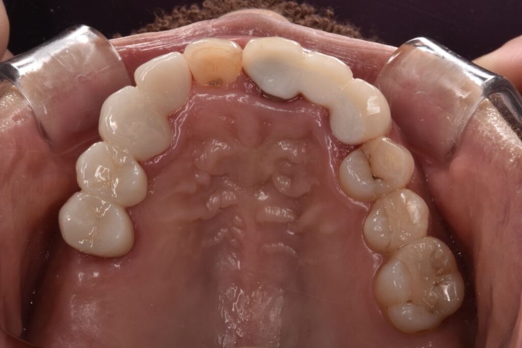
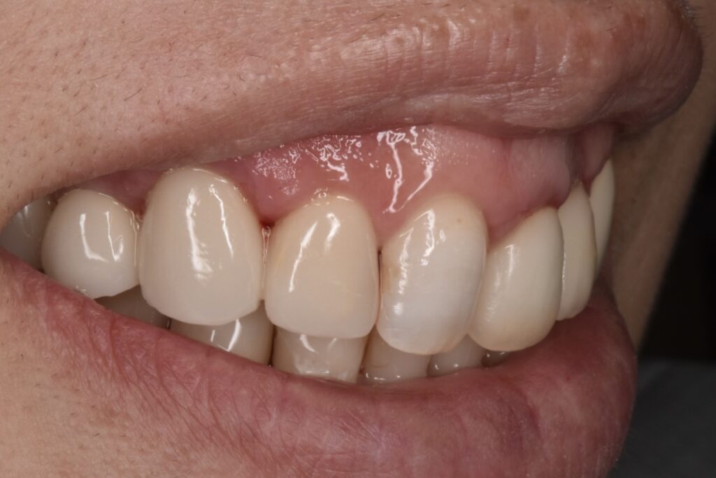
治療後(After)
治療に際してまずは歯ぐきの炎症を抑えるのと同時に治療していくという方法を用いています。プロとして残された2本の土台を再生させる必要がありました。歯肉整形をして歯ぐきからしっかり歯の部分を出し、セラミックが土台の歯の部分を掴むことができるようにしています。またセラミックと歯ぐきの部分を調和した形態で保てるようにBTAテクニックを用いてセラミックを製作しています。(セラミック製作:デンタルラボスカーラに依頼 長年私のセラミックを作ってくれているパートナーのラボです)
色や形だけでなく、土台の基礎となる部分にこだわってセラミックを提供しています。





治療後のお客様の声
「違和感もなくなり噛み合わせも気になることがなく、普段と同じように生活できます」「左側の前歯も今後お願いしたいと思っています」と嬉しいお言葉いただきました。
治療費・通院回数・デメリット
治療費用(税別)
さくらジルコニアセラミックプラン1歯140,000円 Core築成費用1歯15,000円 仮歯1歯5,000円
通院回数
通院は3回 初診時を除いています。治療に関してセラミックの本留めまでの回数です
デメリット
セラミック・歯の破折等の可能性があります。噛み合わせの変化や違和感が出ることがあります。
当院のこだわり

- 20倍まで拡大できるマイクロスコープ完備
- 院長も衛生士も拡大鏡を常時使用
- 神経治療の際はラバーダム防湿を原則使用
- 歯科技工士と連携 常勤歯科技工士も院内に勤務(2025/12/21現在)
- 一人一人の治療を丁寧に行うため、予約の並列は基本的に禁止(歯科医と衛生士の並列はある場合がございます)
- 全て院長が初診対応し現状の説明やカウンセリングを行っています
名古屋市瑞穂区瑞穂通5−1 3階
052-746-0313
院長紹介
国立鹿児島大学歯学部首席卒業
名古屋大学医学部附属病院歯科口腔外科 聖霊病院歯科口腔外科 湘南歯科クリニック心斎橋院 名古屋院勤務
看護師と歯科医師のダブルライセンス ケアマネージャーの登録もしていました




