目次
ダイレクトボンディングによるすきっ歯の改善
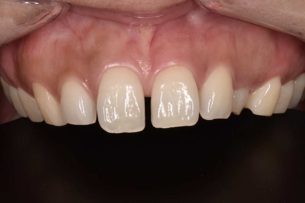
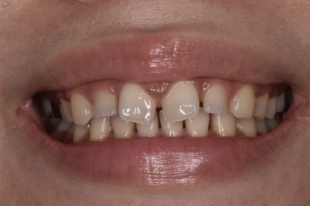
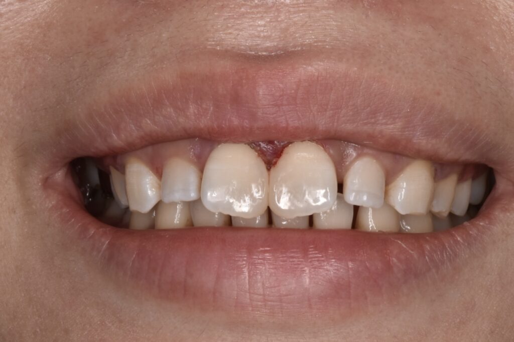
モニター様1 上の前歯2本のダイレクトボンディング
治療前



治療後



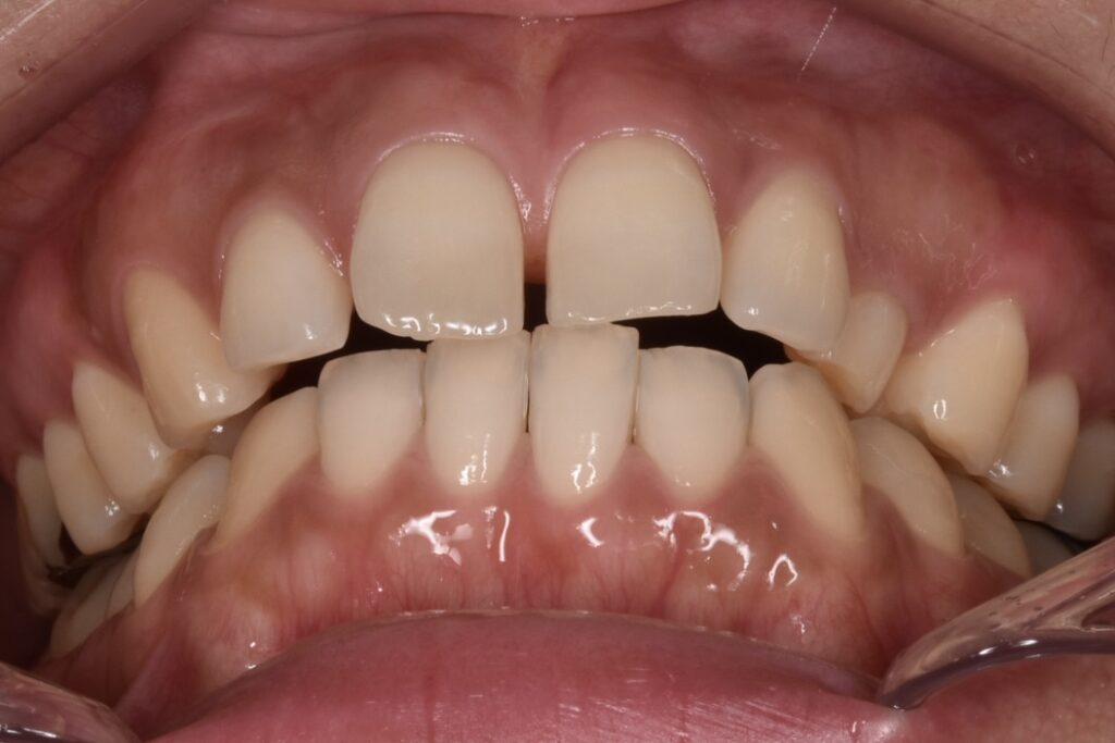
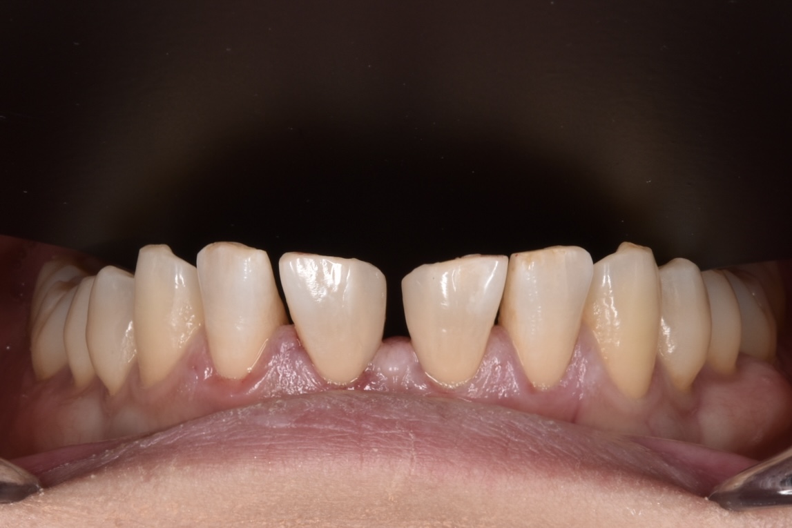
モニター様2 下の歯2本のダイレクトボンディング
治療前



