モニター様ご紹介
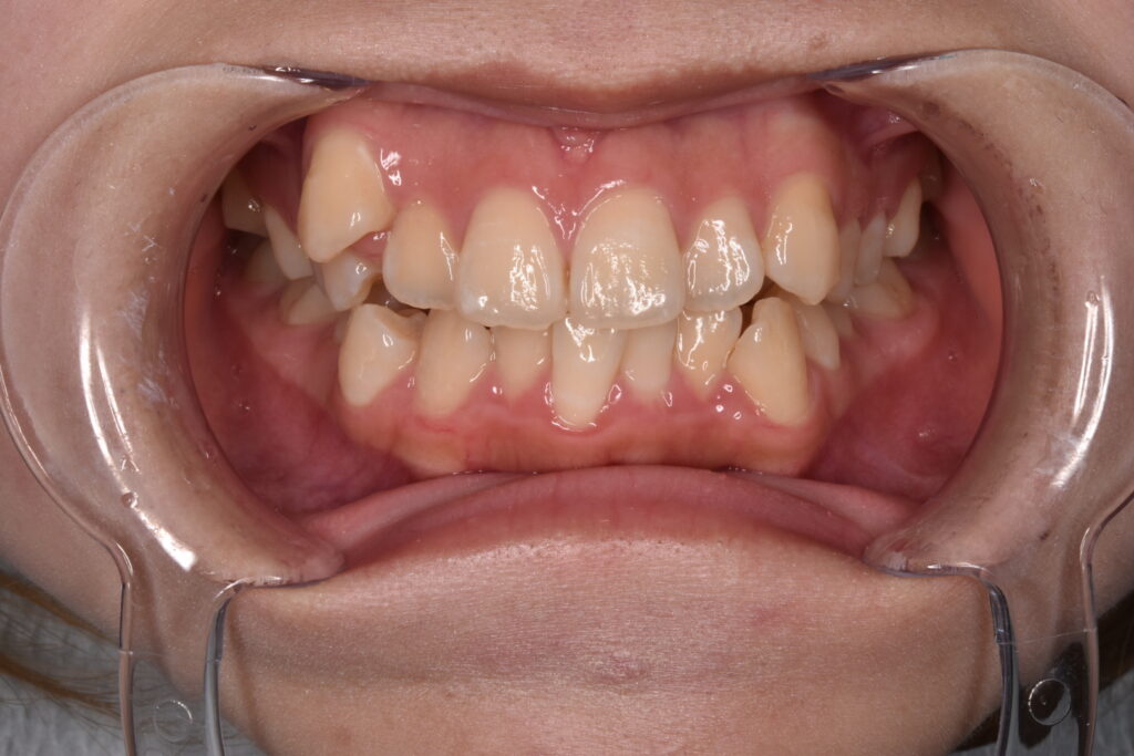
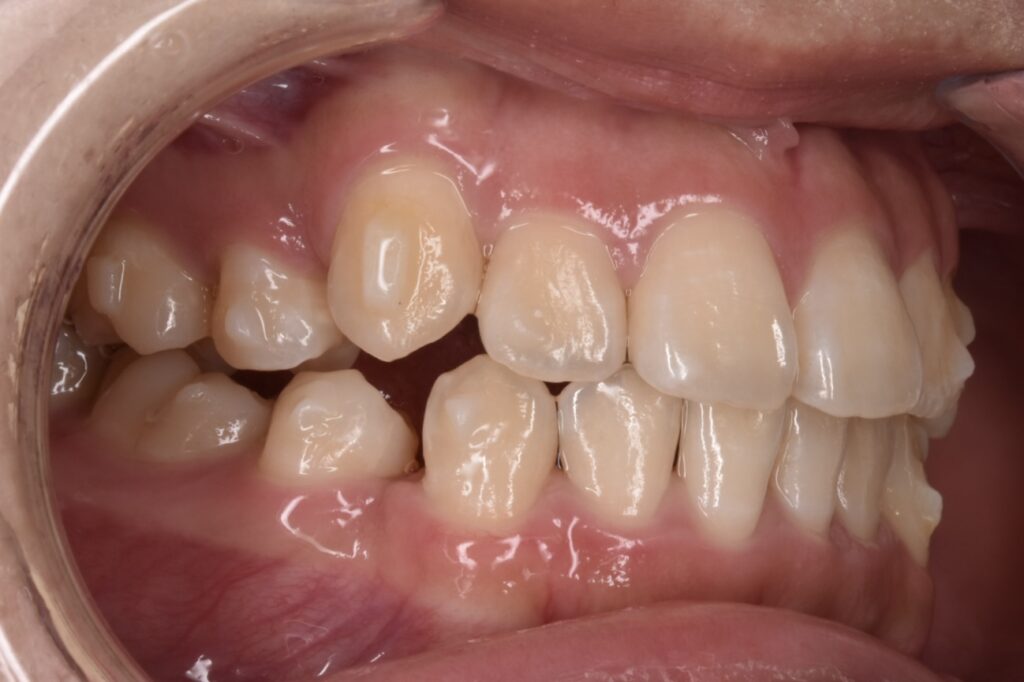
10代女性 以前より八重歯をなくしたいと悩んでいて、高校卒業と同時に矯正を始めたいと、ご家族でご相談にご来院くださいました。
矯正に必要な検査
矯正をする上ではさまざまな検査が必要になります。虫歯の検査や
- 虫歯検査
- 歯周病検査(歯ぐきのチクチクしながら歯周ポケット測定)
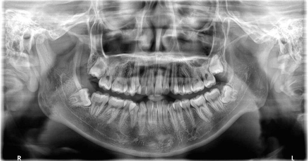
