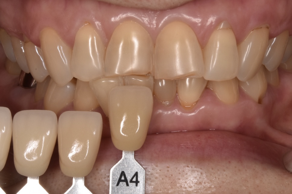
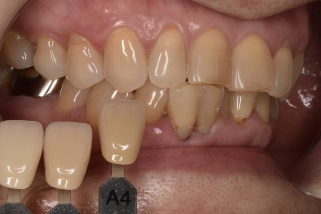
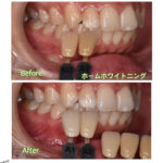
ホワイトニング前
全体的に色が濃い目でA4くらいです。


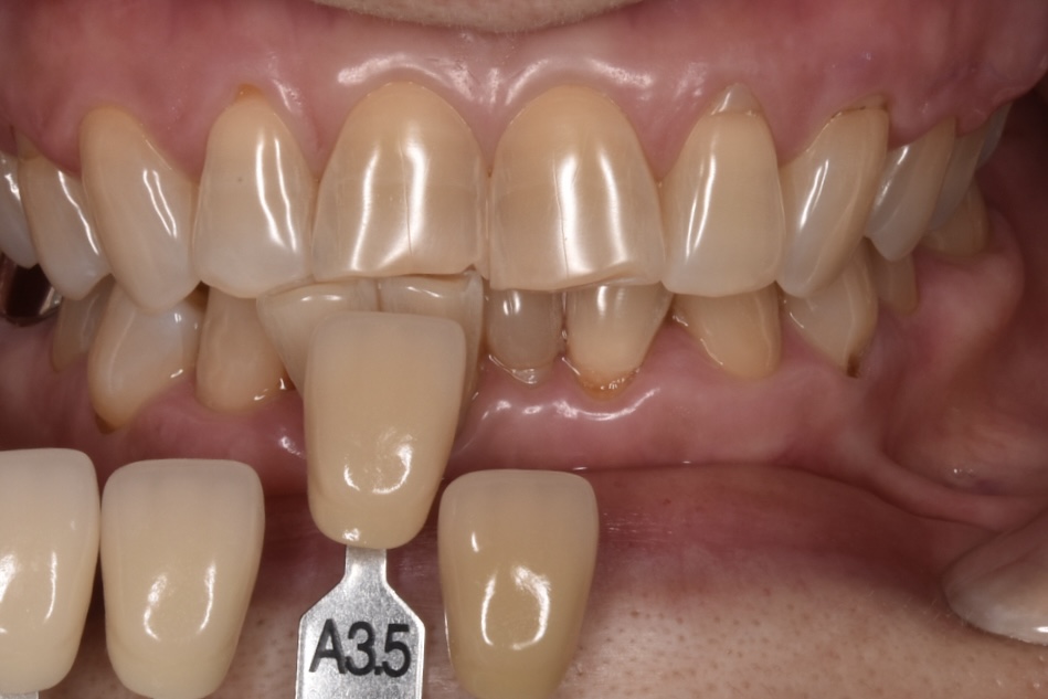
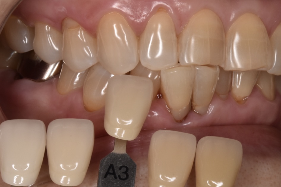
ホワイトニング後
オフィスホワイトニングプレミアム1回後のお写真です。
A4くらいだった歯の色味がA3.5〜A3位にトーンアップしています。


ホワイトニング費用
オフィスホワイトニング プレミアム 1回25,000円税別
歯科医師あるいは歯科衛生士が施術します。
デメリット
知覚過敏様の症状が出ることがあります。後戻りすることがあります。
当院へのお問い合わせ
名古屋市瑞穂区瑞穂通5−1 3階 052-746-0313
全体的に色が濃い目でA4くらいです。


オフィスホワイトニングプレミアム1回後のお写真です。
A4くらいだった歯の色味がA3.5〜A3位にトーンアップしています。


オフィスホワイトニング プレミアム 1回25,000円税別
歯科医師あるいは歯科衛生士が施術します。
知覚過敏様の症状が出ることがあります。後戻りすることがあります。
名古屋市瑞穂区瑞穂通5−1 3階 052-746-0313
CLINIC
〒467-0806
愛知県名古屋市瑞穂区瑞穂通5-1
仁さくらクリニックビル3階
| 治療時間 | 月 | 火 | 水 | 木 | 金 | 土 | 日 | 祝 | |
| 10:00-19:00 | ● | ● | ● | × | ● | ● | × | × | |
※10:00-19:00の間休憩なし ※休み:木/日/祝