モニター様ご紹介
20代女性 名古屋市よりご来院くださいました。何年か前に前歯の隙間を埋めるため、他院でダイレクトボンディングを受けられたそうです。今回はその前歯の隙間を埋めた歯科用レジンが茶色く変色してきたためやりかえ修正をご希望です。
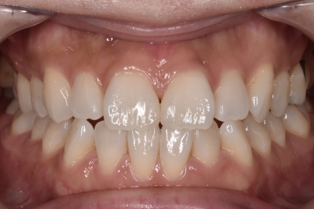
Before
真ん中が茶色くなっていて汚れている様に見えるのが気になるとのことです。また私的に歯先の不揃い加減も気になるため合わせて綺麗にさせて頂く事になりました。



治療中元の大きさと歯の色を確認
他院修正治療では古いレジンを歯の方に残さないことが重要です。マイクロスコープと特殊なフィルターを使用して歯を削らない様に注意して除去します。ここが意外に時間がかかります。



After
出来るだけ左右対称なだけでなくその方にあった形をイメージして最終形態を作ります。



古くなった茶色いレジンを単にやりかえるだけでなく、刃先の感じも綺麗に女性らしく少し丸い感じで修復いたしました。
費用と通院回数
ダイレクトボンディングによる通院回数は2回 初回カウンセイングと治療の日の2回です。
費用:ダイレクトボンディング1歯55,000円 モニター様価格 税別
他院ダイレクトボンド除去費用1歯5000円 税別 当院ではマイクロスコープを使用して古いレジンを丁寧に除去します。
当院へのお問い合わせ
院長紹介

歯科医師 井沢一樹
歯科医師 看護師のダブルライセンス
国立鹿児島大学歯学部 首席卒業
公立春日井小牧看護専門学校 卒業
国立名古屋大学医学部附属病院 歯科口腔外科 聖霊病院歯科口腔外科 湘南歯科クリニック心斎橋院・名古屋院
ひめみやさくら歯科矯正歯科 開院





