症例集
下に紹介しているのはほんの一部のモニター様です。
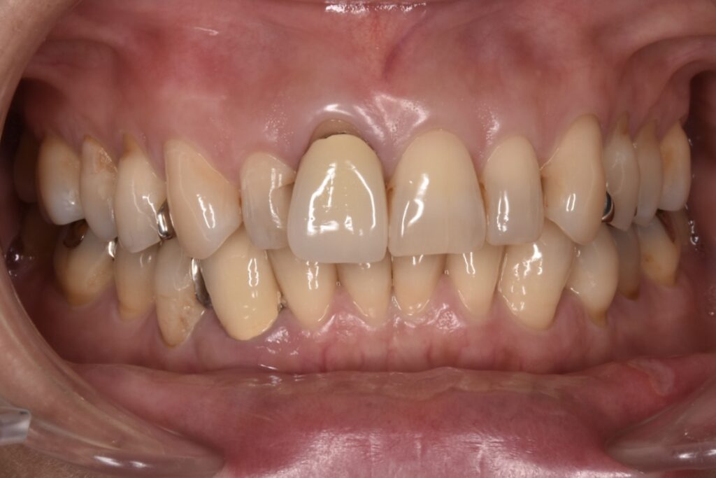
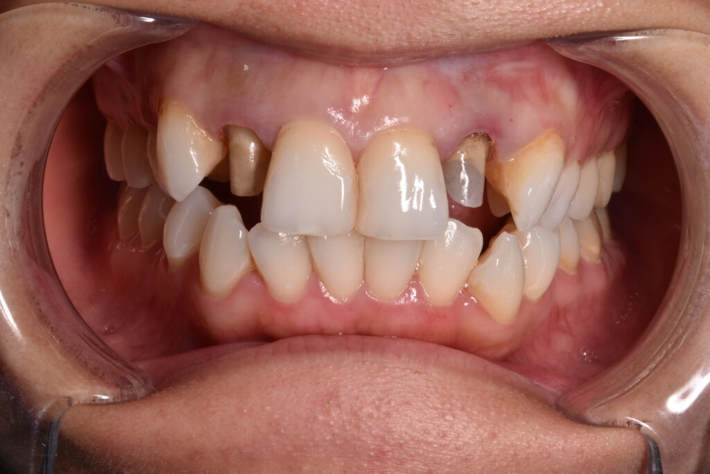
モニター様①
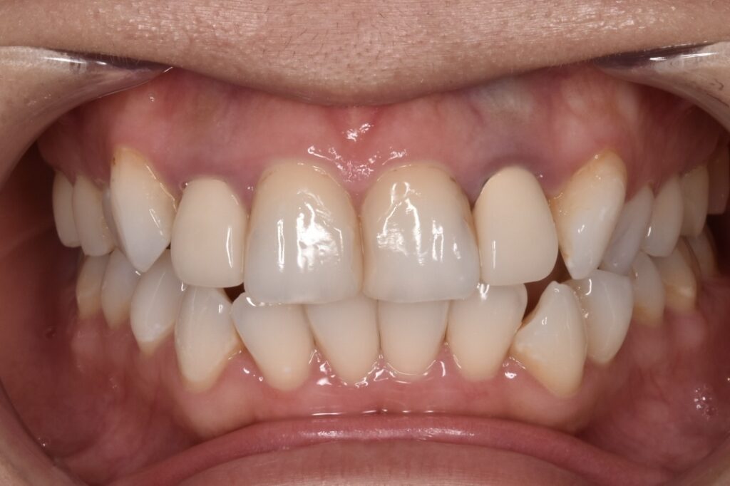
こちらのお客様は全ての銀歯と古い被せ物をやりかえしてくださったモニター様です。上の前歯と下の歯の犬歯がよくわかります。見える部分の銀歯も無くなりました。*ダイヤモンド匠プラン