治療後
本人様と相談し完全閉鎖をあえてせず、歯が大きくなりすぎないように配慮しています。また、その横も隙間があるため、隙間を残すことで不自然さをなくすようにしています。



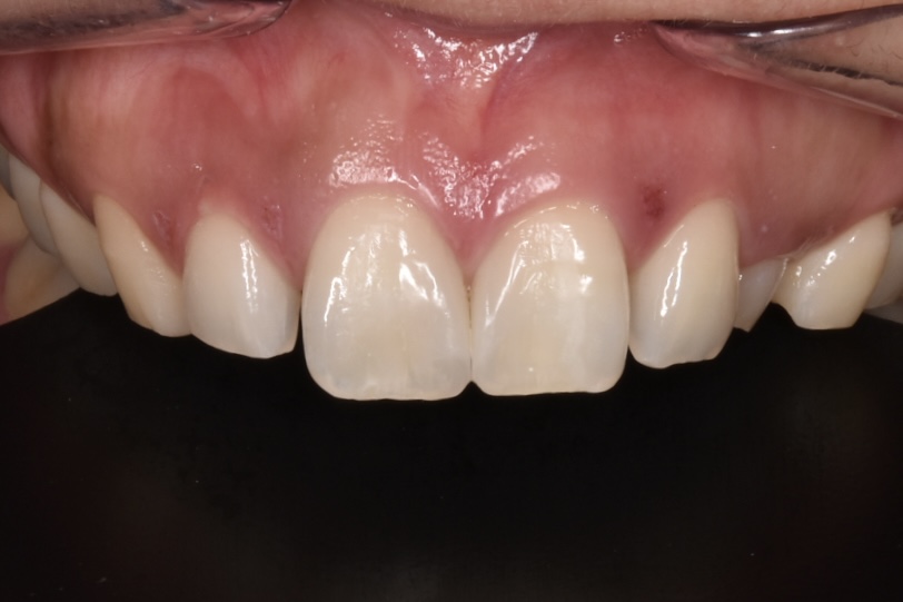
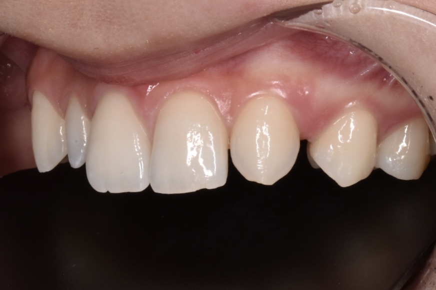
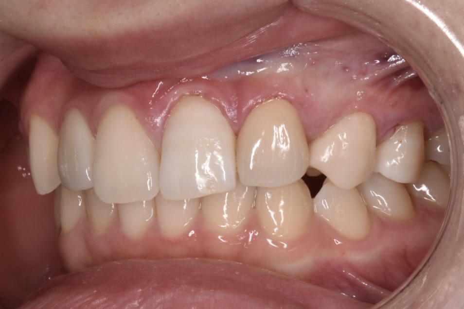
モニター様3 小臼歯1本のダイレクトボンディングで隙間を改善しています
左上の小臼歯にダイレクトボンディングをしています
治療前



治療後



モニター様4
治療前



治療後



当院について

名古屋市瑞穂区瑞穂通5−1 3階
052−746−0313





