モニター様ご紹介
10代男子 物心ついた時からずっと気になっていた前歯の白いしみ(ホワイトスポット)の改善をはを削らずに行いたいと当院にご相談くださいました。
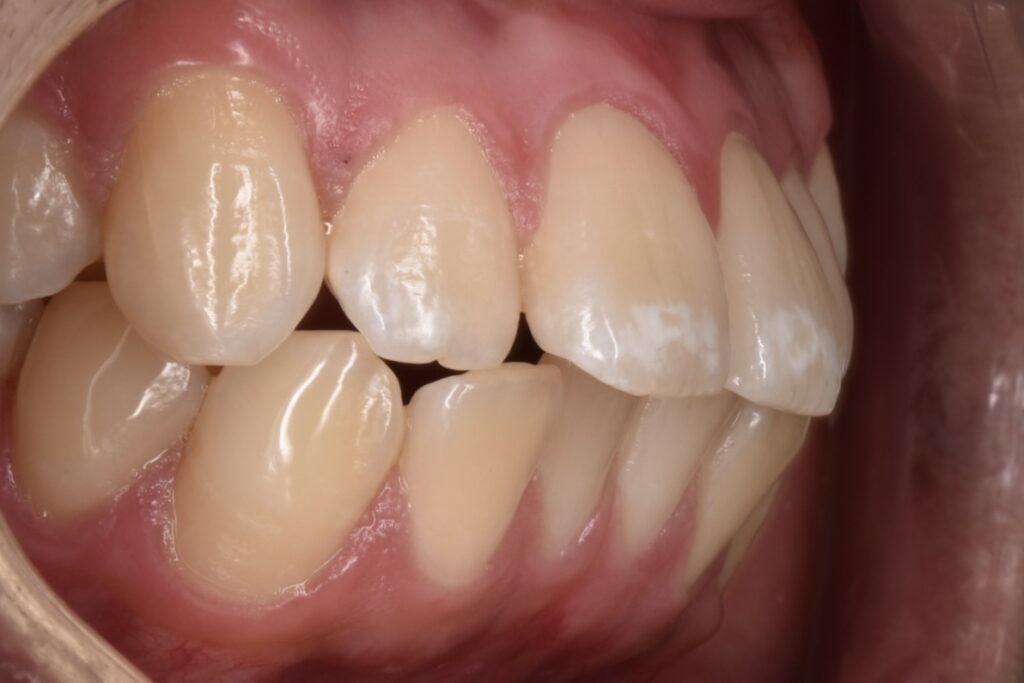
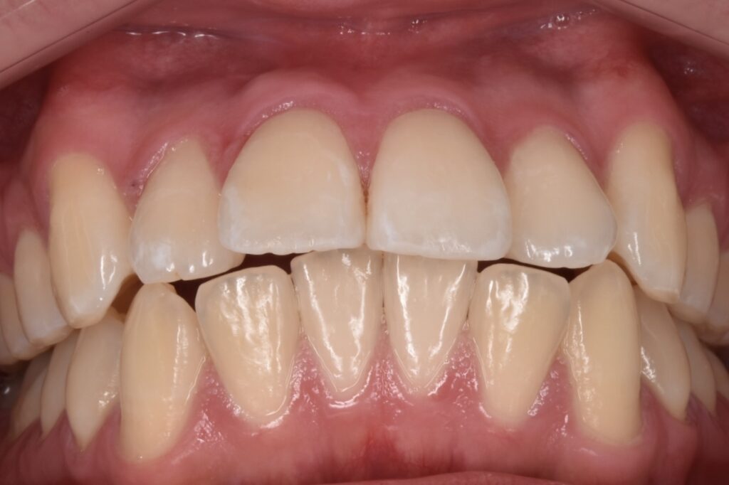
治療前
前歯2本の下半分くらいにホワイトスポットが認められます。白く濃いものが目立っています。*事前にホームホワイトニングを10回していただいております。このためホワイトスポットがくっきり目立っています。



治療後
治療直後のため歯が乾燥しています。



動画でのホワイトスポット改善症例はこちらから
様々な症例が動画でご覧いただけます。
費用とデメリットと通院回数
費用
アイコン1歯40,000円税別 モニター様価格あり *価格は2025年11月27日現在のものです。価格は予告なく変更されつことがあります。予めご了承くださいませ。
デメリット
着色・変色リスクがあります。オフィスホワイトニングの効果が減弱する可能性があります。個人差・個歯差があります。複数回の治療が必要になることがあります。2回目以降は半額で治療可能です。(*初回治療後6ヶ月以内に限ります。)
通院回数
治療にかかる回数は基本的に1回です。初回カウンセリング時を含めて2回がスタンダードです。
当院へのお問い合わせ

名古屋市瑞穂区瑞穂通5−1 仁さくらクリニックビル3階
052-746-0313
歯科医師 井沢一樹







