モニター様紹介
40代女性 前歯の真ん中の隙間があり、この改善を希望され当院にご相談くださいました。ライフスタイル的に忙しく矯正治療やセラミックでの治療ではなく1−2回の通院で終了するダイレクトボンディングという手法で改善することになりました。
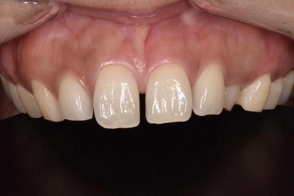
ダイレクトボンデクング前
前歯2本がやや細く、横の膨らみが少ないため長方形のような形であることがわかります。また右と左ではの長さが違うためこちらも出来るだけ目立たないようにしていきたいと思います。

すきっ歯治療前の症例写真です


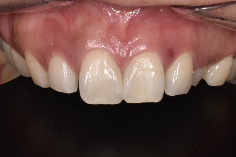
ダイレクトボンディング後
ダイレクトボンディング後2週間程の写真です。真ん中はしっかりと閉じつつ歯先どうしの形もこだわって形を整えています。歯の色も自分の歯の色と遜色無くな出来るだけ馴染むようにしています。これを1日で行いますので、基本的に通院の必要はございません。
*当院ではスムーズな診療とご相談を心掛けています。そのためカウンセリング後は必ずワックスアップモデルを作製して、それをご覧頂いてから治療になります。このため即日とは初診時では無く治療開始日という意味です。ご注意ください。こちらの方が形を煮詰めたり、歯の色を整えていただいたり(ホワイトニングで歯を綺麗にしてからの治療をご希望される方が多いです)するためお客様にとってのメリットが多いためこのようにしています。どうぞご理解くださいませ。

すきっ歯治療後の症例写真です


ギャラリー



当院について

名古屋市瑞穂区瑞穂通5−1 3階
052-746-0313





