目次
モニター様ご紹介
前歯の隙間を改善したいとご相談くださいました30代男性です。すきっ歯の治療後も歯科の重要性をご理解くださり、歯周基本治療(一般的に歯石とりやクリーニングと言われることもあります)や虫歯治療で当院に通ってくださっている方です。
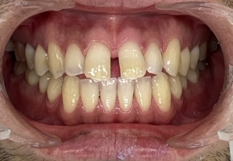
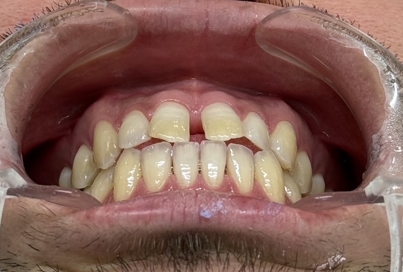
初診時の状態
上の前歯の間に隙間が認められます。今回は歯を削らないラミネートベニアで修復をご希望されましたので歯の色に出来るだけ近い色が出せるE-max(二ケイ酸リチウム)でベニアを作製することにしています。



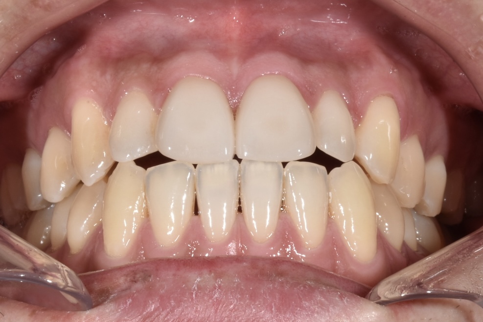
1年3ヶ月後の状態
ラミネートベニアに破折などの異常は認められません。歯茎もとても綺麗です。ご本人様からも誰にもバレず自然で違和感もなく快適とこちらが設計・想定した通りの日常が送れており、生活の質(QOL:quality of life)が高い状態といえます。



ラミネートベニアを設計する上で大切なこと(選択される際に知っておいて頂きたいこと)
- ラミネートベニアは歯に薄いセラミックを貼り付けるものです。ここでとても重要になるのが下の歯との噛み合わせで、上の歯と歯の間に下の歯が入り込んでいる場合などは矯正ファーストになります。とりあえずの間に合わせのような審美歯科でやると長く持ちませんので注意してください。
- 歯を削らないジルコニアベニアはご自身の歯と色を合わせことが難しい場合があります。特に少ない本数の場合はE-maxをおすすめすることがあります。
- 歯を削らない場合特にご自身の歯よりも少し大きく・厚みが出ます。これによる上下の唇に接触する際の違和感が生じる場合があります。
費用と通院回数
費用(税別)
歯を削らないラミネートベニア1歯:90,000円 (E-max)
通院回数
2回
当院について
名古屋市瑞穂区瑞穂通5−1 3階 052-746-0313

院長紹介
国立鹿児島大学歯学部 首席卒業
名古屋大学医学部歯科口腔外科・麻酔科ローテーション修了
聖霊病院歯科口腔外科
湘南歯科クリニック 心斎橋・名古屋院勤務
ひめみやさくら歯科矯正歯科 開院





