モニター様ご紹介
20代女性 右の前歯のホワイトスポットを小さい頃から悩んでいて、ネットでさまざまな歯科医院を「歯を削らない治療」「歯を削らないホワイトスポット」等で検索して当院を見つめてくださいました。
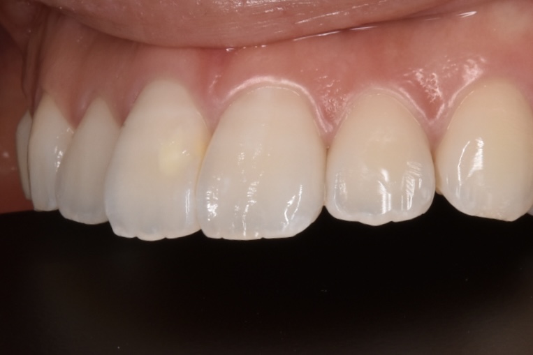
治療前
右の前歯の中心側に薄くボヤーと浮いて見えるのが今回の治療対象のホワイトスポットです。口腔内で濡れている状態ではクリーム色にみえ白だけでなくやや黄色が入った改善が難しいケースです。*事前準備としてホームホワイトニングを10回行って頂いた状態です。



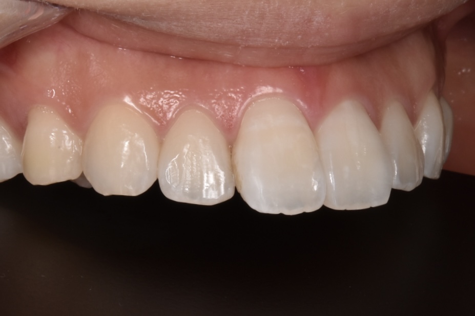
治療後
アイコン治療後です。右の前歯のホワイトスポットが改善できているのがわかります。*治療によって歯の構造上の模様(白と黄色のゼブラ模様:個人によって程度に差はありますがこの縞模様は必ず出ます)が出ていますが再度唾液と馴染むと目立たなくなってきます。落ち着くまでに1週間程度かかることもあります。



ホワイトスポット治療前のホームホワイトニング
当院ではホワイトスポット治療前にホームホワイトニングの使用を強く推奨しています。その理由はアイコン治療の下準備として最適だからです。ホワイトスポットはエナメル質という厚く家内ミネラル化された層の中に存在ます。このエナメル質はダイヤモンドに次ぐ硬さが知られています。アイコンはそのとても硬いバリア構造を突破して内部のホワイトスポット部分に薬液を到達させる必要があります。このため下準備なしでは、硬いエナメルにただただぶつかりに行く治療になりますで、必然的に効果は落ちます。ホームホワイトニングをすることで、このエナメルの構造体内にフリーラジカルが移動し、エナメル質内の有機成分ををより短い短鎖の構造体にしてくれます。その結果ホワイトニング中はホワイトスポットはより白く浮いて目立つようになります。またエナメル内もフリーラジカルの作用によってアイコンが浸透しやすくなるため、当院では9割以上の方がホームホワイトニングを受けられます。

オパールエッセンスGo
このホワイトニング剤は6%の過酸化水素が含まれていますが、昭和大学の研究では他のホワイトニング剤と同様の副作用でしかなく安全性が証明されています。
ホワイトスポット治療に使うアイコンとの相性が非常によくホワイトスポット治療の下準備として当院では採用しています。
当院について
名古屋市瑞穂区瑞穂通5−1 3階 052−746−0313





