目次
モニター様ご紹介
20代男性 前歯のホワイトスポットのご相談でご来院してくださいました。全体的に歯の白濁が認められますが、ご本人様のご希望でまずは前歯3本のホワイトスポットの改善をさせて頂いております。
*ホワイトスポット治療に先立ち当院指定のホームホワイトニングをご自宅で10回していただいております。
ホワイトスポット治療に欠かせないアイコン(Icon)とホームホワイトニングキット
アイコンと呼ばれる歯科用特殊レジンがホワイトスポットの改善に用いられる薬剤の名称です。こちらはDMG社が開発しヨシダから販売されているものです。
ホワイトニング剤はこちらのオパールエッセンスGoがホワイトスポットやブラウンスポットとアイコンでの治療との相性が非常に良いため当院ではこちらの事前使用をとても強く推奨しています。


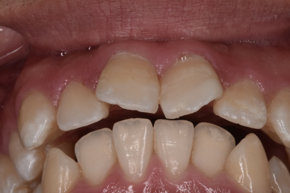
アイコン治療前
今回の治療対象歯は右側上顎側切歯と正中の両切歯です。計3歯の改善をしていきます。



アイコン治療後
左の切歯は切縁部分(歯の先端部分)の白い部分が濃く浮き出たように白かったですがかなり改善出来たと思います。また、右の前歯のブラウンスポットも綺麗に改善出来ています。*ブラウンスポットはアイコン治療だけでは改善出来ません。事前のホームホワイトニングが必須になります。


通院回数と費用
通院回数
①初診カウンセリング
②アイコン治療
費用(税別)
ホームホワイトニング10回 25,000円
アイコン1歯36,000円(モニター価格)
*価格は全て税別です。また2025/10/19現在のものです。価格は今後予告なく改定されることがあります。
アイコン治療にかかるデメリット
- アイコン治療後はオフィスホワイトニングの効果が減弱する可能性があると言われています。
- 着色・後戻りの可能性があります。
- アイコンの効果は個人差・個歯差があります。
- 保険診療外治療ですので価格はクリニックによって変わります。
当院へのお問い合わせ
名古屋市瑞穂区瑞穂通5−1 仁さくらクリニックビル3階

歯科医師 井沢一樹
歯科医師と看護師のダブルライセンス
国立鹿児島大学歯学部首席卒業
公立春日井小牧看護専門学校卒業