- パノラマレントゲン
- 頭蓋骨のCT
- セファロ(横顔の規格レントゲン)
- 顔貌の写真
- 歯列の写真/スキャン画像など




スキャンによる歯列の確認やレントゲンなどを総合的に検査して矯正のプランニングをする準備をします
当院のiTero(アイテロ)は近赤外線を積んでおりスキャンと同時に虫歯検査を被曝することなく受けることができます。
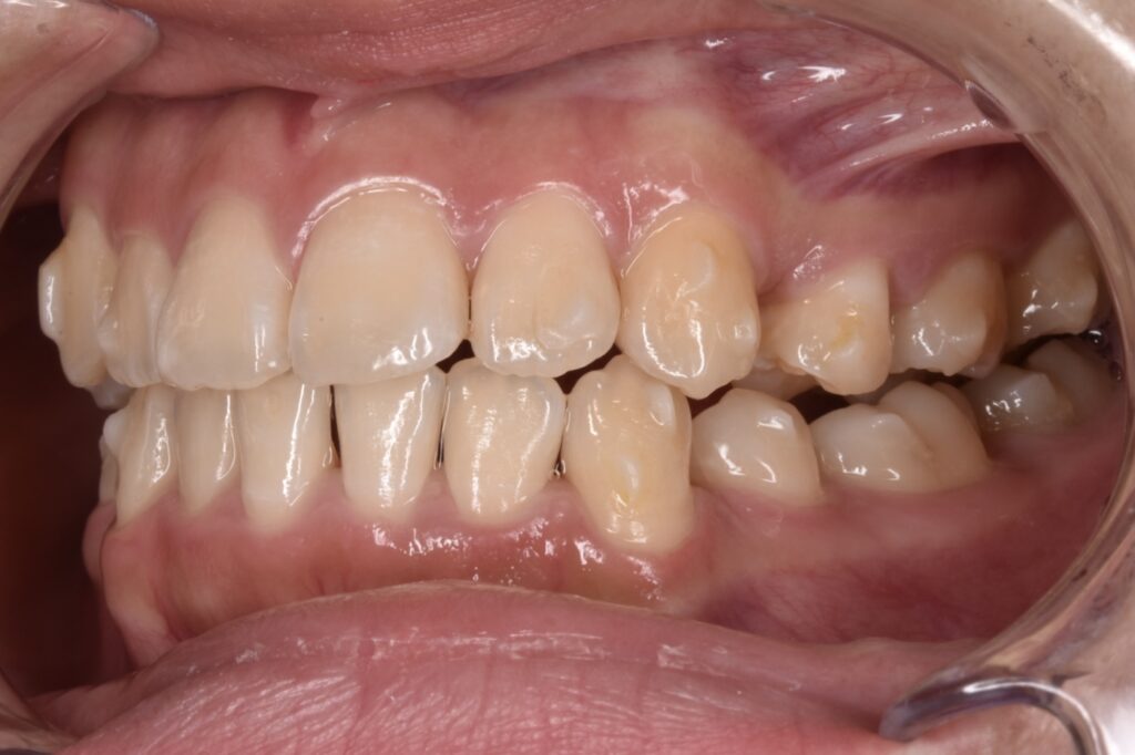
Before



治療計画(クリンチェック)動画の一部