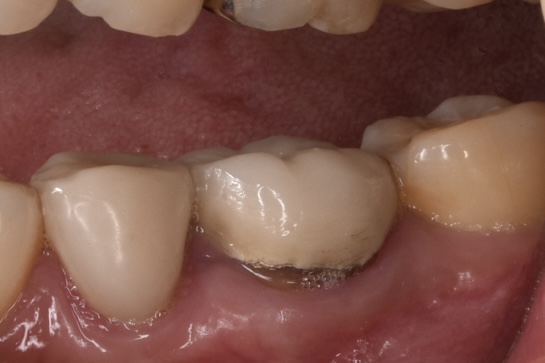
モニター様②
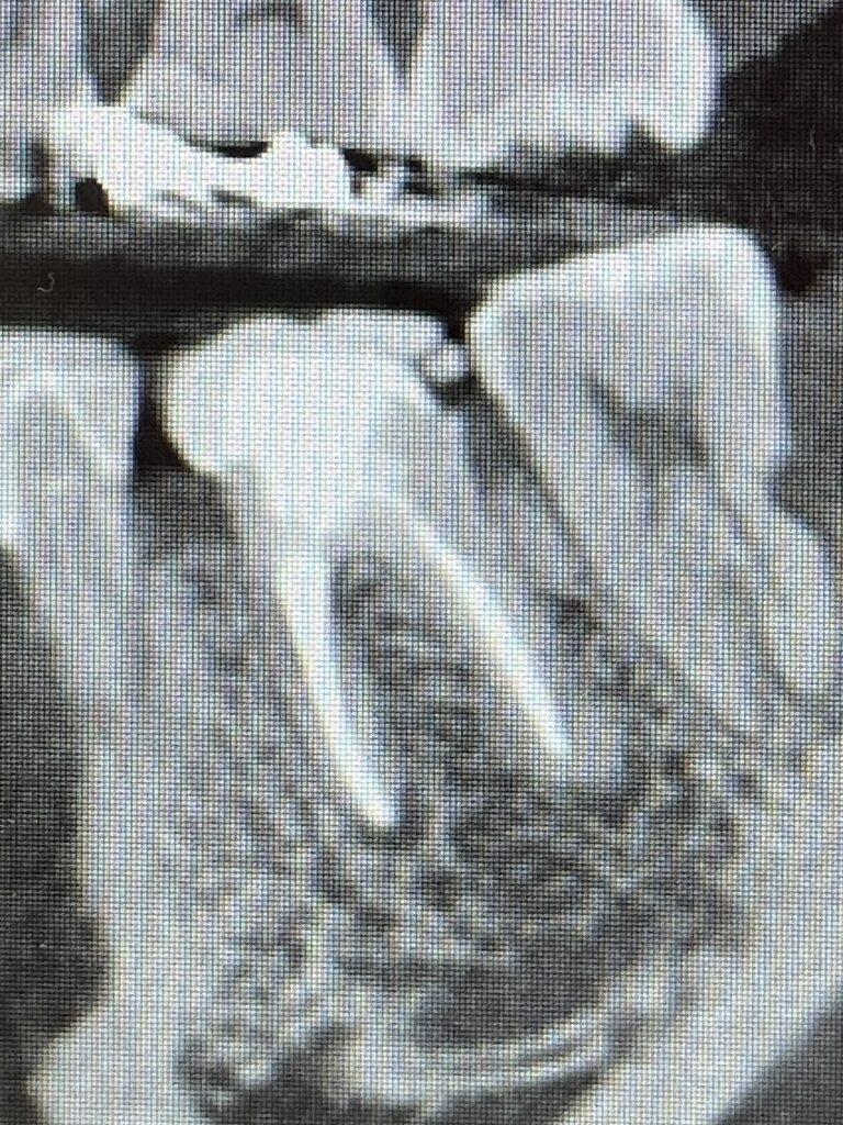
奥歯のやりかえです。真ん中に写っている左下奥歯(左側下顎第一大臼歯)の再治療です。神経治療からやり直しています。*色彩セラミックプラン




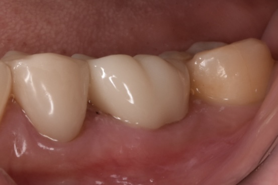
モニター様③
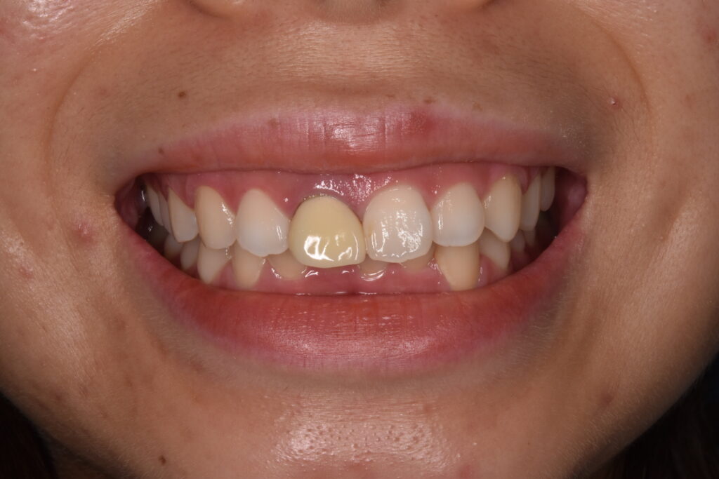
