目次
モニター様ご紹介
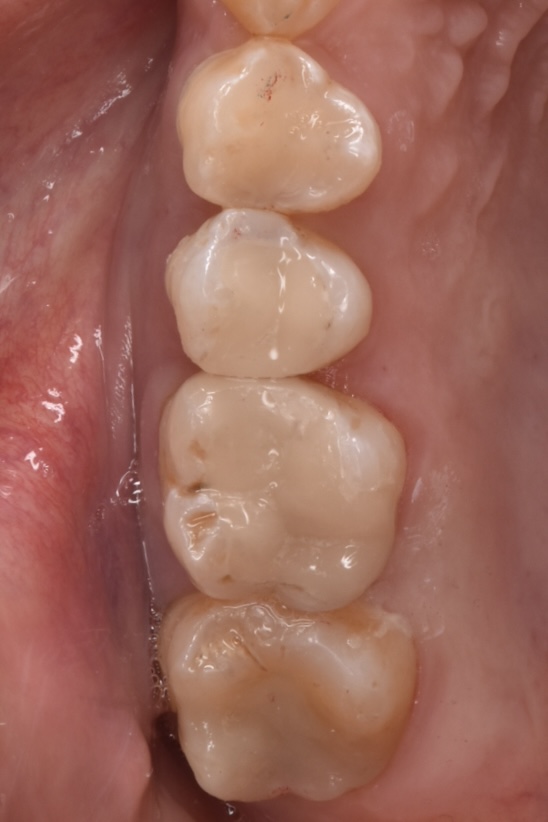
30代女性 銀歯をセラミックで白い歯にしたいとご相談くださいました。銀歯で治療をされたのが、かなり前とのことで、銀の下で大きな虫歯になっている可能性はしっかりお伝えしています。
Before and After
銀歯のやりかえ前後の写真です。第一小臼歯と第二大臼歯(写真では1番上と1番下)はダイレクトボンディングという手法で、虫歯治療から歯の形を作って修復する過程を1日で行っています。真ん中の2本はセラミック(e-max)インレーで修復していますので、1階目の治療で虫歯治療から型取りまで行い、2回目でセラミックのセットをしています。


通院回数と費用
費用(税別)
ダイレクトボンディング1歯 60,000円
セラミックインレー1歯50,000円
通院回数と期間
通院回数は2回 期間は約2週間
メリットとデメリット
メリット
- 天然歯の色に近く目立ちにくい
- 金属アレルギーの心配がない
- 少ない回数で終了する
- 精度が高いく汚れが付きにくいため2次虫歯になりにくい
- 温度や科学的な刺激に安定している 金属は熱で収縮・膨張を繰り返す、イオン化して口の中で溶けるがそれがセラミックはない
デメリット
- 破折・脱離の可能性がある
- 金属に比べ靭性がないため厚みが必要
- 透明感が高いため、土台の歯の色に影響を受ける
- 自由診療のため治療費用は歯科医院によってことなる
治療ギャラリー



当院へのお問い合わせ
名古屋市瑞穂区瑞穂通5−1 仁さくらクリニックビル3階 052-746-0313
院長紹介

歯科医師と看護師のダブルライセンスの異彩な先生
歯科医師 井沢一樹
国立鹿児島大学歯学部首席卒業
公立春日井小牧看護専学校卒業
国立名古屋大学医学部附属病院 歯科口腔外科 聖霊病院歯科口腔外科 湘南歯科クリニック心斎橋・名古屋院
ひめみやさくら歯科矯正歯科 開院





