モニター様ご紹介
50代女性 他院でセラミック矯正治療を受けてメンテナンスに通っていたが次第に右側の前歯に違和感が出てきた。歯並びも徐々にずれて来たため、相談した所、抜歯してインプラントを勧められたとの事。「前歯の隙間も気になるし、歯とセラミックの間もすいてきた・・」「ずっとこの歯科医院に通ってきたけどなんだか不安」と思われたそうです。通っていた一般歯科ではなくセラミックを専門的に行なっている当院で相談して決めたいとご相談くださいました。
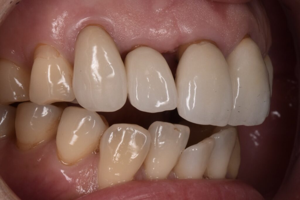
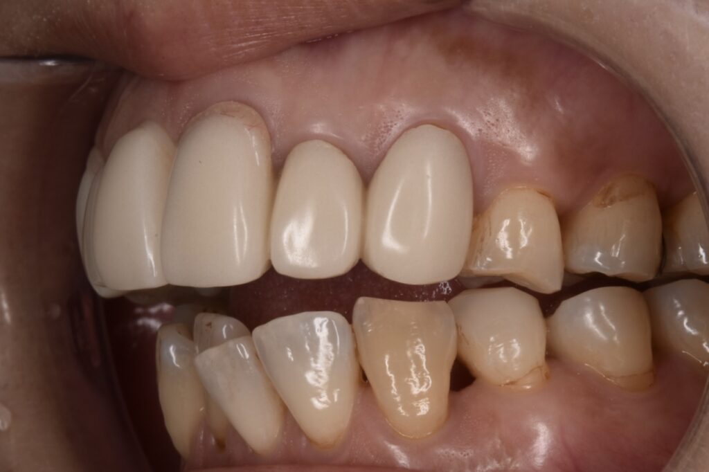
初診時の状態
各セラミックの歯と歯ぐきの隙間や歯と歯の間(ブラックトライアングル)が目立ちます。お口の中のスキャン画像、2次元のレントゲン写真、CTを撮影させていただきました。それらを総合してまずは現状からご説明させて頂きました。
この写真では分かりづらいのですが実は右側の前歯は保存できない状態です。(本人様には何故保存できず抜歯なのか、しっかりCTやレントゲン写真を一緒に見ていただき説明しています。)






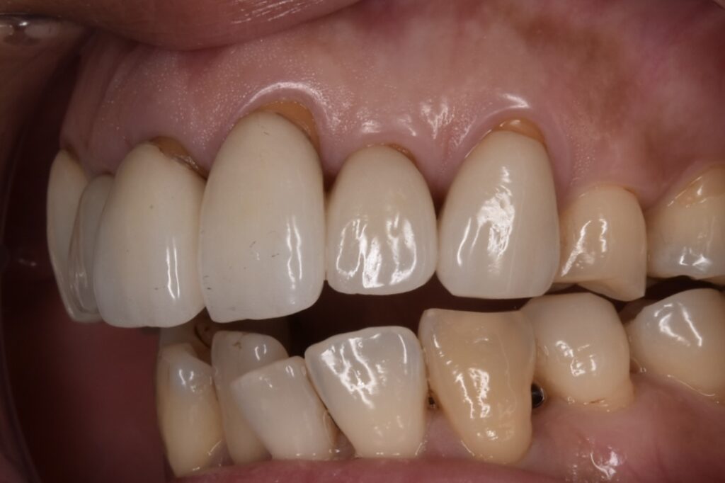
仮歯
こちらは仮歯になります。



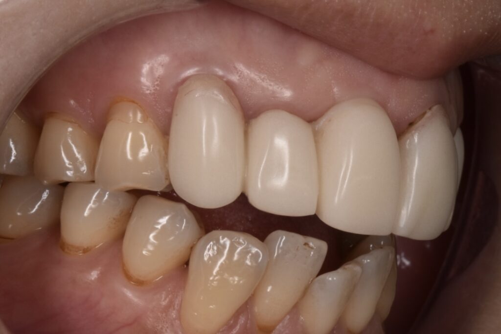
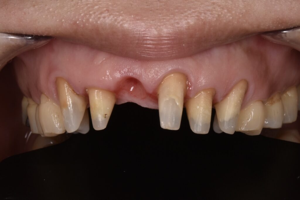
本留前の歯ぐきと支台歯の状態
健康的な歯ぐきです。抜歯した歯茎も唇側が凹むことなく、抜歯した歯ぐきの部分が卵形になるよにして、歯ぐきの中からセラミックの歯が立ち上がっているように見えるようにしています。こちらはオベイド型と言って抜歯した時からこの設計にする必要があります。抜歯後に作ることは困難です。



