前回までのお話はこちらから
モニター様ご紹介
20代女性 大阪の大手有名審美歯科で前歯6本のセラミック矯正治療を何年か前に受けた。そのセラミックの歯が割れて取れているのでやり直し治療を受けたいとご相談くださいました。
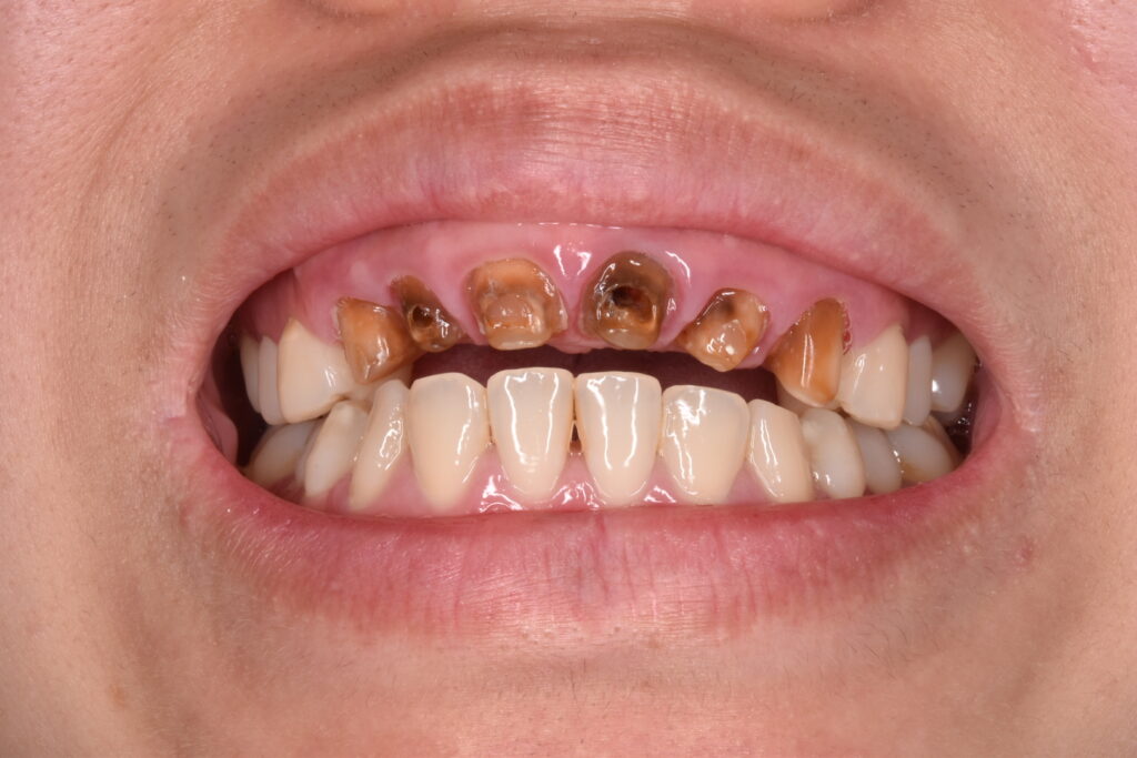
治療前
前歯6本のセラミックは6連結で作成されていました。その連結セラミックは真ん中で割れていて、脱離している状態でした治療をされた前歯は茶色く変色しており土台はかなり小さく削られている状態でした。


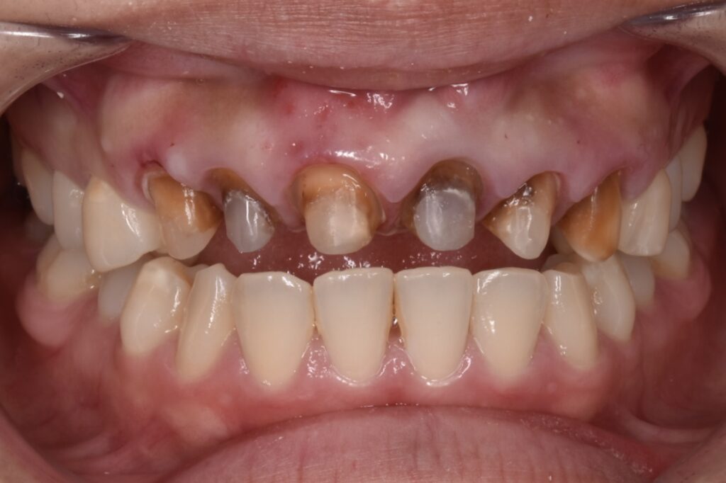
治療途中 土台の治療終了時
歯の神経治療が未完了でしたので、歯の再神経治療からさせて頂きました。土台も噛み合わせを考えながら、少しでも大きく回復できればそれだけで維持力が増しますので出来るだけ大きく再度建て替えと補強させて頂きました。


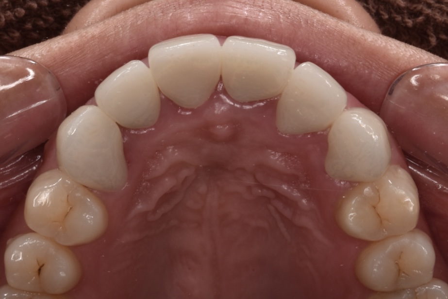
治療後
前歯6本のセラミックは全て独立した単独クラウンです。さくらセラミックプランでのご契約です。歯の色味は以前のは白すぎたため、逆にコンプレックスになっていたとのことでしたので、天然の歯に近いお色味を選択されています。



裏側を見れば単独であることがわかります。
さくらセラミックプラン1歯140,000円税別 モニター様価格あります。
治療のデメリット
- セラミックの脱離・破折等起こす可能性があります
- 噛み合わせの変化・違和感等の可能性があります
- 歯周組織の炎症を起こす可能性があります
- 歯の状態により治療計画の修正・変更を余儀なくされる場合があります
- 自由診療になりますので、価格は医院によって異なります、保険のように全国一律ではございません。
セラミック修正治療はかなり難しい
- セラミック修正治療で神経治療の再治療が必要な場合、土台となる歯のダメージが蓄積されていて歯を残せない可能性がある
- 今までの10年とこれからの10年は同じでなく、長持ちさせるには、より精度が求められる
- 古い被せ物を外すまで内部の状態がわからないことが多い
- 大きく削られていると、元に戻せない
- 噛み合わせも崩れているとこがあり、そこに合わせて作ることや、噛み合わせを作り変える必要性が出てくる
- インプラントや入れ歯など他の治療が必要になる場合があり、治療計画の変更をせざるを得ないことがある
- 上記のように修正術は未知数なところがあるため、様々なことを想定しながら治療計画の立案が必要になります。またその場での修正も必要になることがあり、治療の引き出しがないと対応できない場合もある
当院について

名古屋市瑞穂区瑞穂通5−1 3階
052−746−0313
院長について

国立鹿児島大学歯学部 首席卒業
名古屋大学医学部附属病院
聖霊病院
湘南歯科クリニック
ひめみやさくら歯科矯正歯科開院



