モニター様紹介
50代女性 名古屋市外よりご来院 長年通っていた地元の歯医者さんに通っても通っても、綺麗ななるどころか話が進まず不信感が募り、思い切って地元を離れ、ホームページやSNSをきっかけに当院に相談に来てくださいました。
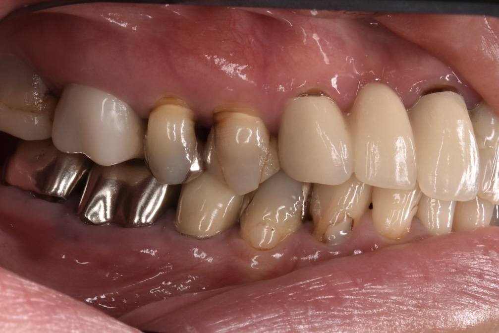
初診時の状態
各歯が自費の被せ物や保険の治療痕など歯ごとにバラバラな状態で、どれも状態が良いとは言えないものばかりでした。見た目の回復も必要ですがそれ以前に再神経処置・虫歯再治療・抜歯、噛み合わせの回復など多岐にわたる治療が必要な状態でした。




レントゲンを撮ることで、見えない部分の歯の内部や顎の骨の状態が観察できます。
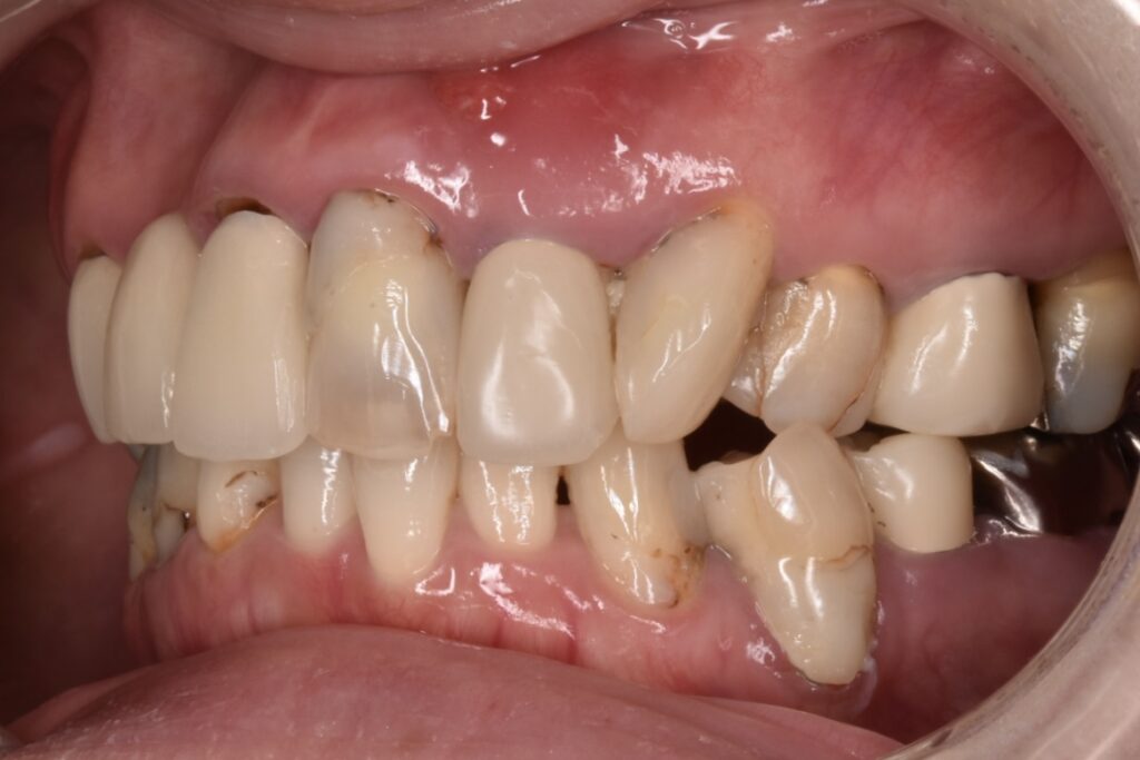
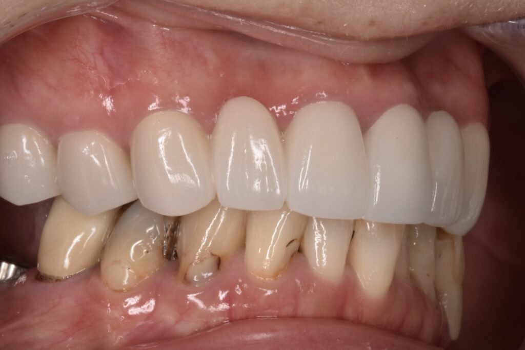
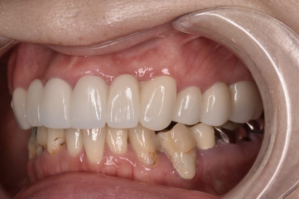
今回は上をメインに治療し下の歯は順次治療していきます。(そのようにご希望です)
上顎セラミック治療後
上の両奥歯3本ずつはさくらセラミックプラン 前歯6本匠セラミックプランで治療させて頂きました。




セラミック本留前の仮歯でのレントゲン写真です。下の歯は破折があり抜歯してインプラントをしています。
通院回数と費用(税別)
通院回数
上顎にかかった通院回数は6回ほど 期間はやく5ヶ月(抜歯をしている歯があるためその周囲が治るまで約3ヶ月の待機期間があります)
費用(税別)
さくらセラミックプラン1歯140,000円 匠セラミックプラン1歯200,000円 仮歯費用1歯5,000円など 総額220万円ほど
治療のデメリット
セラミックの脱離・破折等の可能性、噛み合わせの変化・違和感などの可能性、歯周組織の炎症など可能性があります。
当院につてい

名古屋市瑞穂区瑞穂通5ー1 3階
052-746-0313
院長について
セラミックの他院修正・前医の修正や再治療など3,000ケース以上の実績、勤務医時代よりお客様のために自分でマイクリスコープを購入し診療に使用、常時拡大鏡を最低でも用いて精密な治療を心がけています。また丁寧に説明する時間を設けお客様の現状をまずは理解して頂き、治療の必要性等をしっかりご理解いただいてから治療をさせて頂きます。

国立鹿児島大学歯学部首席卒業
名古屋大学医学部附属病院歯科口腔外科
聖霊病院歯科口腔外科
湘南歯科クリニック
ひめみやさくら歯科矯正歯科開院





