モニター様ご紹介
上の前歯と下の前歯の隙間が気になるので改善したいとご希望のお客様です。他院とも比較検討されているとのことでしたが、当院の方で治療をしてくださるとのことでモニターとしてご契約していただきました。
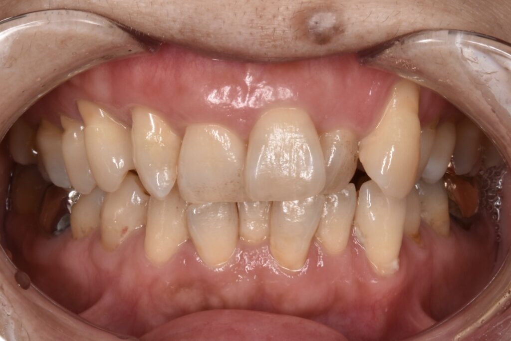
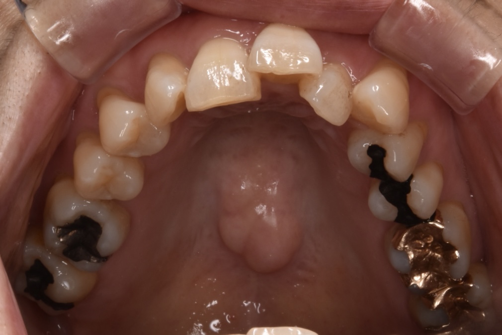
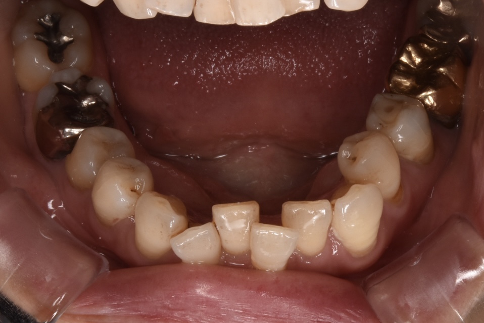
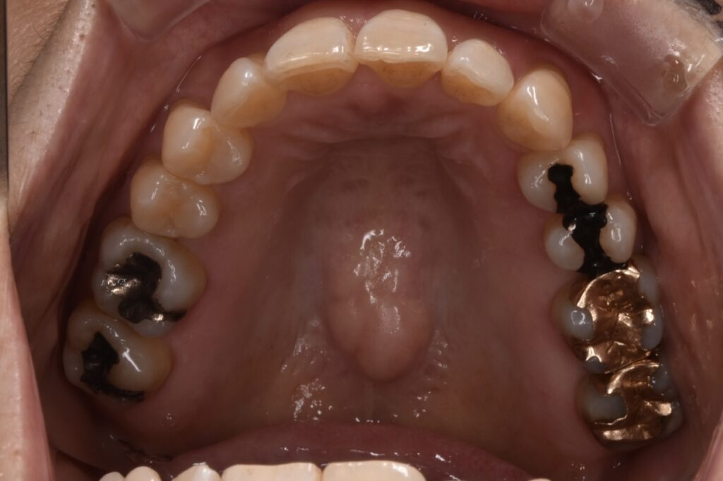
矯正前
前歯を中心に叢生(ガタガタ歯並び)がみられます。





