目次
モニター様ご紹介
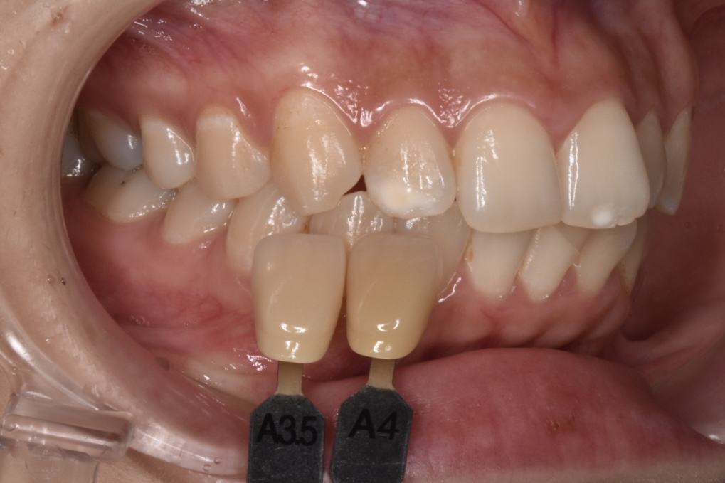
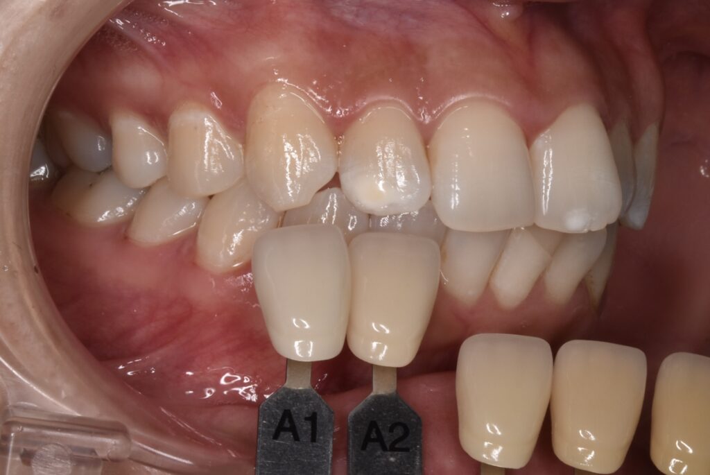
20代女性 ホワイトスポット治療前に行って頂いたホームホワイトニングの記録です。オパールエッセンスGoというホワイトングキットをご使用して頂きました。
ホームホワイトニング前後 犬歯で比較
犬歯は歯の質が厚く効果が見えにくい部位ですが、全体的にトーンが明るくなっているのがわかります。
*ホワイトスポットはアイコン治療するまで一過性に目立ちます。


ホームホワイトニングのおすすめ
ホームホワイトニングは歯科医院で行うオフィスホワイトニングとは違いご自宅で行うものです。時間も1回90分から120分とやや長めです。ですので、わざわざホームホワイトニングのために時間を作るのは効率的ではありません。当院のおすすめは日常生活の中の時間を使って、日常に組み込むことで無理なく、めんどくさく無くできるようにお勧めしています。
当院のお勧め使用方法
ホームホワイトニングをお使いの際は、晩御飯の後がお勧めです。よく院長がお伝えしているのは以下の通りです。
- ①晩御飯食べる
- ②晩御飯の後歯磨きをしてください
- ③ホームホワイトニングのトレーをお口に入れてフィットさせます
- ④お片付けやお家のことや入浴、あるいはテレビや読書、勉強など好きなことしてください
- ⑤90分ほど経ったら、トレーを外してブラッシングして、余剰な薬剤を落としてください その後はできればお水くらいの方が良いです。
上記のように「〇〇しながら」で良いので、継続して行えるようにしていただくと良いと思います。上記は一例なので個々のライフスタイルに合わせて使用してください。
当院へのお問い合わせ
名古屋市瑞穂区瑞穂通5−1 仁さくらクリニックビル3階 052-746-0313
院長紹介

歯科医師 井沢一樹
国立鹿児島大学歯学部首席卒業
公立春日井小牧看護専門学校 卒業
歯科医師と看護師のダブルライセンスドクター
経歴
国立名古屋大学医学部附属病院 歯科口腔外科
聖霊病院 歯科口腔外科
湘南歯科クリニック心斎橋院 名古屋院
所属学会・研究会等
日本口腔外科学会 日本口腔インプラント学会 大阪インプラント研究会
PBL(マウスピース矯正と主体とした研究勉強会)