右の前歯の歯ぐきの黒ずみと古い被せ物のやりかえ治療をしています。歯の高さが左右で違うため歯肉整形をしています。*さくらセラミックプラン


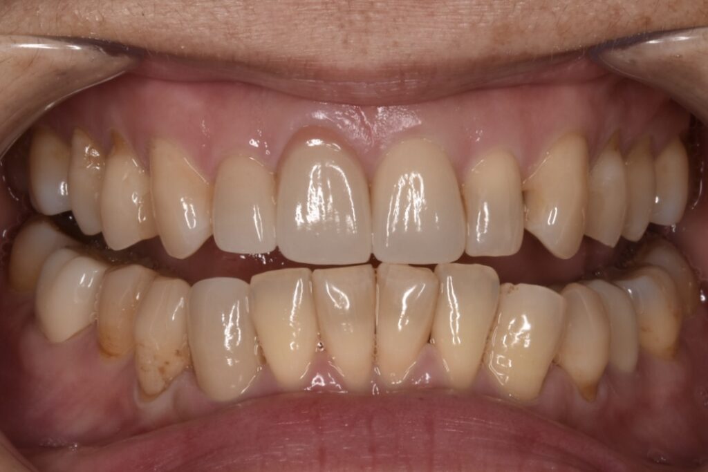
モニター様④
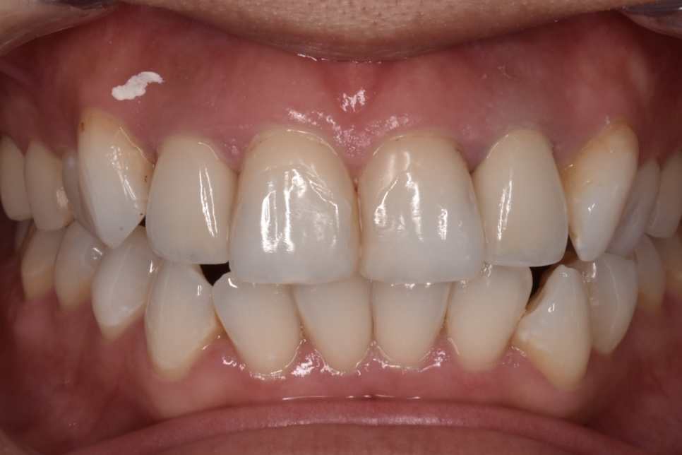
上の前歯(左右側切歯)2本のやりかえです。*ダイヤモンド匠プラン




当院へのお問い合わせ
名古屋市瑞穂区瑞穂通5−1 仁さくらクリニック3階 052-746-0313





