目次
モニター様ご紹介
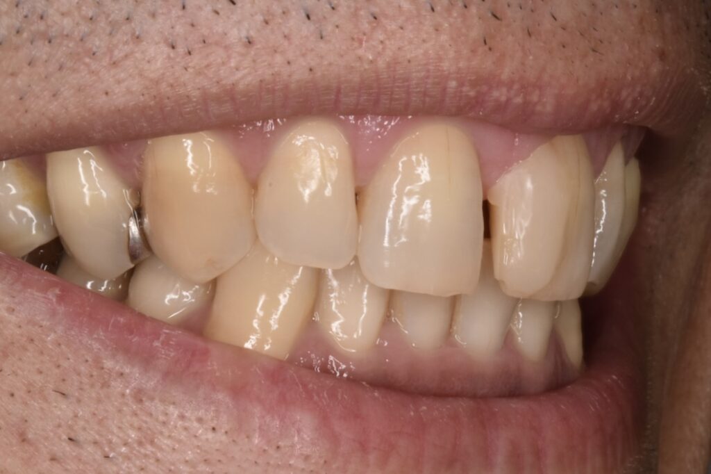
50代男性です。当院にご相談してくださる前に他院で前歯2本のダイレクトボンディング?を受けられたそうです。前歯2本の隙間は確かに白いレジンで埋められていましたが、本当に盛って作っただけのもので、違和感がかなり強かったそうです。
施術前
当院でタイレクトボンディング2歯のやりかえをご希望されて、2本でご契約してくださいました。他院のレジンは前日に取れたそうです。



施術中
ダイレクトボンディングの治療は必ずラバーダム防湿を行います。局所麻酔をして行うため痛みはありません。



*他院で行われたダイレクトボンディングの除去はかなり大変です。除去費用として1歯税別5000円頂いております。歯を削らずマイクロスコープを使用して丁寧に除去するためです。
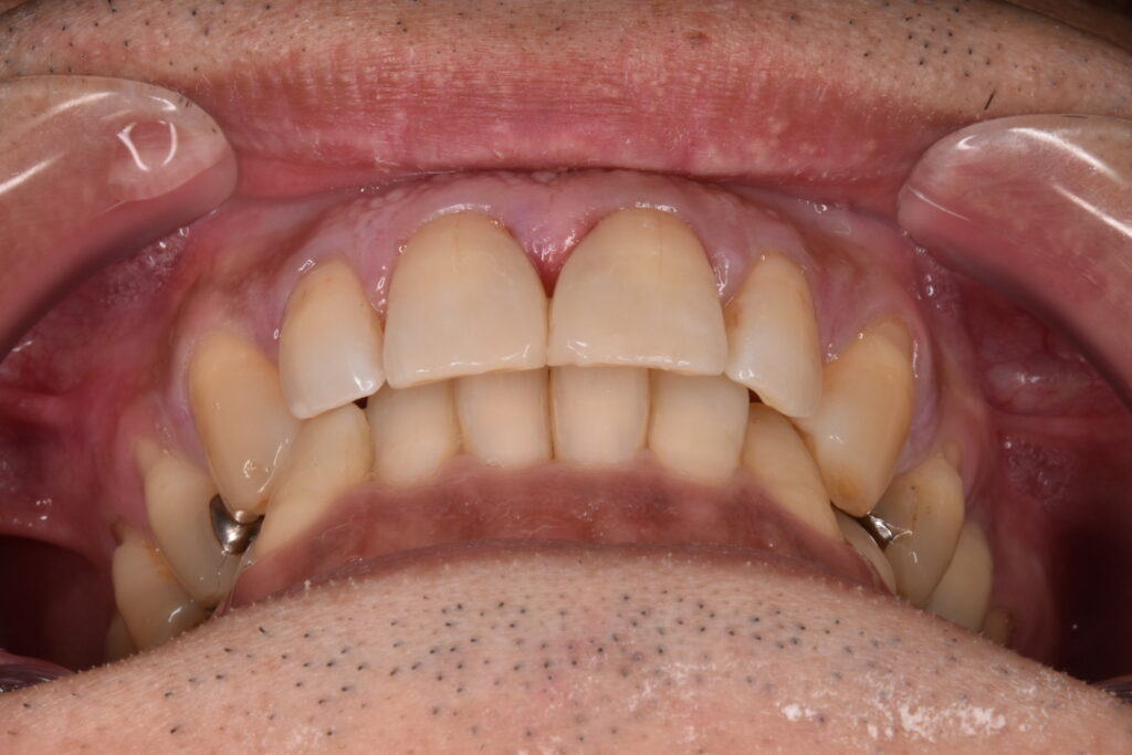
治療後
約2時間後です。





治療前とは比べ物にならないほど自然だと大変喜んでくだいました。歯のもっこり感もなくちゃんとフロスも通ります。
ダイレクトボンディングの費用通院回数
治療費用は1歯60,000円です。モニター様価格55,000税別です。全て税別。*ワックスアップモデル作製に1万円頂いています。
通院回数は2回が基本です。
①初診
②ダイレクトボンディング治療
ダイレクトボンディングのメリット・デメリット
メリット
- 天然歯に近い感じの色味で修復可能
- 自分の歯を削らない
- 矯正などに比べて安価
- 矯正などに比べて短期間で終了する
- 歯を削っていないので元のように戻せる
デメリット
- 歯科医師のセンス・経験・愛によって結果が大きく変わる
- 健康保険対象外治療のため歯科医院によって値段は様々
- 経年劣化する可能性 着色リスクあり
- 破折・脱離の可能性
- 発音の変化・違和感の可能性
当院へのお問い合わせ・ご予約
名古屋市瑞穂区瑞穂通5−1 仁さくらクリニックビル3階 052-746-0313
木曜日・日曜日・祝日休診です。10−19時の診療時間で途中休憩はありません。
院長紹介

歯科医師 井沢一樹
歯科医師・看護師のダブルライセンス
国立鹿児島大学歯学部首席卒業
公立春日井小牧看護専門学校卒業
看護師を経て歯科医師になった異色の経歴です。





