目次
モニター様ご紹介
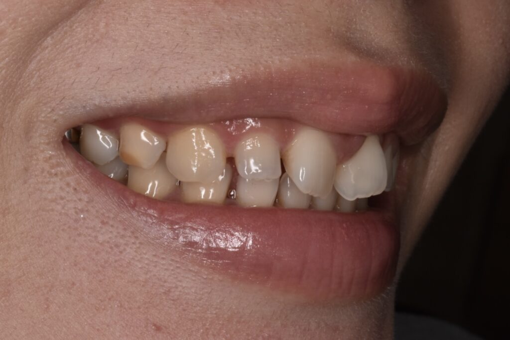
30代女性 前歯のすきっ歯でお悩みで、歯科医院をいくつか相談に回ったがどこも矯正を勧められて、費用や期間で悩んでいたところ、当院をSNSやホームページで知って下さり、ご相談くださいました。
治療前
全体的に歯が小さく 顎の大きさと歯の大きさが合っていません。このため、単純に矯正だけしても結局ラミネートベニアやダイレクトボンディングが必要になります。また歯ぐきが歯に被っているため、歯が小さくめいます。



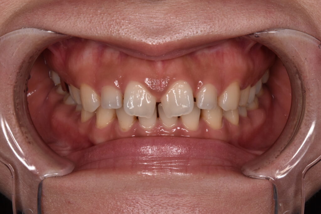
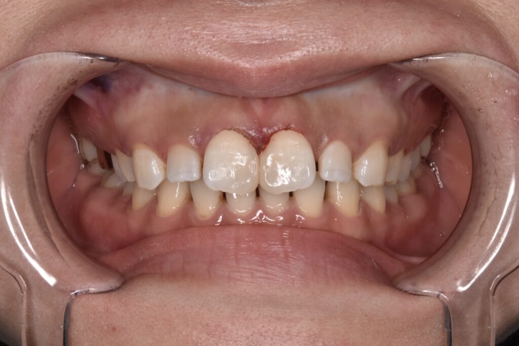
治療後
前の歯が小さく見えているためこのままダイレクトボンディングをすると、四角い歯になりますので、前歯2本の歯肉整形を併用しています。歯ぐきから出血しているのはこのためです



すきっ歯治療におけるダイレクトボンディングはカムフラージュ治療です。ご自身の歯の位置は変わっていませんのでやり方によっては歯が大き過ぎて見えることがあります。
治療ギャラリー
歯肉整形をして歯ぐきの中にあった歯の本来の大きさを出してからラバーダムをしています。歯の方に血液や唾液などの侵入を防ぎ歯の大きさを立つためです。6歯をラバーダムしているのは、前歯のバランスを見ながら歯は作っていくために前歯6本をゴムから出しています。


通院回数と費用
通院回数と期間
通院は2回です。①初診カウンセリグ ②治療当日
場合によって写真撮影等で後日ご来院をお願いする場合もあります。
治療期間は最短1日
費用(税別)
ダイレクトボンディング 1歯60,000円
ダイレクトボンディング用WAXUP模型作製 10,000円
麻酔代・ラバーダム費用 無料
メリットとデメリット
メリット
- 矯正治療に比べて安価で期間も短い
- 自分の歯の色に近い色味で再現できることが多い(*色が濃い場合やテトラサイクリン歯のような場合は再現が難しいです。)
- 1回の治療で終わる
- 自分の歯を削らない
- ダウンタイムがほとんどない
デメリット
- カムフラージュ治療です
- 歯が多少なりとも大きくなるため、発音やリップの感じ方など変化があります
- レジンの変色・劣化など起こります
- 除去するにはマイクロスコープが必要です
- 破折の可能性
当院へのお問い合わせ
名古屋市瑞穂区瑞穂通5−1 仁さくらクリニック3階 052-746-0313
院長紹介

歯科医師 井沢一樹
国立鹿児島大学歯学部首席卒業 公立春日井小牧看護専門学校卒業
国立名古屋大学医学部附属病院 歯科口腔外科 聖霊病院 歯科口腔外科 湘南歯科クリニック 心斎橋・名古屋院





