目次
モニター様紹介
40代女性、名古屋市外からご来院されました。(当院規定の交通費支援制度を適応させて頂きました)
10年ほど前に他院で治療した前歯を中心にセラミックのやり変えをご希望されました。診察の結果セラミックと歯茎の調和がない形のため、歯が小さく見えてしまっていました。色も前歯と左右の犬歯から後ろで違うため綺麗な色に揃えたいとのことです。また右上の犬歯は大きな虫歯で、そのお隣の銀歯も気になるためやり変えをご希望されました。
ご契約プラン
セラミックのやり直しに際し、色彩セラミックプランでご契約いただきました。このプランに加え歯肉整形術(上顎)をご契約いただきました。
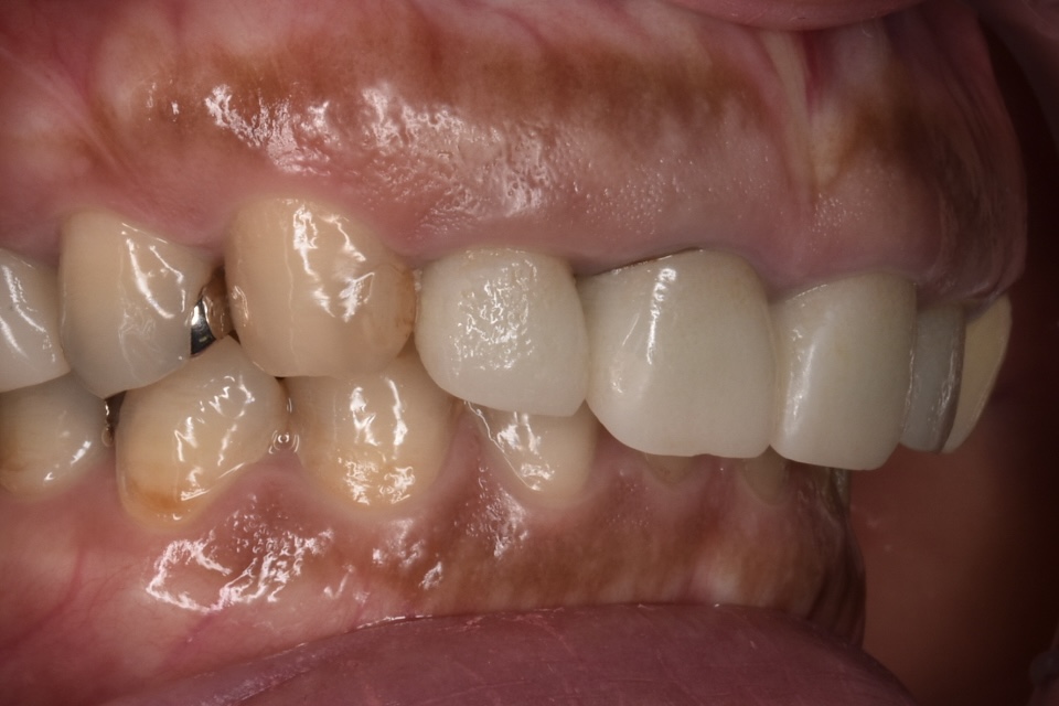
Before
前歯4本が白めで正方形に近い形に見えてしまっています。歯茎もセラミックの際の部分がやや赤黒くなっていてレッドバンドと言われる状態です。このため歯茎がセラミックの歯に乗っかっているように見えています。前歯4本と犬歯の色も差があります。






After
ただ単にセラミックを付け替えたわけではなく、土台からやり直しをしています。また歯肉整形をして歯茎とセラミックが調和するBTA形態という特殊な技法を指示してセラミックを製作しています。(その指示をきちんと再現してくださる技工士さんに感謝しています。)セラミックと歯ぐきの際をよく見るとスティップリングという健康な歯ぐきにしか見られない細かいプツプツが確認できます。










費用と通院回数
セラミック本留めまでの通院回数:4回*通常2〜3回です。
①初診カウンセリング 診察し現状の説明と必要な治療・費用のご説明
②治療開始 古いセラミックと金属土台を除去して土台からやり直し、セラミックの型取りを行い仮歯にしています
③セラミックの試適から仮止め 歯ぐきをセラミックと馴染ませるための時間をいただきました
④セラミックと歯ぐきが馴染んだのを確認して本留めしています。
色彩セラミックプラン 1歯110,000円税別モニター様価格*2025.4.21より変更しています
歯肉整形術片顎 50,000円税別 その他金属土台除去・グラスファイバー土台築成費用・仮歯費用が必要です。
メリットとデメリット
メリット
- 最短3週間ほどでやり替えできる
- 金属を使用しないためアレルギーの心配がない
- 見た目だけでなく、歯ぐきと調和したセラミック治療を受けられる
- セラミックの色を自分で決めることができる
- 精度の高い根管治療を受けることができる
- 保健治療では使用することができない生体に良い材料・治療技術・時間を取ることができる
デメリット
- 健康保険給付外の治療
- 1回の治療が90分〜数時間になることもあります
- 歯の状態によっては初期の治療計画から変更せざるを得ない状況になることもあります。*その際は必ず状態の説明からして予めお伝えしています。
当院へのお問い合わせ
監修者情報

歯科医師 井沢一樹
国立鹿児島大学歯学部 首席卒業
名古屋大学医学部附属病院 歯科口腔外科
聖霊病院歯科口腔外科
湘南歯科クリニック 心斎橋院 名古屋院
ひめみやさくら歯科矯正歯科
歯科医師 看護師 ケアマネージャー





