モニター様ご紹介
50代男性、1年半前に関東の歯科医院で保険診療で差し歯をやりかえされたそうです。今回その差し歯が取れたとのことで当院にご相談くださいました。診察の結果、土台となるファイバーコアがご自身の歯ごと根本から折れていて、顎の骨ギリギリのところでした。ご本人様とも相談し、今回は自由診療の治療で自分の歯をできるだけ残し、使っていく方針で固まりました。
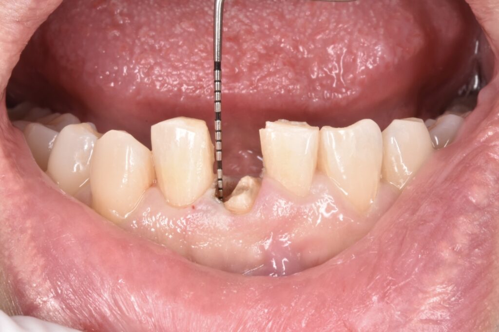
折れてしまった前歯

右下の前歯が差し歯でした。根本から折れていて一部が歯ぐきの中3ミリ近くに達しています。この破折縁から骨までは1ミリもなくこのままセラミックを被せても予後が悪いと説明させて頂きました。
歯根は無事でしたので歯根を上に引っ張り上げて使えるようにします。
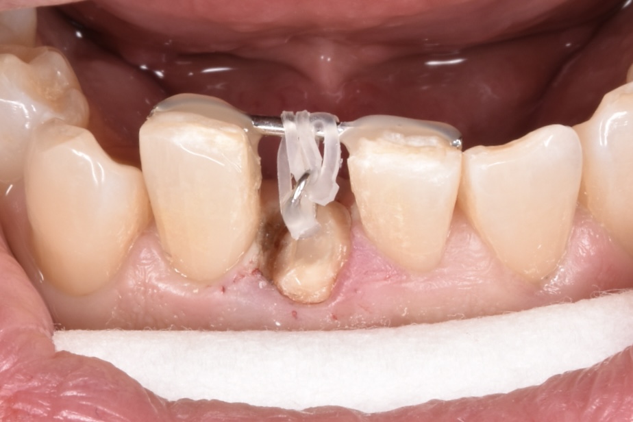
意図的挺出(ていしゅつ)とは
歯が折れてしまった場合、差し歯が取れたあるいは折れた場合に選択される治療法です。歯ぐきや骨の中に残っている自分の歯根を歯茎よりも上に引っ張り出してくる方法になります。

左右両隣は歯に1ミリの鋼線を使用して矯正用のゴムで折れてしまった歯を牽引しているところです。

仮の歯を貼り付けて初回の治療は終了です。

裏側はこんな感じです。舌感は悪いですが、しばしの辛抱です。汚れが溜まりやすいので衛生面には注意が必要なのと、仮歯は張り付いているだけなので、とても取れやすいです。
“差し歯が取れた“は要注意
差し歯は歯の神経を抜いてその空洞の内部に金属やグラスファイバー製のコアと呼ばれる心棒を入れて被せ物を支える土台を作っています。一般的に「差し歯が取れた」という場合、多くの場合が歯ごと折れてしまい取れている状態なことが多いです。取れてしまったものが単純に戻せることはかなり少ないです。基本的にはやり変えできればラッキーで、割れている部位によっては一発抜歯のことも少なくありません。
こちらの写真は奥歯ですが、被せ物がとれ、抜歯に至ったケースです。特に奥歯では歯の根本深くから割れて取れることが多く、状況的にかなり悪いケースがあり、初診の方に「初めまして、この歯は抜歯です」と宣告せざるを得ないこともしばしばあります。


歯を残したいとご検討中の方はこちらから
名古屋市瑞穂区瑞穂通5−1 仁さくらクリニックビル3階
052-746-0313
*メールでのご相談は24時間できます。手術中や夜間などは返信が遅れます。ご了承くださいませ。
99.5%院長が返信しています。