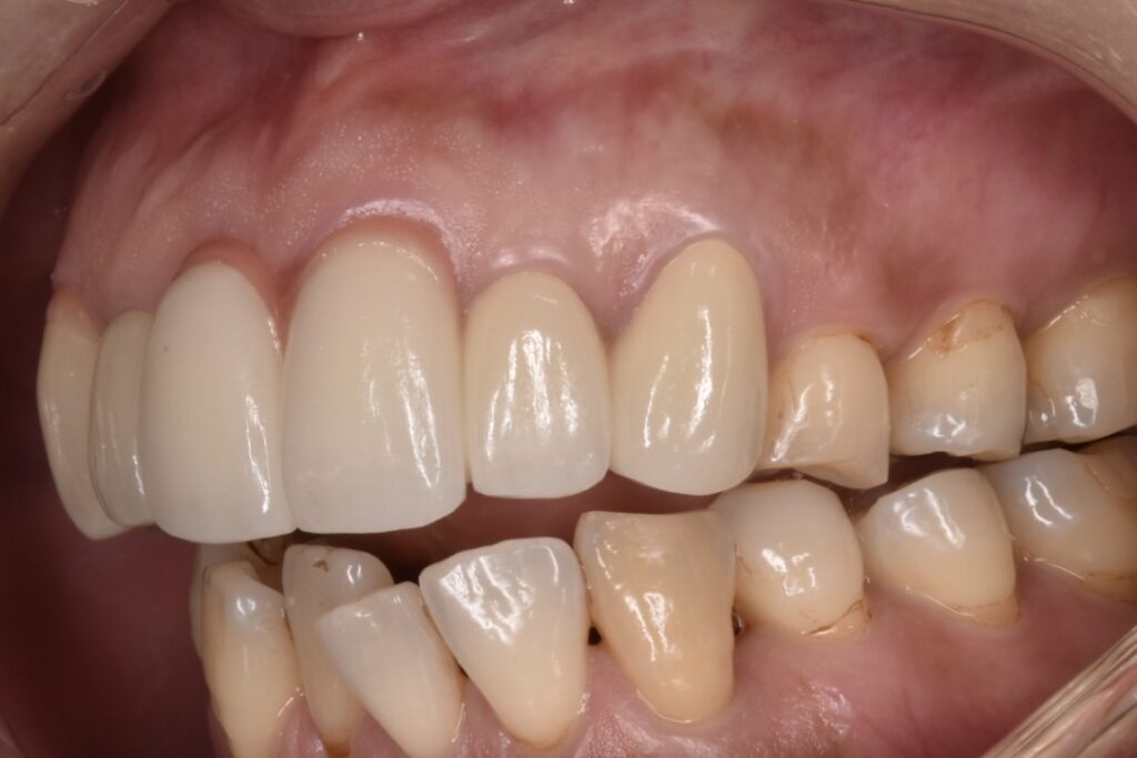
セラミック治療後
歯ぐき色のセラミックを用いてできるだけ自然な感じにしています。写真だと歯茎を持ち上げているため色の差がありますが、リップを下ろして普段お話しや食事で目立つことはありません。むしろ、やや暗いピンクなので自然に見えるようになります。
*歯ぐき色のセラミックはダイヤモンド匠プランでのみ承ります。



通院回数と費用
通院回数は7回 期間は約5ヶ月 抜歯をしているため期間はやや長めです。
ダイヤモンド匠プラン 1歯185,000円 抜歯前歯8,000円 プロビジョナル1歯10,000円
価格は全て税別です。
デメリット
セラミックの破折・脱離等起こすことがあります。発音の変化、違和感など感じることがあります。
当院へのお問い合わせ
名古屋市瑞穂区瑞穂通5−1 仁さくらクリニック 3階 052-746-0313
院長紹介

歯科医師 井沢一樹
国立鹿児島大学歯学部首席卒業
公立春日井小牧看護専門学校卒業
名古屋大学医学部附属病院歯科口腔外科 聖霊病院歯科口腔外科 湘南歯科クリニック心斎橋院 名古屋院
ひめみやさくら歯科矯正歯科 開院





