目次
モニター様ご紹介
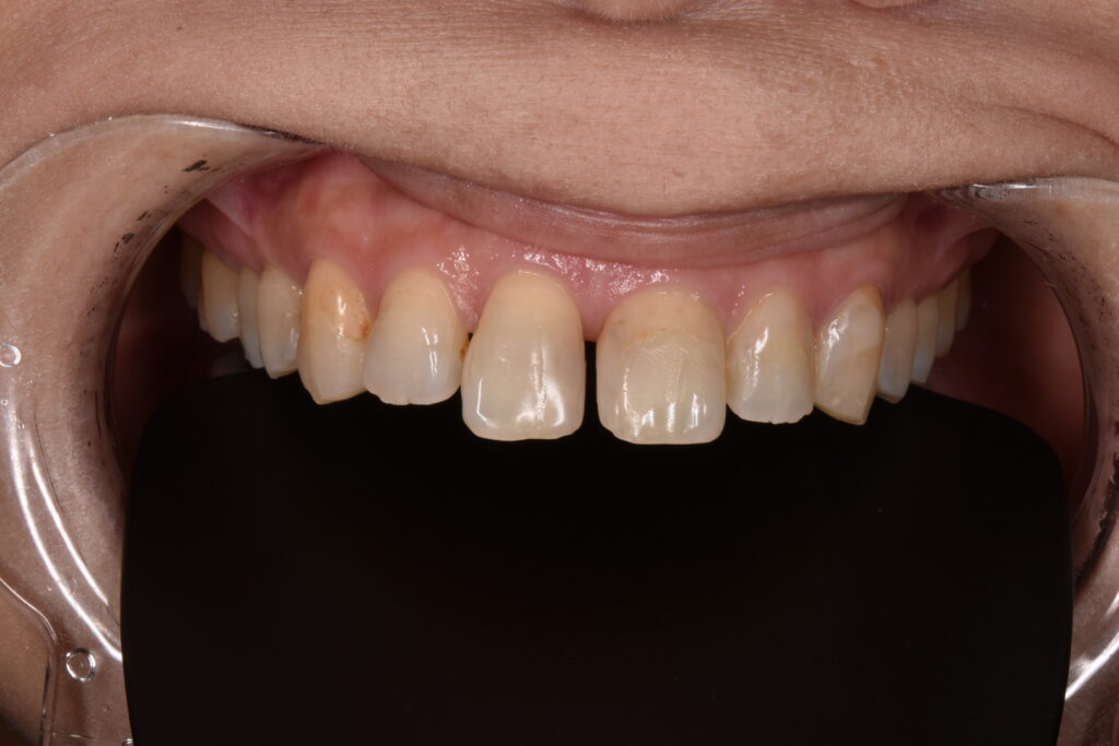
50代女性 前歯の隙間にコンプレックスがあって、いつも笑う時はその隙間を隠すように手で口元を隠していたとのこと。今回はその隙間をできるだけ矯正等で時間をかけるのではなく、その部分だけで改善したいとご希望されました。
治療前後の比較写真
ダイレクトボンディング2歯 審美的に天然歯にかなり近い感じで、違和感を出来るだけ出さない様にする歯科用レジンでの修復になります。色の選択だけでなく歯茎からの立ち上がりなどは1本ずつ異なるため歯にあった形を作り出していきます。元の歯の形が違う場合など左右対称にならない事があります。


治療計画の考え方
お客様のご希望に1番寄り添える形で以下のことを考えダイレクトボンディングを選択しました
お客様のご希望
- 矯正などの全体的な改善は望んでいない
- 前歯だけをセラミックの様に削る事は避けたい
- 出来るだけ歯を削りたくない
- 費用を抑えたい
- 治療期間を短くしたい
- 通院回数を最小限にしたい
すきっ歯の改善方法の中から選択
すきっ歯の改善にはセラミック・矯正・ラミネートベニア・ダイレクトボンディングがあります。この中で最も早くかつ低侵襲な治療がダイレクトボンディングです。基本的に歯を削らずに1日で治療が終了するため、通院回数も1−2回と極端に少なく済みます。このため今回のモニター様にはダイレクトボンディングが最も適したものとしてご提案させて頂きました。





通院回数・費用・デメリット
通院回数
2回
費用
ダイレクトボンディング1歯60,000円 税別 モニター様価格1歯55,000円税別
デメリット
着色・変色の可能性や破折・脱離の可能性はあります。
当院院長について

国立鹿児島大学歯学部首席卒業
名古屋大学医学部付属病院 歯科口腔外科と麻酔科ローテーション
精霊病院歯科口腔外科 勤務
湘南歯科クリニック 心斎橋・名古屋院
湘南歯科勤務医時代に個人でマイクロスコープ購入や審美眼を磨くため大学建築学科に入学するなど異彩の先生です。
お問い合わせ先
名古屋市瑞穂区瑞穂通5−1 3階 052-746-0313





