目次
すきっ歯改善を歯を削らないラミネートベニアで改善
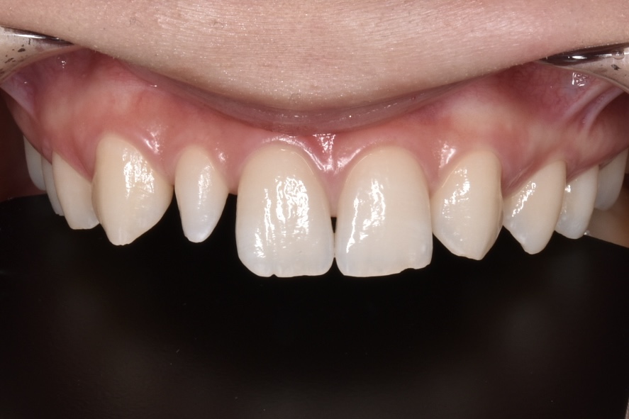
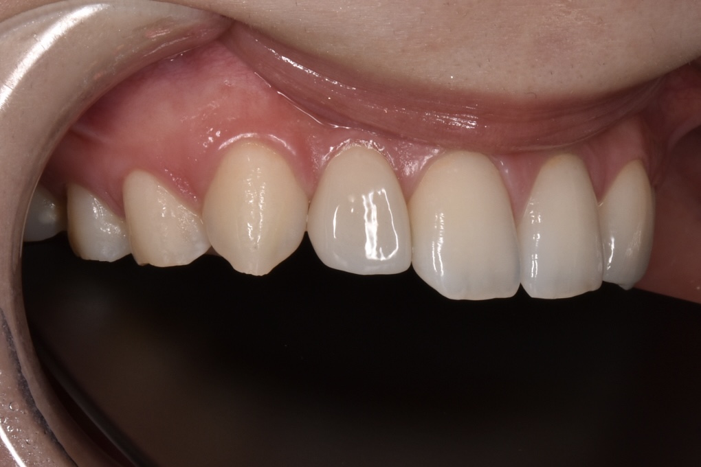
モニター様1
生まれつき右側の上の側切歯が小さく(矮小歯)隙間があるのをラミネートベニアで改善させていただきました。
治療前



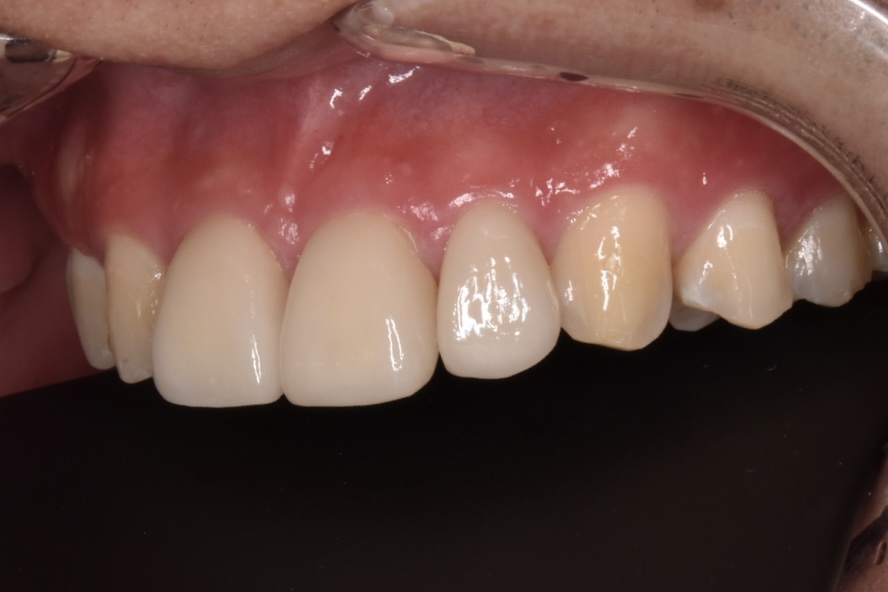
治療後



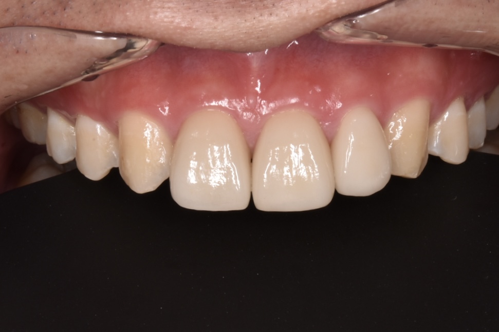
モニター様2前歯3本のラミネートベニアで隙間を改善
治療前



治療後



当院について

名古屋市瑞穂区瑞穂通5−1 3階
052−746−0313
目次
生まれつき右側の上の側切歯が小さく(矮小歯)隙間があるのをラミネートベニアで改善させていただきました。













名古屋市瑞穂区瑞穂通5−1 3階
052−746−0313
CLINIC
〒467-0806
愛知県名古屋市瑞穂区瑞穂通5-1
仁さくらクリニックビル3階
| 治療時間 | 月 | 火 | 水 | 木 | 金 | 土 | 日 | 祝 | |
| 10:00-19:00 | ● | ● | ● | × | ● | ● | × | × | |
※10:00-19:00の間休憩なし ※休み:木/日/祝