矯正前の横顔や正面、咬合面の写真です。
マウスピース矯正(インビザラインコンプリヘンシブ 非抜歯)
マウスピースの枚数35枚(追加アライナー1回)アタッチメント脱離なし IPRあり
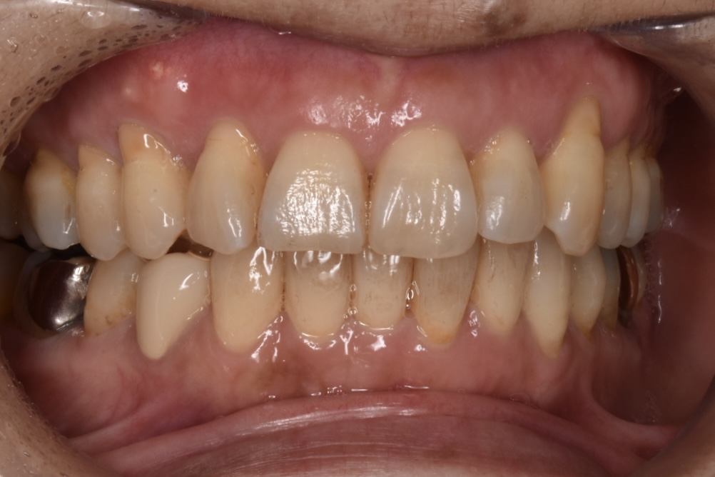
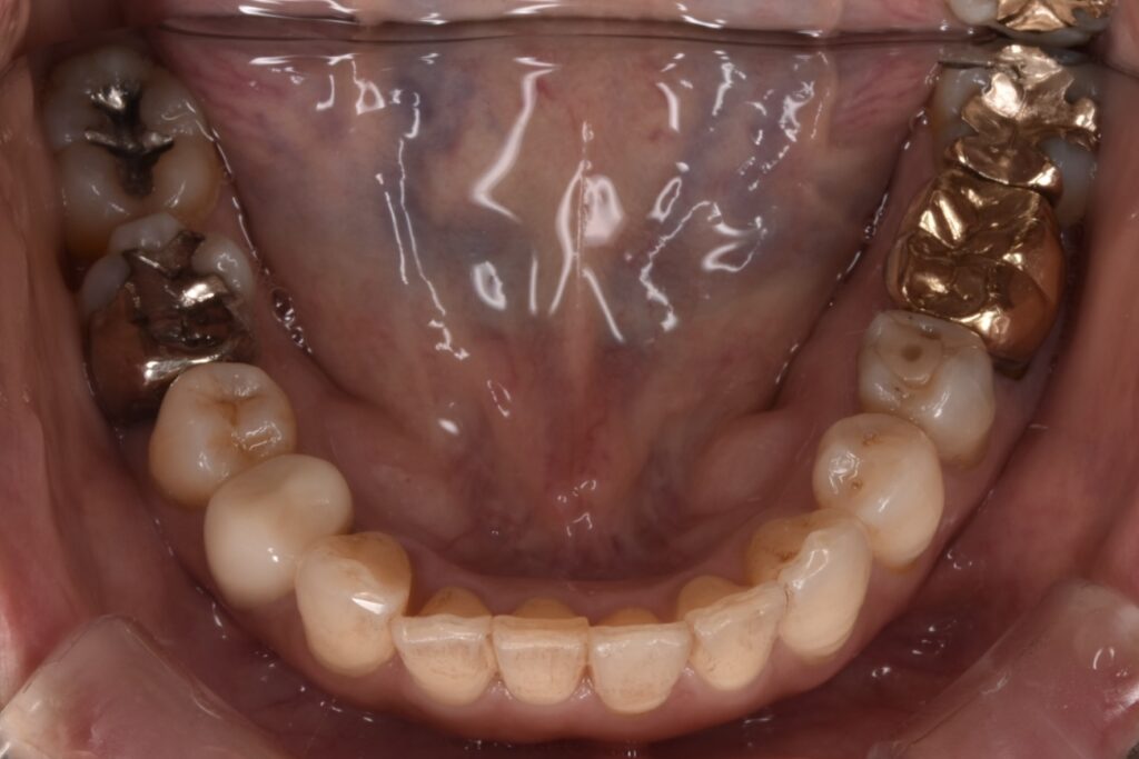
矯正後





矯正開始後約1年です。叢生も改善されて噛み合わせも問題ありません。50代や60代からでもしっかりしていけば矯正できます。歯肉退縮もほとんどありません。
費用と通院回数
インビザラインコンプリヘンシブパッケージで非抜歯矯正でご契約です。847,000円(モニター様価格税込)
通院費用1回5,500円(治療計画によって各自異なります。)非抜歯の場合基本的に1,5 〜3ヶ月に1回程度です。
マウスピースの装着時間1日22時間 1枚を10日に1回交換
デメリット
- イメージ通りの歯並びにならないことがあります。治療に限界があります。過度な要望にはお答えできないことがあります
- 歯並びの変化により噛み合わせ・発音などの変化がある場合があります。
- 後戻りのリスクがあります。
- 矯正中は口腔内が汚れやすくなります。これにより歯肉炎・虫歯等のリスクが上がります。
- 歯肉退縮・歯根吸収・歯髄壊死等の可能性があります。
- 部分的に隙間が残ることがあります。
- 医師により治療結果に差が出ます。クリンチェック(治療計画)は誰がやっても同じではありません。
当院へのお問い合わせ
名古屋市瑞穂区瑞穂通5−1 仁さくらクリニックビル3階 052-746-0313
院長紹介

歯科医師 井沢一樹
国立鹿児島大学歯学部首席卒業
国立名古屋大学医学部附属病院歯科口腔外科 聖霊病院歯科口腔外科 湘南歯科クリニック心斎橋院 名古屋院勤務を経てひめみやさくら歯科矯正歯科開院
看護師と歯科医師のダブルライセンス 静脈内鎮静の経験も多数あり セラミック矯正のやり直しやマウスピース矯正、審美義歯、インプラントなど幅広く得意としています。