1番気になっていた右の八重歯のはの動きが見れます
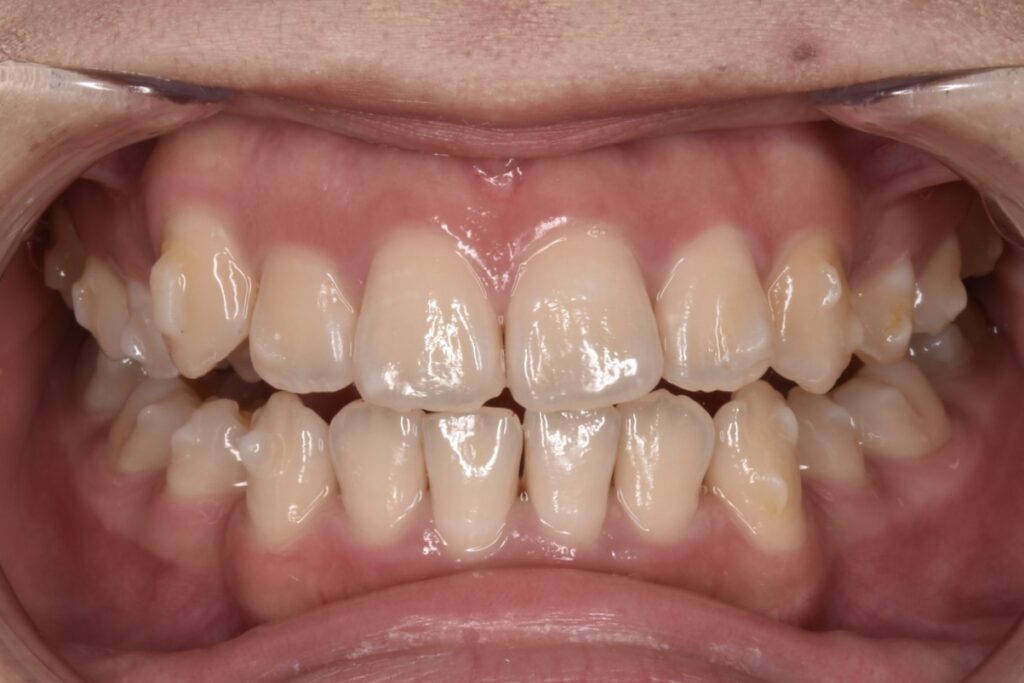
現状38枚目(矯正開始後10ヶ月)
現在矯正開始から38週経過し38枚目になっています。追加アライナーなし、順調に経過しています。八重歯感もだいぶ改善してきましたね。噛み合わせは本人様は全然気にならない様ですが最後に調整していきます。追加アライナーとゴムかけなどです。



当院へのお問い合わせ
名古屋市瑞穂区瑞穂通5−1 仁さくらクリニックビル3階
052-746-0313





