モニター様ご紹介
20代女性 三重県より通院頂いているお客様です。8ヶ月ほど前にアイコン治療してくださった後も当院で精密根管治療や虫歯の治療など受けてくださっています。
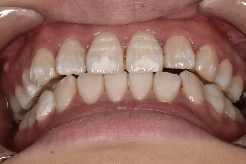
アイコン治療前
前ばを中心に上の歯7本ご契約してくださりホームホワイトニング終了後アイコン治療へと移行しています。



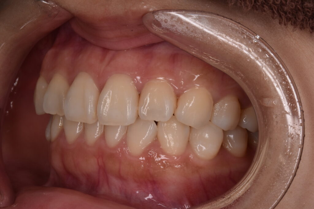
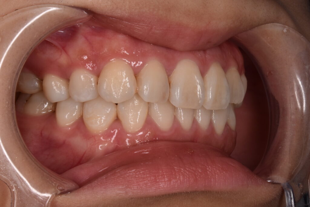
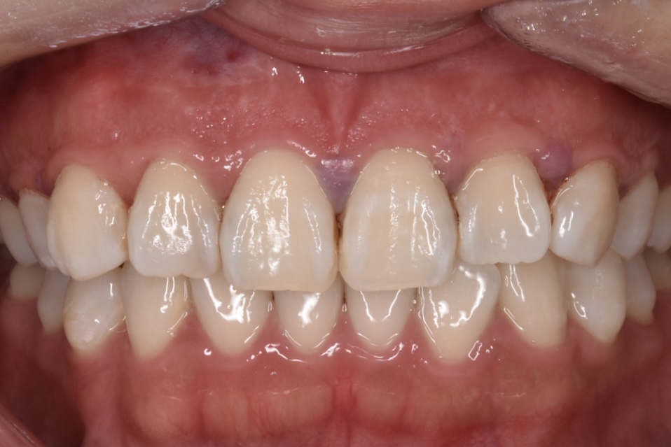
アイコン治療後8ヶ月
アイコン治療後8ヶ月経っても色の変化や着色なども無く後戻りもありません。むしろ色味が落ち着きかなり自然な感じに馴染んでいます。
*アイコン治療後のリスクとしては着色・後戻りなどがあります。



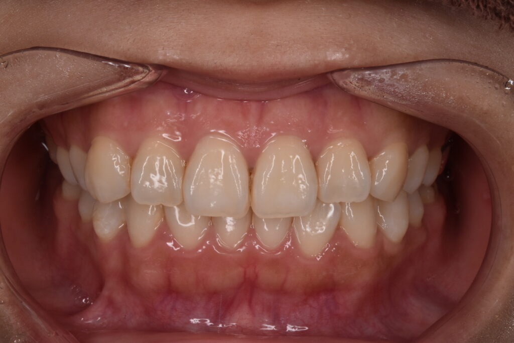
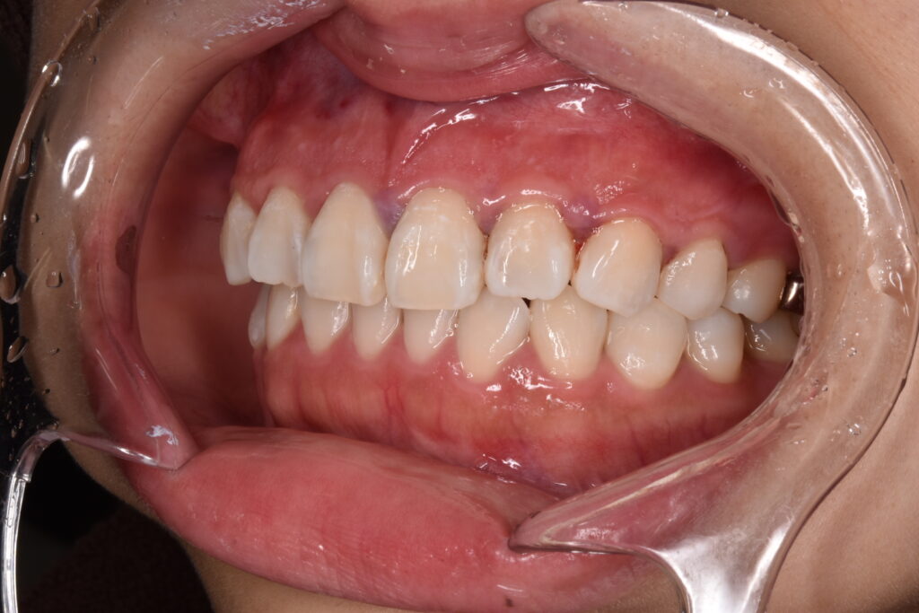
アイコン治療直後
アイコン治療直後は歯が乾燥しているためところ所白くなっています



通院回数と費用
ホワイトスポット治療に関する通院は基本的に2回です
- ①初回で診察とカウンセリングでホームホワイトニングをして頂きます。
- ②2週間後ほどでアイコン治療で終了です。
費用は2025/10/07現在1歯36,000円モニター様価格(税別)
*今後2025年8月からアイコンの値段がかなり上がっています。在庫があるうちは価格改定しない予定ですが、在庫終了後からは正規料金及びモニター料金の改定を検討しています。ご相談がある方は早めにお願いいたします。
当院へのお問い合わせ
名古屋市瑞穂区瑞穂通5−1 仁さくらクリニッククリニックビル3階
052-746-0313
院長紹介

国立鹿児島大学歯学部首席卒業
歯科医師と看護師のダブルライセンス
日本口腔外科学会 日本口腔インプラント学会所属





