目次
モニター様ご紹介
40代女性 前歯2本にホワイトスポットとブラウンスポットがあり、幼少期よりずっと悩んでいたとの事。相談にご来院された時は妊娠期間中でしたので出産後からホームホワイトニングを10回して頂きました。*妊娠期間中はホワイトスポットの治療は緊急度が低いため行なっていません。ご了承ください。また授乳中は問題なくホワイトニングやアイコン治療可能と思われますが、気になる方は使用をお控えください。
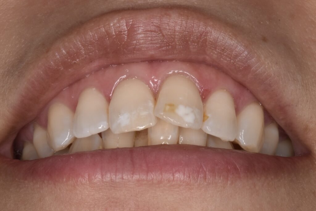
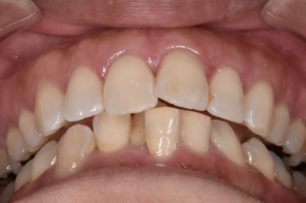
アイコン治療前
右の前歯にはホワイトスポット、左の前歯にはホワイトスポットとブラウンスポットがあります。ブラウンの中には微かにイエローが混じっているためホワイトニングをする必要があります。



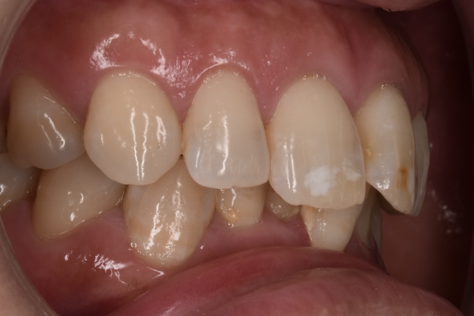
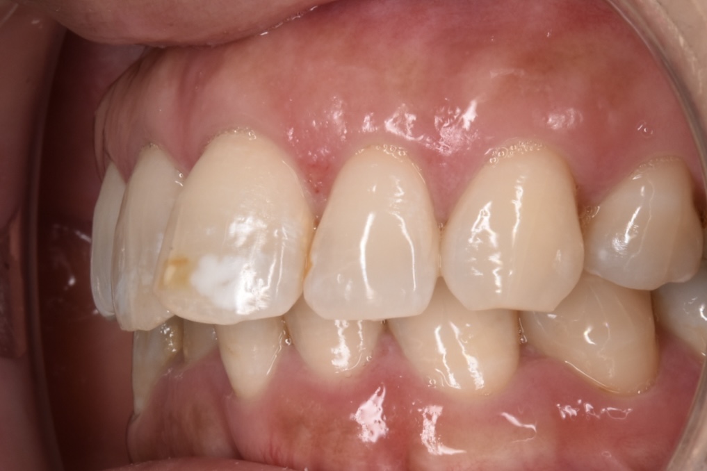
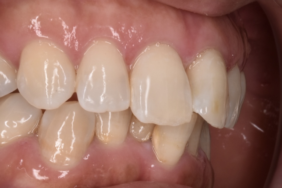
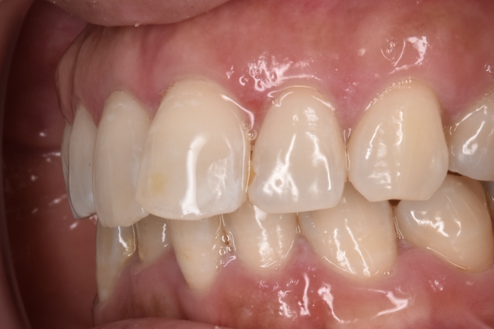
アイコン治療後
左の前歯のブラウンスポットの下にあるイエローが少し残っていますがその他のホワイトやブラウンはかなり改善できています。



アイコン治療の費用、通院回数、デメリット
費用税別表記
アイコン治療1歯 40,000円
ホームホワイトニング10回セット 25,000円
通院回数
基本的な通院回数は2回です。①初診カウンセリング ②治療
デメリット
アイコン治療後の歯はオフィスホワイトニングの効果が減弱する可能性があります。着色・変色するリスクがあります。効果には個人差・個歯差があります。
*30代後半から40代以降はエナメルが成熟してきます。初回のアイコン治療の効果が得られにく場合複数回の治療が必要になることがあります。
*他院様でアイコン治療後効果が無かった場合や逆に濃くなってしまった場合などのご相談も承ります。再治療は難易度が上がる傾向になります。是非当院でご相談くださいませ。
当院へのお問い合わせ
名古屋市瑞穂区瑞穂通5−1 仁さくらクリニックビル3階 052-746-0313
アイコン治療と相性の良いホームホワイトニング剤
当院ではアイコン治療前に多くの方がホームホワイトニングをされます。歯を白くする効果も勿論ありますが、目的はアイコン治療の効果を高めるためです。他にもホワイトニング剤は巷にたくさんありますが、こちらの使用を強く推奨いたします。

オパールエッセンスGo ホームホワイトニングキットです。トレイが個包装されている為、衛生的です。方取り不要です。
冷蔵庫で保管してください。
1回/日 90分の使用です。それ以上の使用はお控え下さい。
知覚過敏様の症状が出ることがあります。
税別25,000円です。





