モニター様ご紹介
30代女性 昔から前歯の茶色いシミと白く白濁した部分の改善をしたいと思われていて、SNSやホームページをご覧いただき当院にご相談下さいました。ホワイトスポット治療の前に当院指定のホームホワイトニングを10回して頂いております。
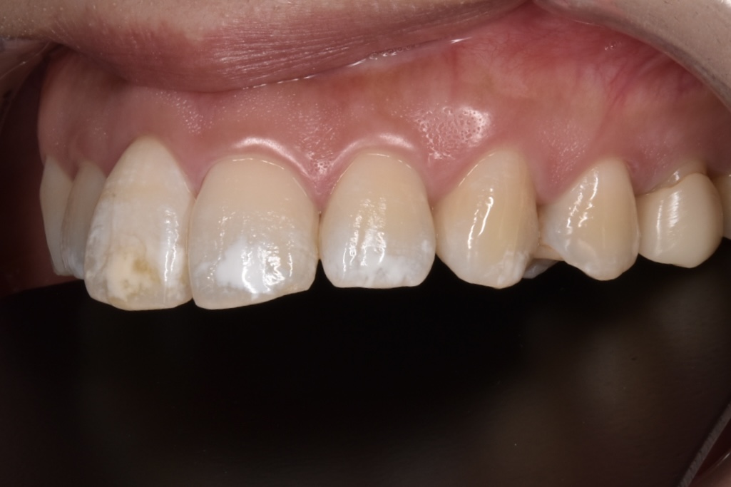
アイコン治療前
前歯2本以外にもホワイトスポットがありますが今回はこちらの改善は無く、前歯(切歯あるいは門歯と呼ばれることもあります)のみのご希望です。



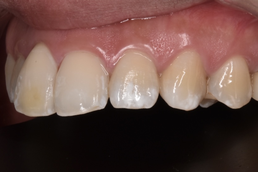
アイコン治療後
治療直後のため一部歯が白くなっていますが、乾燥で出てきた白い部分は唾液と馴染んでまた目立たなくなります。
*茶色の下に黄色い部分がありました、現状このイエロースポットの改善が難しい状態です。ご理解頂きます様お願い申し上げます。



通院回数と費用
通院回数
通院は2回で終了です。1回目は初診でご相談いただき、ホームホワイトニングをして頂きました。2回目約2週間後アイコンでホワイトスポット治療のためご来院です。
費用(いずれも税別表記)
ホームホワイトニングキット 10回分が1セット 25,000円
アイコン1歯40,000円 (モニター様価格36,000円/歯)
当院へのご相談
名古屋市瑞穂区瑞穂通5−1 仁さくらクリニックビル3階 (アクセスページに飛びます)
052-746-0313
院長紹介

国立鹿児島大学歯学部首席卒業
公立春日井小牧看護専門学校卒業
口腔外科学会 日本口腔インプラント学会所属





