モニター様ご紹介
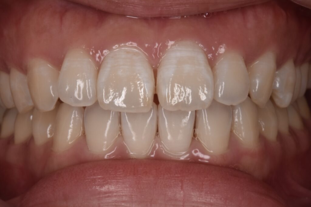
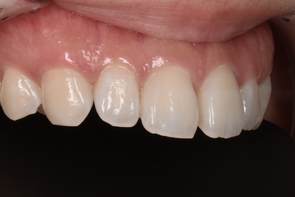
20代女性 前歯2本のホワイトスポットの改善を主訴に当院にご来院くださいました。歯の根本部分からサイドにかけて広がるタイプで、あまり多くない印象のホワイトスポットです。ホワイトスポット改善の前にホワイトニングはしていただいております
ホワイトスポット治療前



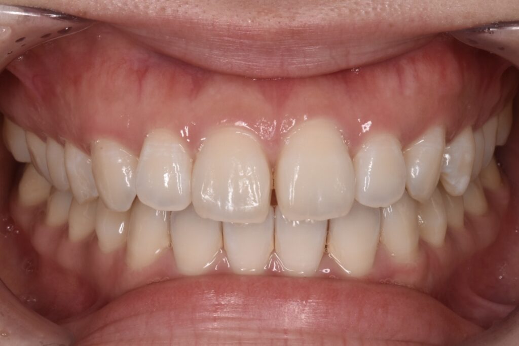
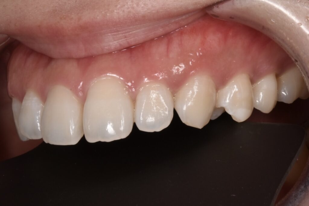
ホワイトスポット治療後約6ヶ月
ホワイトスポット治療の後、アイコンが取れてしまわないか不安で歯科検診もなかなかいけなかったとの事で当院に改めて来てくださいました。アイコンは歯に浸透させているので、超音波では取れないと説明させて頂き、ご安心くださいました。



アイコンの費用とデメリット
費用
アイコン1歯36,000円税別 モニター様価格 ホームホワイトニング10回セット25,000円税別
デメリット
着色・変色リスクがります。
当院へのお問い合わせ
名古屋市瑞穂区瑞穂通5−1 仁さくらクリニックビル3階 052-746-0313
院長紹介

歯科医師 井沢一樹
国立鹿児島大学歯学部 首席卒業
公立春日井小牧看護専門学校卒業
名古屋大学医学部附属病院歯科口腔外科 聖霊病院歯科口腔外科 湘南歯科クリニックを経て ひめみやさくら歯科矯正歯科 開院





