モニター様ご紹介
40代女性 昨年当院で前歯8本の他院セラミック修正治療を受けられた方です。右上の奥歯に痛みを感じ当院にご相談くださいました。かなり前に他院で保険治療された奥歯(第1大臼歯)とその手前の歯(第2小臼歯)の2本の治療が必要と診断し保険ではなく自由診療での治療をご希望されました。
治療前の状態
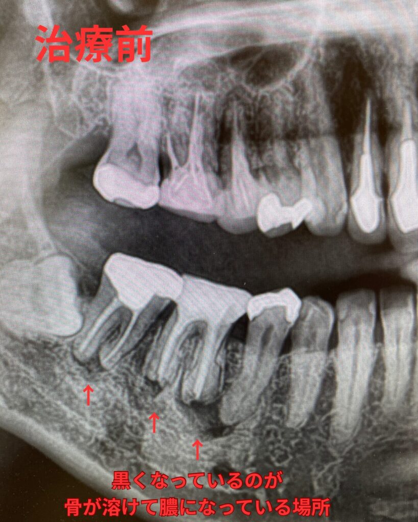
右上の奥歯2本に強い自発痛があり、レントゲンでの所見も根尖部に透過像(陰影)を認めます。打診も強く早急な治療が必要でした。ご本人様は保険での歯科治療は望まれておらず、費用がかかったとしてもちゃんと治したいとご希望されたため、詳細なCTを撮影しました。第2小臼歯と第1大臼歯の現状を説明させて頂き、どちらも根管治療のやり直しと、大臼歯に関しては未治療根管があり、そちらが中で腐り強い炎症を引き起こしていると考えられることをお伝えしています。


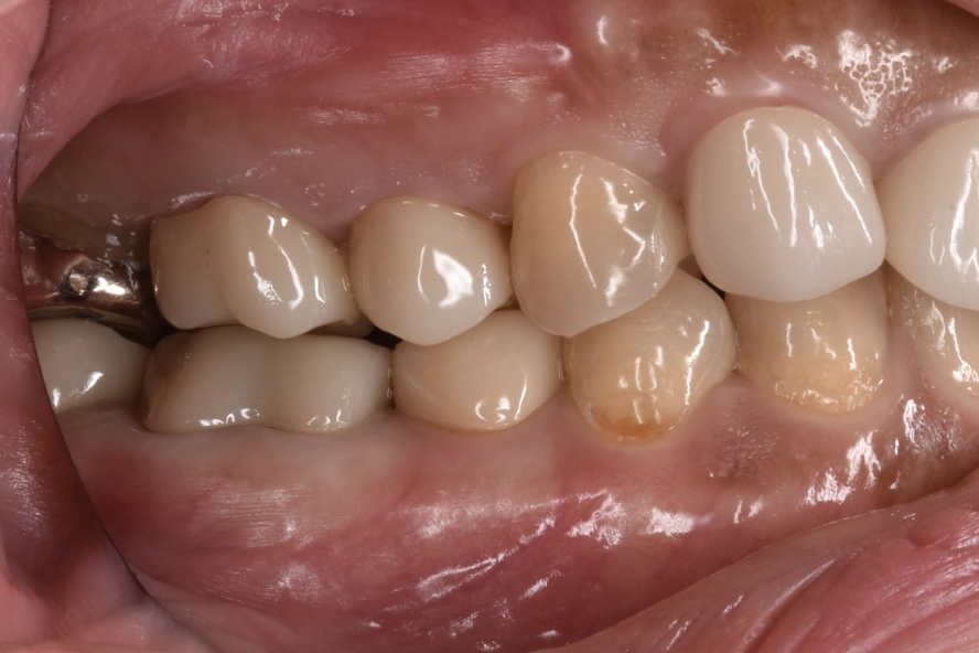
術後の状態
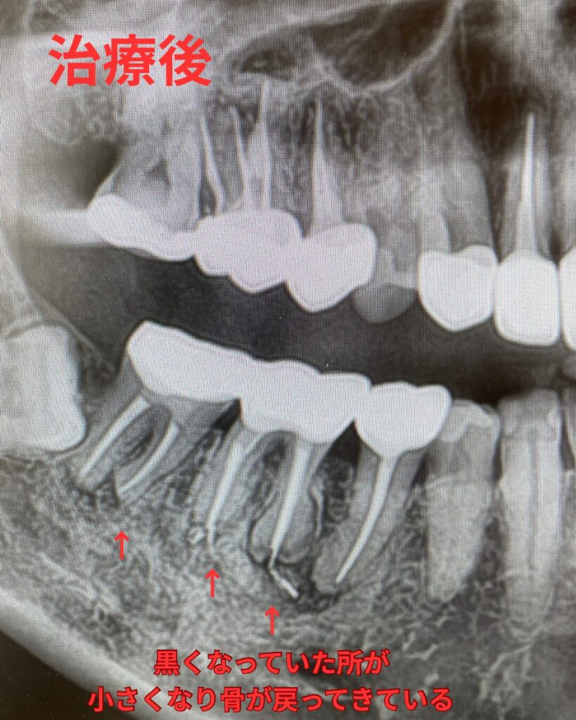
初回治療後より痛みがなくなり、とても快適に過ごせているとお言葉をいただきました。根管治療が奏功し炎症が引いているのが確認できたたため、最終的な治療を行い型取りを行いました。最終の修復はジルコニアクラウンです。

噛み合わせに関してもしっかり調整します。奥歯を比べてみると治療前の奥歯は平らなのがわかります。これでは噛むポイントが定まらず不安定な噛み合わせとなります。(*保険では過度な咬合にならないようにすること。割れたら2年以内なら無料で直せなどの制約があり出来るだけ噛ませないようにしてしまうのも理解できます。)なのでジルコニアでは歯にしっかり山と谷をつけて咬合を付与しています。
レントゲンの治療前後の比較
精密根管治療前後のレントゲン写真です。


奥歯は見えないから保険で!?
奥歯の治療はとても難易度が高く、歯の構造もとても複雑です。特に神経治療は専門医がいるほど難易度が高いです。奥歯の治療が上手くいかず、奥歯をなくすとその負担が全て前歯に集中し、前歯が崩壊していきます。前歯は噛む力を受け止められずどんどん「でっ歯」になっていきます。これが総入れ歯になっていく序章です。奥歯は見えないから「安く済ませたい」「どうでもいい」と考えている方がとても多いですが、奥歯を軽んじると後にとても後悔することになります。
大切な前歯を守るためにも奥歯は非常に重要です
今回のモニター様は上記のことをとてもよく理解されている方です。見える範囲の前を綺麗に保ち、食事も会話も楽しくして頂きたいと心から願います。奥歯をしっかり治すことで、通院回数も3回と短く何の違和感もない生活を送っていただければ、それだけでQOL(生活の質)が向上すると思います。神経治療だけで何回も何回も歯科医院に通うだけもかなり大変ではありませんか?費用よりも時間がもったいないように思います。
当院では自由診療領域においてかなりの治療経験があります。神経治療に対する通院回数も2回から3回が当院では一般的です。神経治療だけで3回以上通院することは稀です。
当院について
マイクロスコープ完備 CT完備
名古屋市瑞穂区瑞穂通5−1 仁さくらクリニックビル3階
052−746−0313





