モニター様ご紹介
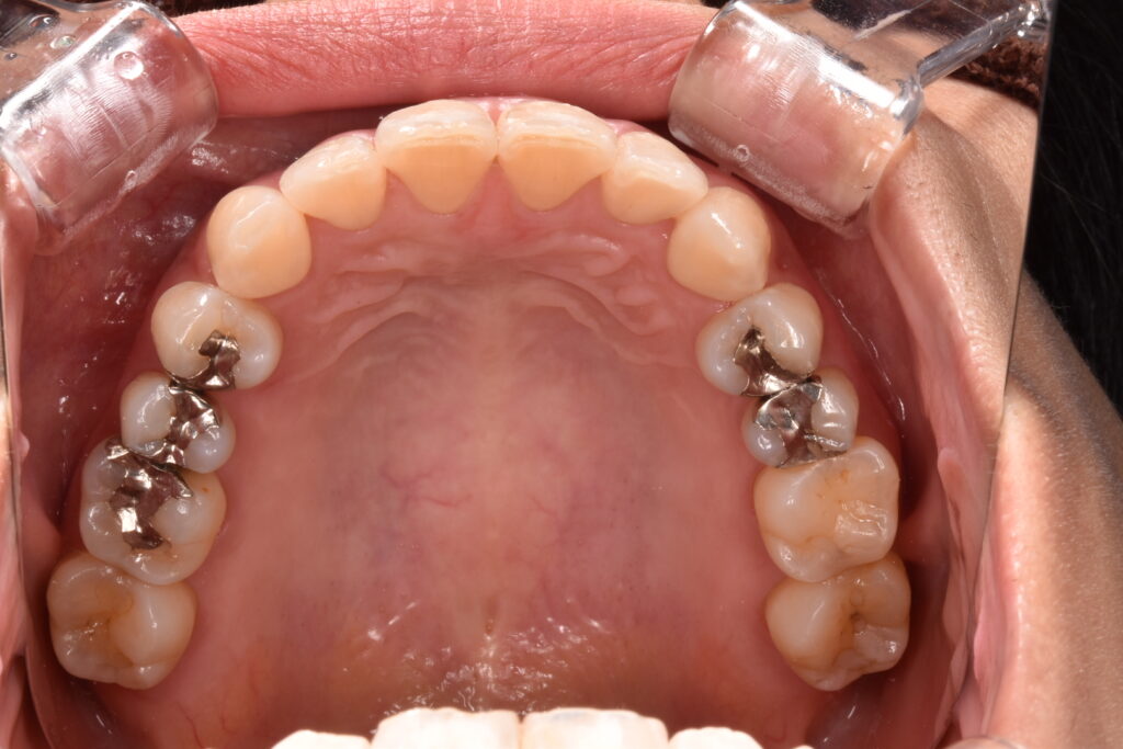
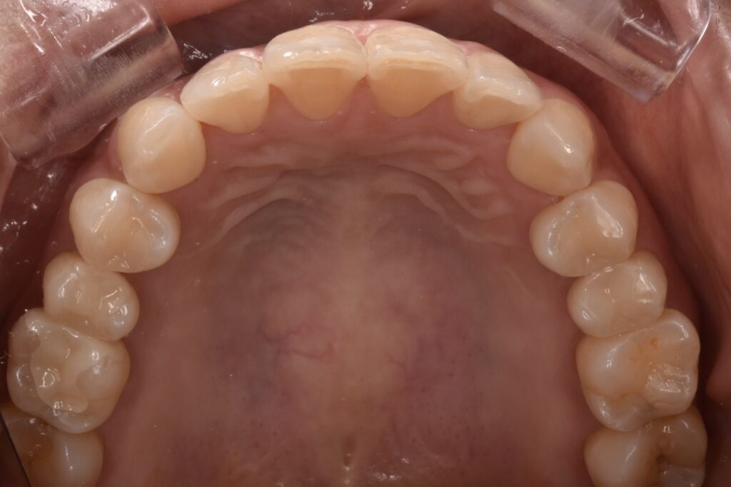
40代女性 他院でマウスピース矯正をされた後、当院で銀歯のやりかえをご相談くださいました。やりかえ希望は上の歯で5本、下の歯で1本です。
治療前後


費用と通院回数とデメリット
費用
セラミックインレー 55000円 税別
ジルコニアセラミックインレー 65000円 税別
通院回数
通院回数3回 ①初回治療で左上やりかえ開始 ②左上のセラミックセットと同時に右の上やりかえ開始 ③右上のセラミックインレーセットで終了です。
*左右の場合は噛み合わせの変化を極力小さくするために、分けて治療を進めています。状態によっては左右同時にできることもありますので、ご相談ください。
デメリット
- セラミックの破折
- 噛み合わせの変化
- 歯周組織の炎症など起こす可能性があります
当院へのお問い合わせ
名古屋市瑞穂区瑞穂通5−1 仁さくらクリニックビル3階 052-746-0313
メール等でのご相談はこちらから 24時間可能です。*院長が返信しています。夜間・診療中は返信ができません。何卒ご理解のほどお願い申し上げます。
院長紹介
診察や麻酔でも必ず拡大鏡を使用し、愛のある治療を心がけています。当院でリーピート治療してくださる方も少しづつ増えています。

歯科医師 井沢一樹
国立鹿児島大学歯学部 首席卒業
公立春日井小牧看護専門学校卒業
歯科医師と看護師のダブルライセンスを持つ珍しい歯科医師です
日本口腔インプラント学会 日本口腔外科学会所属





