目次
白い斑点の正体
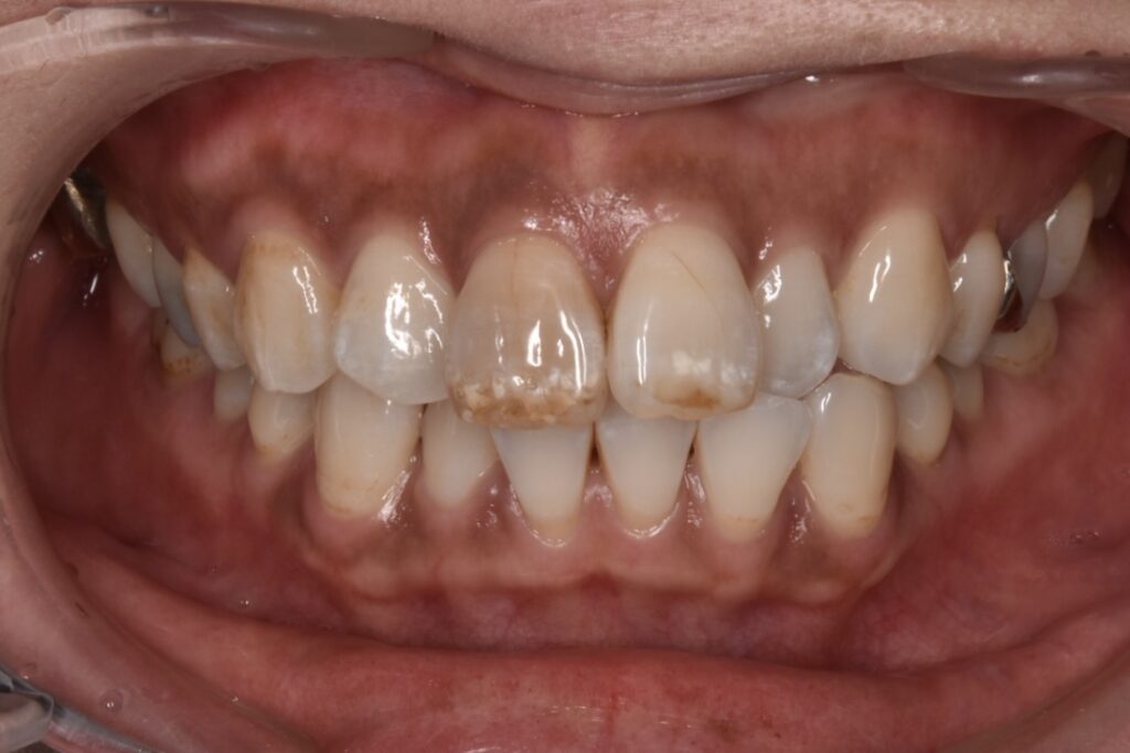
前歯にある白い斑点はホワイトスポットと呼ばれるものです。

なぜホワイトスポットになる?
ホワイトスポットになる原因は以下ことが知られています。
- 初期の虫歯 後天性になったものです
- エナメル質の形成不全 乳幼児期に転んだ外傷性や乳歯の虫歯、そのた環境容認等により、エナメル質形成時においてちゃんとエナメル結晶が出来ず、部分的に結晶構造が粗な状態になっています。有機成分が多く光が透過せず乱反射して白く見えます。
ホワイトスポットの改善方法は大きく2つ
歯を削らないで治療する方法 「アイコン」

歯を削らずに治療できる現在唯一のものです。歯科用の特殊レジンをホワイトスポット部分に浸透させることにより、目立たなく改善を図るものです。
歯を削って修復する 「ダイレクトボンディング」「ラミネートベニア」「セラミック」
ラミネートベニアは削る・削らない両方できますが、ホワイトスポット改善には基本削った方が良いです。
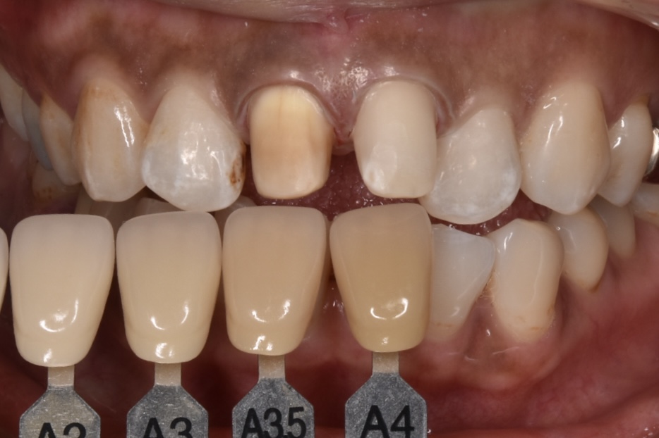
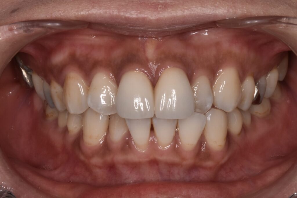
以下のモニターの方は左の前歯が変色しているため、この改善のご希望もあり前歯2本のセラミック修復(匠ジルコニアセラミックプラン:神経温存)しています。



当院では年間延べ100人以上の方がご来院されます
当院では開業以来このホワイトスポット改善に力を入れています。年間を通して多くの方が改善を求めて県外(三重県・岐阜県・石川県・長野県・静岡県など)よりご来院されることはしばしばです。多い月には10人ほど相談や治療にご来院されています。
当院について

名古屋市瑞穂区瑞穂通5−1 仁さくらクリニックビル3階 *2階は内科です。
052-746-0313
院長紹介

国立鹿児島大学歯学部 首席卒業
公立春日井小牧看護専門学校卒業
日本口腔外科学会・インプラント学会所属
名古屋大学医学部附属病院歯科口腔外科 聖霊病院歯科口腔外科 湘南歯科クリニック心斎橋・名古屋院を経て
ひめみやさくら矯正歯科 開院





