モニター様ご紹介
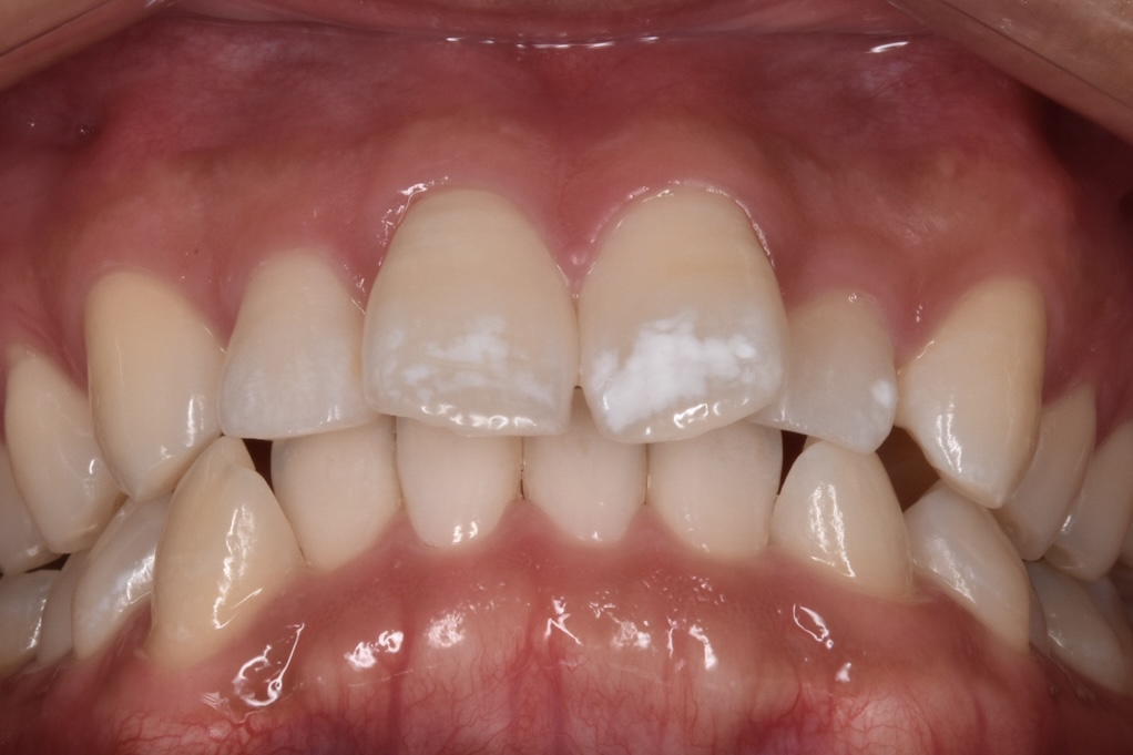
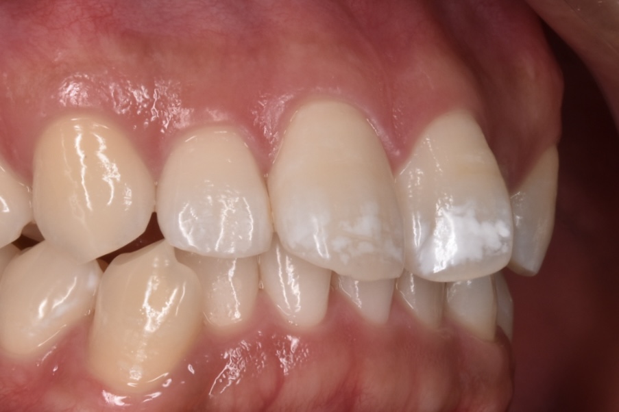
20代男性 前歯の白いシミのような部分を改善したいとご相談くださいました。 ご自身の結婚式前ということもあり、ホームホワイトニングからスタートさせて頂きました。前歯2本特に左側のはの項が白いエリアが大きく輪郭がくっきりしたホワイトスポットです。
治療前の写真
前歯3本にホワイトスポットが認められますが、改善の希望は前歯の2本です。


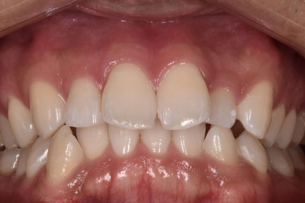
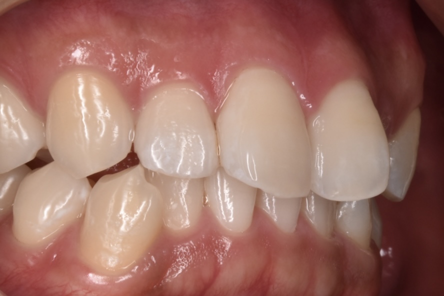
治療後の写真


ホワイトスポット治療前のホームホワイトニングについて
ホワイトスポット治療をご検討されている方、特に歯を削らずに治療するアイコンでの治療を検討している方にはこちらのホームホワイトニングの使用をとても強く推奨しております。

ホームホワイトニングの中でもこちらのオパールエッセンスGoがアイコン治療との相性がよく当院では採用しています。院長の私見ではございますが、数あるホームホワイトニングの中でもアイコン治療における下準備となるのはこちらのものがよく、アイコンの歯への入り方が良いそうです。アイコン治療だけでなく、すきっ歯治療の前などにに使用しトーンを上げてからダイレクトボンディングを受けられる方もいらっしゃいます。
監修者情報

鹿児島大学歯学部首席卒業
名古屋大学医学部附属病院歯科口腔外科
聖霊病院歯科口腔外科
湘南歯科クリニック 心斎橋院 名古屋院
ひめみやさくら歯科矯正歯科 開院





